zum ONKODIN-Projekt   Deutsches MDS-Forum 2010  |  Links  |  Kontakt  |  Impressum  |  English Content English Content  
Inhaltsverzeichnis (navigierbar)Sitemap  
AML M4Eo
AML M4Eo - Falldarstellung 3
Knochenmark-Zytologie
Immunphänotypisierung


AML M4Eo FAB: Knochenmark-Zytologie


Beschreibung/Beurteilung der Bildserie: Knochenmark-Zytologie vom 11.03.2004:
Es liegt ein hyperzelluläres Knochenmark mit stark reduzierter Erythro- u. Granulopoese vor. Bei 70% der ausgezählten myeloischen Zellen handelt es sich um Blasten mit teilweiser monozytärer Morphologie (etwa 20-30% myeloische Blasten und 40-50% Monoblasten). In der Zytochemie-Färbung sind die Blasten Sudan-positiv, PAS-negativ. Die Esterase ist in den Monoblasten grobkörnig positiv. Auffällig sind darüber hinaus zahlreiche eosinophile Granulozyten (10 bis 15% der myeloischen Zellen).

Es handelt sich um eine akute myelo-monozytäre Leukämie mit Vermehrung von Eosinophilen.




Abbildung 1


Erstelldatum: 11.03.2004
Art: Zytologie
Material: Knochenmark
Färbung: panoptisch

Knochenmarksausstrich in Übersichtsvergrößerung

Zellform: glatt begrenzt; Zellgröße: groß; Zytoplasmagröße: mittel; Zytoplasmafarbe: basophil; Auerstäbchen: keine; Granula: eosinophil; Kernform: rund, oval, monozytoid; Kernchromatin: fein, aufgelockert; Nukleolus: häufig; Zelldifferenzierung: gering, monozytär, abnorme Eosinophile (Mikroskopische Objektivvergrößerung X10)

Beurteilung: 10-fache Vergrößerung. In der Übersicht ist eine hochgradige Infiltration des Knochenmarks durch uniforme Zellen mit Verdrängung der Fettzellen zu erkennen. Auffällig ist auch eine Eosinophilenvermehrung. Keine Megakaryozyten im Gesichtsfeld zu erkennen.




Abbildung 2


Erstelldatum: 11.03.2004
Art: Zytologie
Material: Knochenmark
Färbung: panoptisch

Knochenmarksausstrich

Zellform: glatt begrenzt; Zellgröße: mittelgroß; Zytoplasmagröße: mittel; Zytoplasmafarbe: basophil; Auerstäbchen: keine; Granula: eosinophil; Kernform: rund, oval; Zelldifferenzierung: gering, monozytär (Mikroskopische Objektivvergrößerung X10)

Beurteilung: Übersichtsvergrößerung: Infiltration mit myeloischen Blasten und Monoblasten




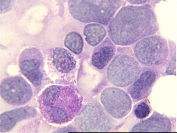
Abbildung 3


Erstelldatum: 11.03.2004
Art: Zytologie
Material: Knochenmark
Färbung: panoptisch

Myeloische Blasten, Monoblasten und pathologische Eosinophile

Zellform: glatt begrenzt; Zellgröße: groß; Zytoplasmagröße: mittel; Zytoplasmafarbe: kräftig basophil; Auerstäbchen: keine; Granula: häufig, basophil, eosinophil, grob; Kernform: gebuchtet, nierenförmig, segmentiert, monozytoid; Kernchromatin: aufgelockert; Nukleolus: häufig, deutlich; Zelldifferenzierung: monozytär, granulozytär, eosinophil, abnorme Eosinophile (Mikroskopische Objektivvergrößerung X100)

Beurteilung: Infiltration des Knochenmarks durch myeloische Blasten und pathologische Eosinophile mit grobkörnigen Granula.




Abbildung 4


Erstelldatum: 11.03.2004
Art: Zytologie
Material: Knochenmark
Färbung: panoptisch

Knochenmarkinfiltration durch myeloische Blasten, Monoblasten und pathologische Eosinophile

Zellform: glatt begrenzt; Zellgröße: groß; Zytoplasmagröße: mittel; Auerstäbchen: keine; Granula: häufig, basophil, eosinophil; Kernform: gebuchtet, monozytoid; Kernchromatin: aufgelockert; Nukleolus: häufig, deutlich; Zelldifferenzierung: gering, monozytär, abnorme Eosinophile (Mikroskopische Objektivvergrößerung X100)

Beurteilung: Diagnose einer AML M4Eo nach FAB-Klassifikation mit Knochenmark-Infiltration durch myelomonozytäre Blasten und Nachweis von pathologischen Eosinophilen mit basophilen Granula.




Abbildung 5


Erstelldatum: 11.03.2004
Art: Zytologie
Material: Knochenmark
Zytochemie: Sudan Schwarz B

Myeloische Blasten mit Sudanschwarz-positiven Granula; und pathologische Eosinophile mit basophilen Granula

Zellform: glatt begrenzt; Zellgröße: groß; Zytoplasmagröße: mittel; Auerstäbchen: keine; Granula: grob; Kernform: gebuchtet, monozytoid, nierenförmig, segmentiert; Kernchromatin: aufgelockert; Nukleolus: deutlich, häufig; Zelldifferenzierung: abnorme Eosinophile, granulozytär, eosinophil, monozytär (Mikroskopische Objektivvergrößerung X100)

Beurteilung: Infiltration des Knochenmarks durch myeloische Blasten und pathologische Eosinophile mit grobkörnigen Granula




Abbildung 6


Erstelldatum: 11.03.2004
Art: Zytologie
Material: Knochenmark
Zytochemie: Chloracetatesterase

Myeloische Blasten Esterase-negativ, pathologische Eosinophile mit basophilen Granula

Zellform: glatt begrenzt; Zellgröße: groß; Zytoplasmagröße: mittel; Auerstäbchen: keine; Granula: grob; Kernform: gebuchtet, nierenförmig, segmentiert, monozytoid; Kernchromatin: aufgelockert; (Mikroskopische Objektivvergrößerung X100)

Beurteilung: Infiltration des Knochenmarks durch myeloische Blasten und pathologische Eosinophile mit grobkörnigen Granula




Abbildung 7


Erstelldatum: 11.03.2004
Art: Zytologie
Material: Knochenmark
Zytochemie: PAS-Reaktion

Myeloische Blasten PAS-negativ; pathologische Eosinophile mit basophilen Granula

Zellform: glatt begrenzt; Zellgröße: groß; Zytoplasmagröße: mittel; Auerstäbchen: keine; Granula: grob; Kernform: gebuchtet, monozytoid, nierenförmig, segmentiert; Kernchromatin: aufgelockert; (Mikroskopische Objektivvergrößerung X100)

Beurteilung: Infiltration des Knochenmarks durch myeloische Blasten und pathologische Eosinophile mit grobkörnigen Granula




    Nach oben zum Seitenanfang Zum Seitenanfang                                                                                  Inhaltsverzeichnis (navigierbar) Sitemap  |  Druckversion des Dokuments  |  E-Mail-Versand  
 
"Akute myeloische Leukämie - Pathophysiologie, Diagnostik, Therapie, Prognose" publiziert bei ONKODIN in Kooperation mit "Deutscher Ärzte-Verlag"
(Publikation als Buch)
Deutscher Ärzte-Verlag  Deutscher Ärzte-Verlag
und in Kooperation mit "Studien-Allianz Leukämie"
Deutscher Ärzte-Verlag  Studien-Allianz Leukämien
[Mehr]
Interner Link
Der Hämatologische Notfall. Sysmex Kalender 2008 [Mehr]