zum ONKODIN-Projekt   Deutsches MDS-Forum 2010  |  Links  |  Kontakt  |  Impressum  |  English Content English Content  
Inhaltsverzeichnis (navigierbar)Sitemap  
Akute lymphatische Leukämien
Thymische T-ALL (kortikale)
Thymische T-ALL Bildserie 1
Thymische T-ALL Bildserie 2


Thymische T-ALL (kortikale T-ALL) - Bildserie 1




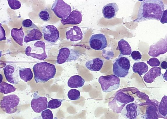
Art: Zytologie
Material: Knochenmark

Patient mit ausgedehntem Mediastinaltumor. Der Infiltrationsgrad der Leukämie ist vergleichsweise gering. Man sieht noch viele Fettvakuolen im Knochenmark-Bröckel.




Art: Zytologie
Material: Knochenmark

Die leukämische Population macht hier nur etwa 60% der Zellen aus.




Art: Zytologie

Links unten Dreiergruppe von Leukämiezellen.




Art: Zytologie
Material: Blut
Färbung: panoptisch

Alle lymphatischen Zellen dieses Fotos sind Leukämiezellen. Man kann hier gut die undifferenzierten Blasten erkennen.




Material: Knochenmark

Voll infiltriertes Mark. Viele kleine Blasten mit gekerbten Kernen - typisch bei der thymischen ALL.




Art: Zytologie
Material: Knochenmark

Kleine Blasten, Nukleolen nur angedeutet zu erkennen.




Art: Zytologie
Material: Knochenmark
Zytochemie: Saure Phosphatase

Die saure Phosphatase ist fokal positiv. Nur dieses fokale Reaktionsmuster ist typisch für die ALL der T-Reihe.




    Nach oben zum Seitenanfang Zum Seitenanfang                                                                                  Inhaltsverzeichnis (navigierbar) Sitemap  |  Druckversion des Dokuments  |  E-Mail-Versand  
 
Interner Link
Der Hämatologische Notfall. Sysmex Kalender 2008 [Mehr]