zum ONKODIN-Projekt   Deutsches MDS-Forum 2010  |  Links  |  Kontakt  |  Impressum  |  English Content English Content  
Inhaltsverzeichnis (navigierbar)Sitemap  
Akute myeloische Leukämien
AML M7
AML M7 - Bildserie 1


AML M7 FAB: Akute Megakaryoblastenleukämie - Bildserie 1




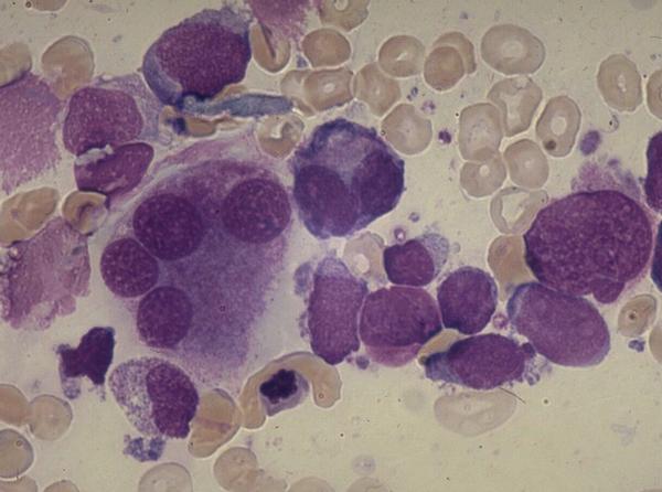
Art: Zytologie
Material: Knochenmark
Färbung: panoptisch

AML M7: Akute Megakaryoblastenleukämie. Auffällig sind die Zytoplasmaabschnürungen der Zellen, die zahlreichen Thrombozyten und die teils an junge Megakaryozyten erinnernde bilobäre Kernform der Blasten.




Art: Zytologie
Material: Knochenmark
Färbung: panoptisch

AML M7: Auffällig ist die Ausreifung in Richtung Megakaryozyten.




    Nach oben zum Seitenanfang Zum Seitenanfang                                                                                  Inhaltsverzeichnis (navigierbar) Sitemap  |  Druckversion des Dokuments  |  E-Mail-Versand  
 
"Akute myeloische Leukämie - Pathophysiologie, Diagnostik, Therapie, Prognose" publiziert bei ONKODIN in Kooperation mit "Deutscher Ärzte-Verlag"
(Publikation als Buch)
Deutscher Ärzte-Verlag  Deutscher Ärzte-Verlag
und in Kooperation mit "Studien-Allianz Leukämie"
Deutscher Ärzte-Verlag  Studien-Allianz Leukämien
[Mehr]
Interner Link
Der Hämatologische Notfall. Sysmex Kalender 2008 [Mehr]