zum ONKODIN-Projekt   Deutsches MDS-Forum 2010  |  Links  |  Kontakt  |  Impressum  |  English Content English Content  
Inhaltsverzeichnis (navigierbar)Sitemap  
Akute myeloische Leukämien
AML M2
AML M2 - Bildserie 1
AML M2 - Bildserie 2
AML M2 - Bildserie 3
AML M2 - t(8;21)
AML M2 - t(8;21) und +5
AML M2 - t(8;21) u. del7q
AML M2: Falldarstellung 2
AML M2: Fall 3; t(8;21), AML1-ETO


AML M2 FAB: Myeloblastenleukämie mit Ausreifung - Bildserie 2




AML M2


Art: Zytologie
Material: Blut
Färbung: panoptisch

AML M2 FAB in der Peripherie: Neben Blasten ist eine Ausreifung bis hin zu Segmentkernigen, teils mit pseudopelgerartigen Reifungsstörungen zu erkennen. Im Vergleich zu den Blasten links oben ein Lymphozyt.




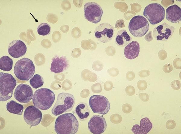
AML M2


Art: Zytologie
Material: Blut

AML M2 FAB in der Peripherie: Neben Blasten ist eine Ausreifung bis hin zu Segmentkernigen, teils mit pseudopelgerartigen Reifungsstörungen zu erkennen




AML M2


Art: Zytologie
Material: Blut

AML M2 FAB mit Auerstäbchen, pseudopelgerartig reifungsgestörter Segmentkerniger neutrophiler Granulozyt. Die Zelle gehört zum leukämischen Zellklon, ist jedoch ausgereift.




    Nach oben zum Seitenanfang Zum Seitenanfang                                                                                  Inhaltsverzeichnis (navigierbar) Sitemap  |  Druckversion des Dokuments  |  E-Mail-Versand  
 
"Akute myeloische Leukämie - Pathophysiologie, Diagnostik, Therapie, Prognose" publiziert bei ONKODIN in Kooperation mit "Deutscher Ärzte-Verlag"
(Publikation als Buch)
Deutscher Ärzte-Verlag  Deutscher Ärzte-Verlag
und in Kooperation mit "Studien-Allianz Leukämie"
Deutscher Ärzte-Verlag  Studien-Allianz Leukämien
[Mehr]
Interner Link
Der Hämatologische Notfall. Sysmex Kalender 2008 [Mehr]