zum ONKODIN-Projekt   Deutsches MDS-Forum 2010  |  Links  |  Kontakt  |  Impressum  |  English Content English Content  
Inhaltsverzeichnis (navigierbar)Sitemap  
Non-Hodgkin-Lymphome
Mantelzell-Lymphom, blastoide Variante
Knochenmarkzytologie
Lymphknotenzytologie


Mantelzell-Lymphom: Bildserie Knochenmarkzytologie


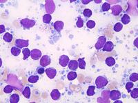
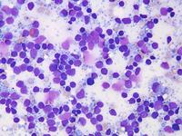
Beschreibung/Beurteilung der Bildserie: Gut beurteilbare Abrollpräparat bei Punctio sicca. Es handelt sich nahezu ausschließlich um mittelgroße lymphatische Zellen mit einer hohen Kern-Plasma-Relation, überwiegend polygonaler Kernform, partiell kondensiertem Kernchromatin und kaum sichtbaren Nukleolen. Das spärliche Zytoplasma ist schwach bis mäßig basophil. Eingestreut finden sich wenige größere Zellen mit einer feinen Chromatinstruktur, bei denen es sich um Blasten handeln könnte. In geringer Zahl finden sich kleine Lymphozyten mit stark kondensiertem Kernchromatin sowie wenige Zellen der Hämatopoese. Auffallend sind massenhaft freiliegende Zytoplasmafragmente.





Zellreiches Knochenmarkabrollpräparat bei Punctio sicca.





Nur geringe Beimengung von Erythrozyten, zahlreiche freiliegende Zytoplasmafragmente.





Es handelt sich um kleine bis mittelgroße lymphatische Zellen mit polygonale Kernform.





Das Kernchromatin weist eine variable Dichte auf. Nukleolen sind nur vereinzelt zu erkennen.





Eingestreut zahlreiche kleine Lymphozyten mit stark kondensiertem Kernchromatin.





Nur vereinzelt sind Erythroblasten zu sehen, wie hier rechts von der Bildmitte.





Zum Teil ist das Kernchromatin blastenartig fein verteilt wie hier im Bild in der unteren Bildhälfte.





Auch hier ist das Chromatin in einem Teil der Zellen gleichmäßig strukturiert.




    Nach oben zum Seitenanfang Zum Seitenanfang                                                                                  Inhaltsverzeichnis (navigierbar) Sitemap  |  Druckversion des Dokuments  |  E-Mail-Versand  
 
Interner Link
Der Hämatologische Notfall. Sysmex Kalender 2008 [Mehr]