zum ONKODIN-Projekt   Deutsches MDS-Forum 2010  |  Links  |  Kontakt  |  Impressum  |  English Content English Content  
Inhaltsverzeichnis (navigierbar)Sitemap  
Myelodysplastische Syndrome/ myeloproliferative Neoplasien
CMML
CMML - Bildserie 1
CMML - Bildserie 2


Chronische myelomonozytäre Leukämie - Bildserie 1




CMML


Erstelldatum: 12.07.2004
Art: Zytologie
Material: Knochenmark
Färbung: panoptisch

Im Knochenmark viel Monozyten und Promonozyten, daneben auch Granulozyten und ihre Vorstufen.




CMML


Erstelldatum: 12.07.2004
Art: Zytologie
Material: Knochenmark
Färbung: panoptisch

Wenige Blasten.




CMML


Erstelldatum: 12.07.2004
Art: Zytologie
Material: Blut
Färbung: panoptisch

Man könnte das Bild auch für eine AML M5 halten. Doch dürfte es dann nicht soviel Granulopoese geben. Man hat eine fast reine Monozytenpopulation.




CMML


Erstelldatum: 12.07.2004
Art: Zytologie
Material: Knochenmark
Färbung: panoptisch

Gesteigerter Zellgehalt, man sieht aber noch Fett-Vakuolen.




CMML


Erstelldatum: 12.07.2004
Art: Zytologie
Material: Knochenmark
Färbung: panoptisch

Nebeneinander die reifen zytoplasmatisch blassrosa dargestellten reifen Zellen der neutrophilen Reihe. Daneben die (Pro)- Monozyten mit bläulich-basophil tingiertem Zytoplasma.




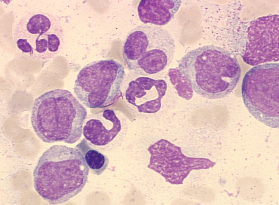
CMML


Erstelldatum: 12.07.2004
Art: Zytologie
Material: Knochenmark
Färbung: panoptisch

Wenige Blasten.




CMML


Erstelldatum: 12.07.2004
Art: Zytologie
Material: Knochenmark

Bei der Differenzialdiagnose zwischen CMML und AML ist die Abschätzung des Blastenanteils entscheidend: Nach WHO werden hier die Promonozyten mitgezählt.




CMML


Erstelldatum: 12.07.2004
Art: Zytologie
Material: Blut
Färbung: panoptisch




CMML


Erstelldatum: 12.07.2004
Art: Zytologie
Material: Knochenmark
Färbung: panoptisch




    Nach oben zum Seitenanfang Zum Seitenanfang                                                                                  Inhaltsverzeichnis (navigierbar) Sitemap  |  Druckversion des Dokuments  |  E-Mail-Versand  
 
Interner Link
Der Hämatologische Notfall. Sysmex Kalender 2008 [Mehr]