zum ONKODIN-Projekt   Deutsches MDS-Forum 2010  |  Links  |  Kontakt  |  Impressum  |  English Content English Content  
Inhaltsverzeichnis (navigierbar)Sitemap  
Reaktive Veränderungen
Sonstige reaktive Veränderungen
Ösophagusfistel
Ösophagusruptur
Pilzinfektion
Pleuraerguss in Pneumothoraxhöhle


Pilzinfektion bei fortgeschrittenem Tumorleiden


Vorkommen: 40-jährige Frau mit Adenokarzinom der Lunge, jetzt ausgedehnte Metastasierung und Pneumonie. Wahrscheinlich handelt es sich um eine sekundäre Infektion der Pleura bei Pilzpneumonie. Die Patientin verstarb kurz darauf bei therapierefraktärer Pneumonie und respiratorischer Globalinsuffizienz.

Beschreibung/Beurteilung der Bildserie: Pilzbefall der Pleura mit eosinophiler Reaktion. In anderen Präparateabschnitten Nachweis von Karzinomzellen des bekannten Adenokarzinoms.




Eosinophile und Pilzsporen


Erstelldatum: 10.12.2004
Art: Zytologie
Material: Pleuraerguss
Färbung: panoptisch

Blut, eosinophile Granulozyten und Lymphozyten. In der Umgebung der Eosinophilen und in einem Eosinophilen kleine Pilzsporen.

(Mikroskopische Objektivvergrößerung X100)




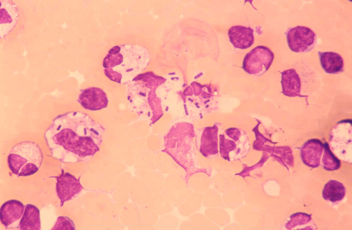
Phagozytierte Sporen und Pseudohyphen


Erstelldatum: 10.12.2004
Art: Zytologie
Material: Pleuraerguss
Färbung: panoptisch

Links Eosinophiler mit phagozytierter Pseudohyphe, rechts Makrophage mit phagozytierten Pilzsporen.

(Mikroskopische Objektivvergrößerung X100)




Phagozytierte Sporen und Pseudohyphen


Erstelldatum: 10.12.2004
Art: Zytologie
Material: Pleuraerguss
Färbung: panoptisch

Mehrere Makrophagen mit phagozytierten Pilzsporen und kleinen Pseudohyphen.

(Mikroskopische Objektivvergrößerung X100)




Phagozytierte Sporen und Pseudohyphen


Erstelldatum: 12.12.2004
Art: Zytologie
Material: Pleuraerguss
Färbung: panoptisch

Makrophagen mit phagozytierten Pilzsporen und kleinen Pseudohyphen.

(Mikroskopische Objektivvergrößerung X100)




Phagozytierte Sporen und Pseudohyphen


Erstelldatum: 10.12.2004
Art: Zytologie
Material: Pleuraerguss
Färbung: Papanicolaou

Granulozyten und Makrophagen mit phagozytierten Sporen und Pseudohyphen, darunter ein phagozytierender Eosinophiler.

(Mikroskopische Objektivvergrößerung X100)




Pilzfaden nach 1 Tag Lagerung


Erstelldatum: 10.12.2004
Art: Zytologie
Material: Pleuraerguss
Färbung: panoptisch

Nach einem Tag Lagerung im Kühlschrank: langer Pilzfaden, umgeben von Eosinophilen.

(Mikroskopische Objektivvergrößerung X100)




PIlzfaden nach 1 Tag Lagerung


Erstelldatum: 10.12.2004
Art: Zytologie
Material: Pleuraerguss
Färbung: panoptisch

Nach einem Tag Lagerung im Kühlschrank: langer Pilzfaden, umgeben von Eosinophilen.

(Mikroskopische Objektivvergrößerung X100)




    Nach oben zum Seitenanfang Zum Seitenanfang                                                                                  Inhaltsverzeichnis (navigierbar) Sitemap  |  Druckversion des Dokuments  |  E-Mail-Versand