zum ONKODIN-Projekt   Deutsches MDS-Forum 2010  |  Links  |  Kontakt  |  Impressum  |  English Content English Content  
Inhaltsverzeichnis (navigierbar)Sitemap  
Myelodysplastische Syndrome
RCMD-RS (nach WHO)
RCMD-RS (WHO) / RARS (FAB)


Refraktäre Zytopenie mit multilineärer Dysplasie und Ringsideroblasten (RCMD-RS nach WHO), refraktäre Anämie mit Ringsideroblasten (RARS nach FAB) - Bildserie


Bemerkung: Alter 70 Jahre, Hb-Wert 10,2 g/dl, Leukozyten 3900 µ/l, Thrombozyten 147000 µ/l; keine Blasten im peripheren Blutbild

Beschreibung/Beurteilung der Bildserie: Der Patient hatte ein Jahr vorher eine akute myeloische Leukämie und bekam eine AML-Therapie; die AML hatte einen normalen Karyotyp, Nukleophosmin (NPM) war mutiert. Von der AML ist nichts mehr zu sehen, weder morphologisch noch molekulargenetisch. Wahrscheinlich zeigt das jetzige Bild die Erkrankung, die der Patient zuvor gehabt hat, nämlich RARS / RCMD-RS.

Differenzialdiagnosen: Es handelt sich wahrscheinlich nicht um ein sekundäres MDS, dies ist aber nicht auszuschließen.




Material: Knochenmark
Färbung: panoptisch

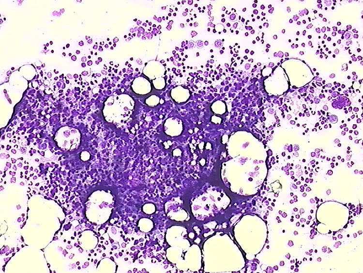
Abb. 1: Übersicht über das Knochenmark

(Mikroskopische Objektivvergrößerung X10)




Material: Knochenmark
Färbung: panoptisch

Abb. 2: Das Knochenmark ist hyperzellulär.




Material: Knochenmark
Färbung: panoptisch

Abb. 3: Dysplasien in der Megakaryopoese




Material: Knochenmark
Färbung: panoptisch

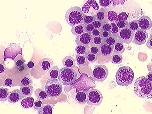
Abb. 4: Die rote Reihe ist zahlreich vertreten; ausgeprägte Dysplasien im Bereich der Erythropoese; einige Leukozyten




Material: Knochenmark
Färbung: panoptisch

Abb. 5: Die rote Reihe zeigt eine deutliche Vermehrung, bei der Befundung wurde die Erythropoese auf 52% aller kernhaltigen Zellen differenziert.




Material: Knochenmark
Färbung: panoptisch

Abb. 6: Zum Teil megaloblastoide Veränderungen innerhalb der Erythropoese, neben den vielen kleinen, die in Clustern liegen.




Material: Knochenmark
Färbung: panoptisch

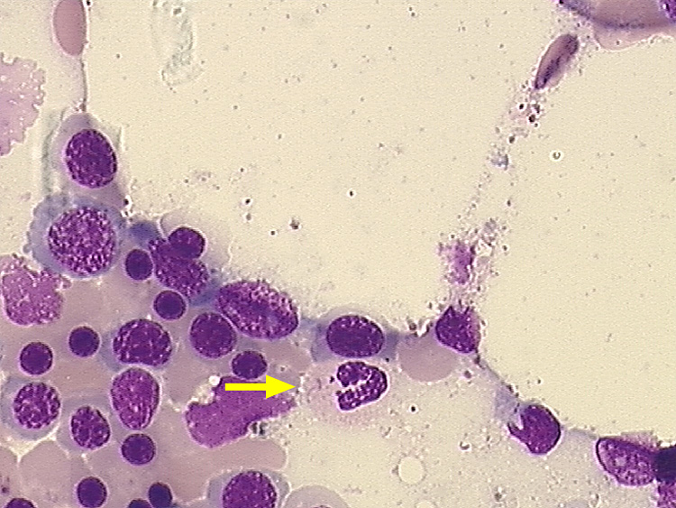
Abb. 7: Sehr ausgeprägte Dysplasien mit Kleeblattformen (Karyorhexis)




Material: Knochenmark
Färbung: panoptisch

Abb. 8: Dysplasien in der Granulopoese, hypogranuliert (an dem Segmentkernigen zu sehen)




Material: Knochenmark
Färbung: panoptisch

Abb. 8: Im Vordergrund steht die ausgeprägte Vermehrung und Dysplasie der roten Reihe; es sind kaum myeloische Blasten in dem Präparat zu finden.




Material: Knochenmark
Färbung: panoptisch

Abb. 9: Daneben gibt es auch Dysplasien in der Granulopoese und der Megakaryopoese, es sind also 3 Zellinien betroffen; Blasten der weißen Reihe sind im Knochenmark unter 5%.




Material: Knochenmark
Zytochemie: Eisenfärbung

Abb. 10: Bei dieser Konstellation benötigt man die Eisenfärbung (Frage nach Ringsideroblasten). Es fällt in der Übersicht auf, dass der Patient schon viel Eisen zum Beispiel im Rahmen von Transfusionen erhalten hat; man sieht in Bröckchen gelagertes Speichereisen, mehr als man das in dem Alter erwarten dürfte.

(Mikroskopische Objektivvergrößerung X10)




Material: Knochenmark
Zytochemie: Eisenfärbung

Abb. 11: Die Erythropoese im Detail; sehr viele der Normoblasten haben mehr als 10 Granula um mindestens ein Drittel der Kernzirkumferenz herum (= Kriterien für Ringsideroblasten). Bei der Befundung wurden 71% Ringsideroblasten differenziert.

(Mikroskopische Objektivvergrößerung X63)




Material: Knochenmark
Zytochemie: Eisenfärbung

Abb. 12: RCMD-RS (nach WHO) - das in Bild 10 beschriebene Speichereisen rührt von den Transfusionen während der AML-Therapie her.




    Nach oben zum Seitenanfang Zum Seitenanfang                                                                                  Inhaltsverzeichnis (navigierbar) Sitemap  |  Druckversion des Dokuments  |  E-Mail-Versand  
 
Vollständiger Bild-Ton-Vortrag: Refraktäre Zytopenie mit multilineärer Dysplasie und Ringsideroblasten (RCMD-RS nach WHO) [Mehr]
Interner Link
Der Hämatologische Notfall. Sysmex Kalender 2008 [Mehr]