zum ONKODIN-Projekt   Deutsches MDS-Forum 2010  |  Links  |  Kontakt  |  Impressum  |  English Content English Content  
Inhaltsverzeichnis (navigierbar)Sitemap  
Reaktive Veränderungen
Lymphozytenreicher Erguss
Dressler-Syndrom
Erguss bei Tuberkulose
Postpneumonischer Reizerguss


Postpneumonischer Reizerguss


Vorkommen: 87-jähriger Mann, Pleuraerguss nach Pneumonie.

Beschreibung/Beurteilung der Bildserie: Buntes lymphatisches Bild mit Reizformen und Plasmazellen, auch vermehrt eosinophile und basophile Granulozyten.




Art: Zytologie
Material: Pleuraerguss
Färbung: panoptisch

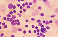
Zahlreiche Lymphozyten, einige große Reizformen. Daneben zwei Mesothelzellen.

(Mikroskopische Objektivvergrößerung X40)




Art: Zytologie
Material: Pleuraerguss
Färbung: panoptisch

Große, doppelkernige Mesothelzelle. Zahlreiche Lymphozyten, darunter eine große Reizform mit tiefbasophilem Zytoplasma.

(Mikroskopische Objektivvergrößerung X100)




Art: Zytologie
Material: Pleuraerguss
Färbung: panoptisch

Zahlreiche Lymphozyten. Links zwei große Reizformen, rechts unten Plasmazelle.

(Mikroskopische Objektivvergrößerung X100)




Art: Zytologie
Material: Pleuraerguss
Färbung: Papanicolaou

Links Mesothelzelle, rechts zwei lymphatische Reizformen.

(Mikroskopische Objektivvergrößerung X100)




Art: Zytologie
Material: Pleuraerguss
Färbung: Papanicolaou

Mitte und rechts Reizformen, links Plasmazelle.

(Mikroskopische Objektivvergrößerung X100)




    Nach oben zum Seitenanfang Zum Seitenanfang                                                                                  Inhaltsverzeichnis (navigierbar) Sitemap  |  Druckversion des Dokuments  |  E-Mail-Versand