zum ONKODIN-Projekt   Deutsches MDS-Forum 2010  |  Links  |  Kontakt  |  Impressum  |  English Content English Content  
Inhaltsverzeichnis (navigierbar)Sitemap  
Reaktive Veränderungen
Sonstige reaktive Veränderungen
Ösophagusfistel
Ösophagusruptur
Pilzinfektion
Pleuraerguss in Pneumothoraxhöhle


Pleuraempyem bei Ösophagusruptur


Vorkommen: 42-jähriger Mann mit Ösophagusruptur auf dem Boden einer ausgeprägten Refluxösophagitis. Histologisch kein Anhalt für Malignität.

Beschreibung/Beurteilung der Bildserie: Empyem mit unauffälligen Plattenepithelien des Ösophagus.




Empyem mit Plattenepithlelien


Erstelldatum: 02.12.2004
Art: Zytologie
Material: Pleuraerguss
Färbung: panoptisch

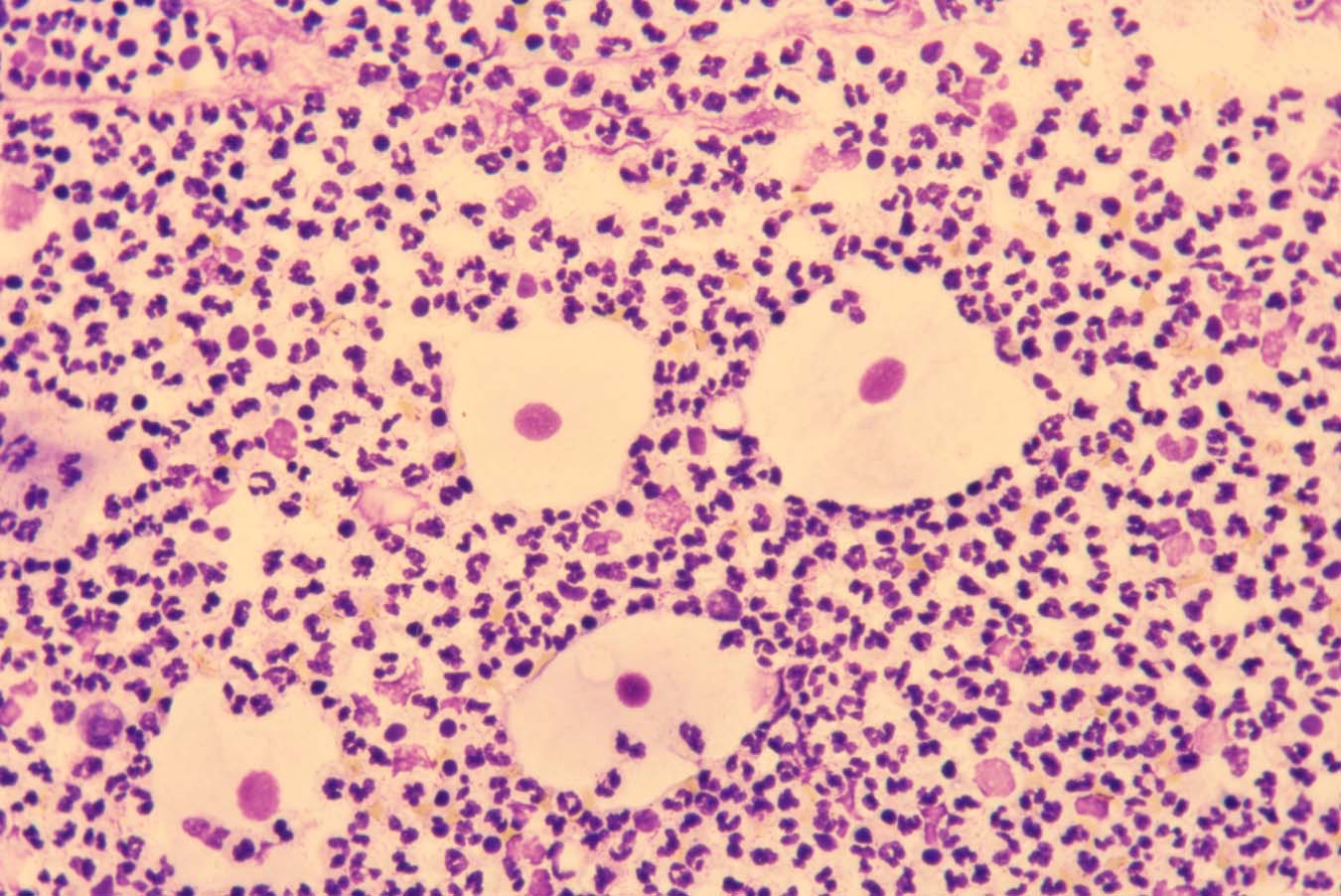
Massenhaft neutrophile Granulozyten. Vier große Plattenepithelien vom Intermediärtyp, die der Ösophagusschleimhaut entstammen.

(Mikroskopische Objektivvergrößerung X40)




Plattenepithelzelle


Erstelldatum: 02.12.2004
Art: Zytologie
Material: Pleuraerguss
Färbung: panoptisch

Großes Plattenepithel vom Intermediärtyp mit ovalem, glatt begrenzten Kern und gleichmäßiger Chromatinstruktur. Sehr viele neutrophile Granulozyten in der Umgebung.

(Mikroskopische Objektivvergrößerung X100)




Plattenepithelien im Empyem


Erstelldatum: 02.12.2004
Art: Zytologie
Material: Pleuraerguss
Färbung: Papanicolaou

Vier große Plattenepithelien der Ösophagusschleimhaut, sehr viele neutrophile Granulozyten.

(Mikroskopische Objektivvergrößerung X40)




Plattenepithelzelle


Erstelldatum: 02.12.2004
Art: Zytologie
Material: Pleuraerguss
Färbung: Papanicolaou

Große Plattenepithelzelle vom Intermediärtyp: ovaler Kern mit feiner, gleichmäßiger Chromatinstruktur, zartes, nichtverhornendes Zytoplasma. Daneben sehr viele neutrophile Granulozyten und einige untergehende Erythrozyten.

(Mikroskopische Objektivvergrößerung X100)




    Nach oben zum Seitenanfang Zum Seitenanfang                                                                                  Inhaltsverzeichnis (navigierbar) Sitemap  |  Druckversion des Dokuments  |  E-Mail-Versand