|
|
ß-Thalassaemia intermedia (in der Schwangerschaft)
Autor/en: F.-G. Hagmann
Institution/en: Westpfalz-Klinikum, Kaiserslautern
Serie zuletzt geändert am: 26.10.2011
Längerbestehende Hämolyse mit extramedullärer Blutbildung bringt relativ gleichförmige Blutbildveränderungen hervor. Auch die akut hyperregenerative Erythropoese bei Hämolyse, Blutung und Rekompensation kann mit Normoblasten im Blut einhergehen. Wenn diese allerdings massiv auftreten und nach Transfusion zunächst noch persistieren, spricht das für eine extramedulläre Erythropoese. Die Hämoglobinanalyse dieser Patientin ergab folgende Werte: HbA2 2,2%, HbF 20,9%, anomales Hb nicht nachweisbar, Innenkörper negativ. Die DNA-Analyse ergab folgenden Befund: β-Globingen = IVS-II-I (G->A) homozygot und γ-Globingen Promotormutation = -158 C->T homozygot. Es handelt sich demnach um eine homozygote β-Thalassämie mit dem klinischen Erscheinungsbild einer Thalassaemia intermedia. Bei dieser Form kann auch eine doppelt heterozygote Form vorliegen. Die Patientin war cholezystektomiert und splenektomiert. Weitere Komplikationen waren nicht bekannt.
Fünf Jahre später wurde sie schwanger stationär aufgenommen. In einer früheren Schwangerschaft wurden ihr sechs Erythrozyten-Konzentrate transfundiert. Der aktuelle Aufnahmegrund war eine Plazentainsuffizienz. Es bestand Husten, das CRP war gering erhöht. Das Hb war innerhalb relativ kurzer Zeit von 10,4 auf 7,2 abgefallen. Die Hämolyseparameter waren erhöht. Folsäure nahm sie regelmäßig ein.
Sowohl die Schwangerschaft als auch Infektionen können bei Thalassämie zur Verschlechterung der Anämie führen.
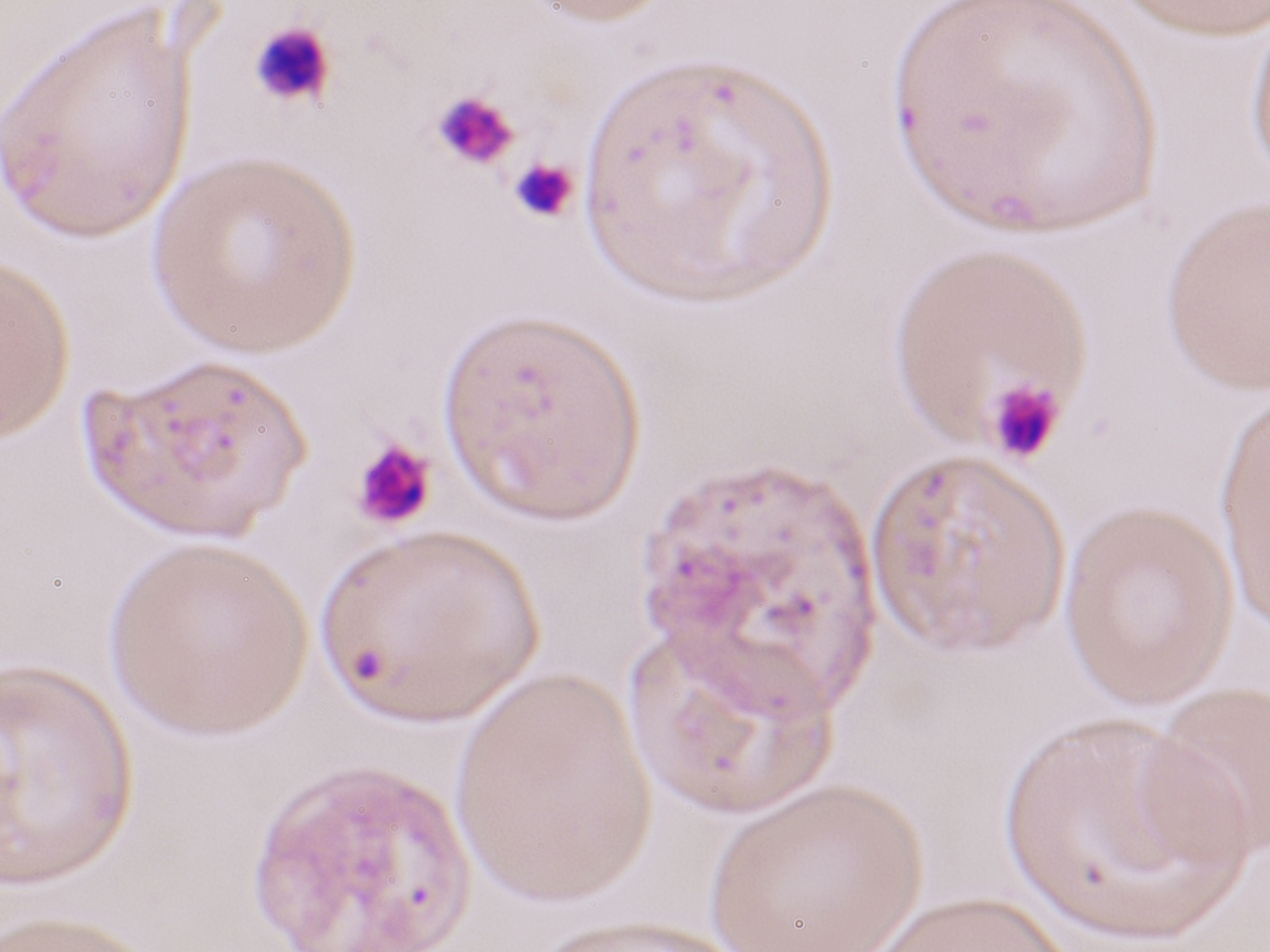
Initial hat hier der Blutcounter 137 000 Leukozyten gemessen, von diesen 81% Lymphozyten. Im Ausstrich erscheint die Leukozytenzahl aber deutlich niedriger, so dass hier die größeren der massiv vermehrten Normoblasten offensichtlich als Leukozyten mitgemessen worden sind. Anisozytose, Poikilozytose mit z.T. bizarr verformten Exemplaren, Anulozyten, Target-Zellen, vermehrt polychromatische und basophil punktierte, häufig "rötliche" Mikroformen mit Punktierung und Kernresten, vereinzelt Jolly-Körper. Die Thrombozyten sind vermehrt mit vergrößerten Formen. Die Patientin wurde rasch auftransfundiert, weitere Beobachtung des Blutbildes. Die Steigerung der Normoblasten im peripheren Blut ist auf eine ausgeprägte extramedulläre Erythropoese (EP) zurückzuführen.
Sogar im Pleurapunktat waren Normoblasten nachweisbar. Ob es sich bei diesen um Exemplare aus dem Blut bei hämorrhagischer Beimengung oder um extramedulläre Erythropoese im Pleuraerguß handelt, kann diskutiert werden. Computertomografisch fanden sich paravertebrale Weichteilmassen durch die extramedulläre EP, was für die zweite These spricht. Bei Zustand nach Splenektomie stand das expansionsfähigste Aufnahmeorgan für die extramedulläre Blutbildung nicht zur Verfügung. Extramedulläre Hämatopoese in Körperhöhlenergüssen wird in der Literatur beschrieben.
Literaturreferenzen:
-
Kohne E. Hemoglobinopathies: clinical manifestations, diagnosis, and
treatment. Dtsch Arztebl Int 2011, 108(31-32). 532-40.
[Online]
-
Beutel G, et al. Anämie auf einen Blick.
Blackwell Verlag, Berlin, 2003.
[DNB]
-
Wajcman H, et al. Les maladies du globule rouge, Flammarion Médecine-Sciences, Paris, 1992.
-
Gerhartz HH, et al. Transfusionsbedürftige Anämie und Amenorrhoe bei 23jähriger Patientin mit Kinderwunsch. Internist 1989;30:258-262.
[Medline]
-
Atay Z, Topalidis T. Cytodiagnostik der serösen Höhlen, 1. Auflage. Wolfgang Pabst Verlag, Lengerich, 1994.
[DNB]
|

Zum Seitenanfang
Sitemap
|
|
|
Anämie und Polyglobulie Der Hämatologische Notfall. Sysmex Kalender 2008 [ Mehr] Der Hämatologische Notfall. Sysmex Kalender 2008 [ Mehr]
|
|