zum ONKODIN-Projekt   Deutsches MDS-Forum 2010  |  Links  |  Kontakt  |  Impressum  |  English Content English Content  
Inhaltsverzeichnis (navigierbar)Sitemap  
Störungen der Hämoglobinsynthese
Thalassämien
ß-Thalassämie
ß-Thalassaemia minor
ß-Thalassaemia intermedia


ß-Thalassämie




Art: Zytologie
Material: Blut
Färbung: panoptisch

Erythrozytenmorphologie bei ß-Thalassämie - Übersicht

(Mikroskopische Objektivvergrößerung X40)




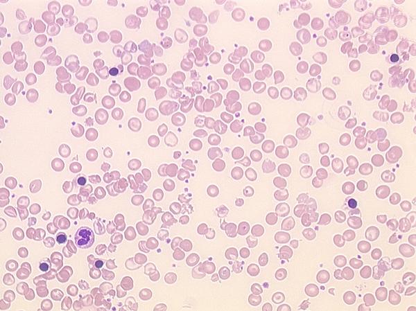
Art: Zytologie
Material: Blut
Färbung: panoptisch

Normoblast, Anulozyten, Targetzellen, Polychromasie, Howell-Jolly-Körperchen




Art: Zytologie
Material: Blut
Färbung: panoptisch

Targetzellen




    Nach oben zum Seitenanfang Zum Seitenanfang                                                                                  Inhaltsverzeichnis (navigierbar) Sitemap  |  Druckversion des Dokuments  |  E-Mail-Versand  
 
Interner Link
Anämie und Polyglobulie
Der Hämatologische Notfall. Sysmex Kalender 2008 [Mehr]
Interner Link
Der Hämatologische Notfall. Sysmex Kalender 2008 [Mehr]