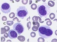
Die Haarzellleukämie ist klinisch charakterisiert durch eine Bi- bis Panzytopenie und tritt häufig durch eine Infektionsanfälligkeit klinisch hervor. Die leukämischen Zellen sind durch ein breites graublaues Zytoplasma mit unscharfer Begrenzung charakterisiert, in dem häufig feine Vakuolen erkennbar sind. Der Kern ist exzentrisch rundoval (A) oder eingekerbt (B und C). Gelegentlich kommen auch zweikernige Formen vor (D). Die Haarzellen sind B-Lymphozyten und tragen ein typisches Antigen, das CD 103.


