zum ONKODIN-Projekt   Deutsches MDS-Forum 2010  |  Links  |  Kontakt  |  Impressum  |  English Content English Content  
Inhaltsverzeichnis (navigierbar)Sitemap  
Systemische Mastozytose
Systemische Mastozytose mit assoziierter AML - Falldarstellung
Erstdiagnose AML
Aplasiekontrolle nach Induktion
Remissionsbeurteilung nach Regeneration
Abschlusskontrolle nach 3. Konsolidierung


AML mit t(8;21) / AML1-ETO und SM-AHNMD: Bildserie zur Erstdiagnose der AML


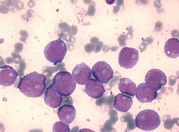
Beschreibung/Beurteilung der Bildserie: Myeloische Blasten mit unregelmäßigen Kernen, deutlichen Nukleoli und überwiegend deutlicher Golgi-Zone, stark basophiles Zytoplasma mit dichter Granulation




KM-Zytologie bei Erstdiagnose der AML


Art: Zytologie
Material: Knochenmark
Färbung: panoptisch

Zellform: glatt begrenzt; Zellgröße: groß; Zytoplasmagröße: mittel; Zytoplasmafarbe: kräftig basophil; Auerstäbchen: wenige; Granula: basophil, häufig; Kernform: bizarr, gebuchtet, lobuliert; Kernchromatin: aufgelockert; Nukleolus: deutlich, häufig; Zelldifferenzierung: gering




KM-Zytologie bei Erstdiagnose der AML


Art: Zytologie
Material: Knochenmark
Färbung: panoptisch

Zellform: glatt begrenzt; Zellgröße: groß; Zytoplasmagröße: mittel; Zytoplasmafarbe: kräftig basophil; Auerstäbchen: wenige; Granula: basophil, häufig; Kernform: bizarr, gebuchtet, lobuliert; Kernchromatin: aufgelockert; Nukleolus: deutlich, häufig; Zelldifferenzierung: gering




KM-Zytologie bei Erstdiagnose der AML


Art: Zytologie
Material: Knochenmark
Färbung: panoptisch

Zellform: glatt begrenzt; Zellgröße: groß; Zytoplasmagröße: mittel; Zytoplasmafarbe: kräftig basophil; Auerstäbchen: wenige; Granula: basophil, häufig; Kernform: bizarr, gebuchtet, lobuliert; Kernchromatin: aufgelockert; Nukleolus: deutlich, häufig; Zelldifferenzierung: gering




    Nach oben zum Seitenanfang Zum Seitenanfang                                                                                  Inhaltsverzeichnis (navigierbar) Sitemap  |  Druckversion des Dokuments  |  E-Mail-Versand  
 
Interner Link
Der Hämatologische Notfall. Sysmex Kalender 2008 [Mehr]