zum ONKODIN-Projekt   Deutsches MDS-Forum 2010  |  Links  |  Kontakt  |  Impressum  |  English Content English Content  
Inhaltsverzeichnis (navigierbar)Sitemap  
Systemische Mastozytose
Systemische Mastozytose mit assoziierter AML - Falldarstellung
Erstdiagnose AML
Aplasiekontrolle nach Induktion
Remissionsbeurteilung nach Regeneration
Abschlusskontrolle nach 3. Konsolidierung


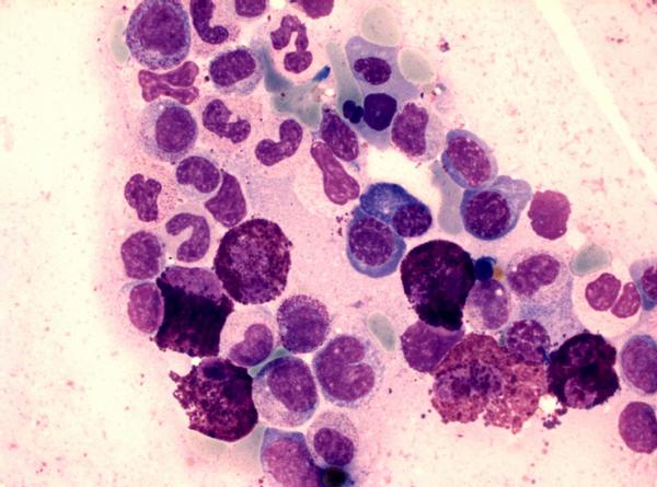
AML mit t(8;21) / AML1-ETO und SM-AHNMD: Bildserie zur Remissionsbeurteilung nach Regeneration


Beschreibung/Beurteilung der Bildserie: Normozelluläres Knochenmark. Erythropoese anteilig regelrecht, qualitativ unauffällig; Granulopoese anteilig regelrecht, linksverschoben, Anteil myeloischer Blasten 1%; regelrechter Anteil von Eosinophilen und Lymphozyten. Mit ca. 10% deutliche Vermehrung von Gewebsmastzellen; Megakaryopoese unauffällig.




KM-Zytologie nach Induktion und Regeneration


Art: Zytologie
Material: Knochenmark
Färbung: panoptisch




KM-Zytologie nach Induktion und Regeneration


Art: Zytologie
Material: Knochenmark
Färbung: panoptisch




KM-Zytologie nach Induktion und Regeneration


Art: Zytologie
Material: Knochenmark
Färbung: panoptisch




    Nach oben zum Seitenanfang Zum Seitenanfang                                                                                  Inhaltsverzeichnis (navigierbar) Sitemap  |  Druckversion des Dokuments  |  E-Mail-Versand  
 
Interner Link
Der Hämatologische Notfall. Sysmex Kalender 2008 [Mehr]