zum ONKODIN-Projekt   Deutsches MDS-Forum 2010  |  Links  |  Kontakt  |  Impressum  |  English Content English Content  
Inhaltsverzeichnis (navigierbar)Sitemap  
Akute myeloische Leukämien
AML M1
AML M1 - typische Abb.
AML M1 - Bildserie 1: undiffer. + granulierte Blasten
AML M1 - Falldarstellung 1: zytogenet. Aberrat., Trisomie 13, 20, 21, 22
AML M1: Falldarstellung 2
AML M1: Falldarstellung 3


AML M1 FAB: Unreife Myeloblastenleukämie - Bildserie 1: undifferenzierte und granulierte Blasten




AML M1


Art: Zytologie
Material: Blut
Färbung: panoptisch




AML M1


Art: Zytologie
Material: Blut
Färbung: panoptisch




AML M1


Art: Zytologie
Material: Knochenmark
Färbung: panoptisch

Dysplastische Megakaryozyten zeigen sofort, dass es sich um eine neoplastische Erkrankung handelt. Eine lymphatische Neoplasie ist ausgeschlossen.




AML M1


Art: Zytologie
Material: Knochenmark
Färbung: panoptisch

Mikrokaryozyt und viele Blasten.




AML M1


Art: Zytologie
Material: Blut
Färbung: panoptisch

Viele undifferenzierte Blasten.




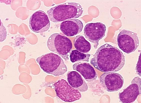
AML M1


Art: Zytologie
Material: Blut
Färbung: panoptisch

Blasten und eine etwas weiter differenzierte blastäre Zelle mit Granula, die zeigt, dass die Leukämiezellen der neutrophilen Reihe angehören.




AML M1


Art: Zytologie
Material: Knochenmark
Färbung: panoptisch

Einzelne granulierte Blasten.




    Nach oben zum Seitenanfang Zum Seitenanfang                                                                                  Inhaltsverzeichnis (navigierbar) Sitemap  |  Druckversion des Dokuments  |  E-Mail-Versand  
 
"Akute myeloische Leukämie - Pathophysiologie, Diagnostik, Therapie, Prognose" publiziert bei ONKODIN in Kooperation mit "Deutscher Ärzte-Verlag"
(Publikation als Buch)
Deutscher Ärzte-Verlag  Deutscher Ärzte-Verlag
und in Kooperation mit "Studien-Allianz Leukämie"
Deutscher Ärzte-Verlag  Studien-Allianz Leukämien
[Mehr]
Interner Link
Der Hämatologische Notfall. Sysmex Kalender 2008 [Mehr]