zum ONKODIN-Projekt   Deutsches MDS-Forum 2010  |  Links  |  Kontakt  |  Impressum  |  English Content English Content  
Inhaltsverzeichnis (navigierbar)Sitemap  
Myelodysplastische Syndrome/ myeloproliferative Neoplasien
CMML
CMML - Bildserie 1
CMML - Bildserie 2


Chronische myelomonozytäre Leukämie - Bildserie 2


Bemerkung: Das Knochenmark ist aus technischen Gründen nicht dargestellt.




Material: Blut
Färbung: panoptisch

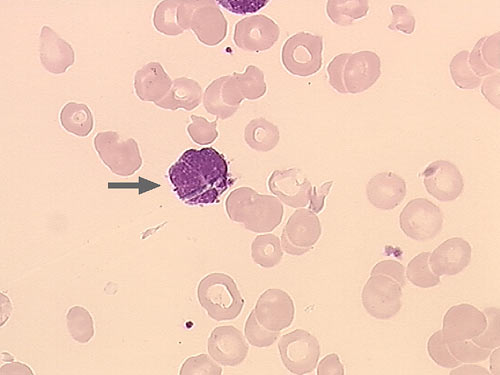
Abb. 1: Die Zellzahl ist relativ hoch. In den Erythrozyten ist eine basophile Tüpfelung zu sehen; daneben ein fast toxisch granulierter Stabkerniger.




Material: Blut
Färbung: panoptisch

Abb. 2: Die neutrophile Reihe erscheint ohne wesentliche Dysplasiezeichen, keine atypische Kernsegmentierung; ausreichend Thrombozyten (hier sind 4 zu sehen).




Material: Blut
Färbung: panoptisch

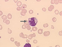
Abb. 3: Ein Monozyt mit typisch vielen Vakuolen; die Monozyten sehen nicht unbedingt atypisch bzw. dysplastisch aus.




Material: Blut
Färbung: panoptisch

Abb. 4: Diese Zelle befindet sich jenseits der Reifungsstufe eines Promyelozyten, das Zytoplasma ist nicht mehr so basophil wie bei einem Promyelozyten: sie kann als Myelozyt bezeichnet werden.




Material: Blut
Färbung: panoptisch

Abb. 5: Hier sind nur zwei Kernsegmente in dem Neutrophilen zu sehen, was aber bei diesem Fall kein immer wiederkehrendes Phänomen ist.




Material: Blut
Färbung: panoptisch

Abb. 6: Lymphozyt




Material: Blut
Färbung: panoptisch

Abb. 7: ein Basophiler




Material: Blut
Färbung: panoptisch

Abb. 4: Der Patient hat sehr viele Monozyten, hier ist einer zu sehen.




Material: Blut
Färbung: panoptisch

Abb. 9: wieder ein Monozyt




Material: Blut
Färbung: panoptisch

Abb. 10: Dies ist wahrscheinlich ein Monozyt mit ziemlich wenig Zytoplasma, die Natur dieser Zelle ist aber nicht eindeutig morphologisch zu bestimmen.




    Nach oben zum Seitenanfang Zum Seitenanfang                                                                                  Inhaltsverzeichnis (navigierbar) Sitemap  |  Druckversion des Dokuments  |  E-Mail-Versand  
 
Vollständiger Bild-Ton-Vortrag: Chronische myelomonozytäre Leukämie (myelodysplast./ myeloproliferative Erkrankung nach WHO) [Mehr]
Interner Link
Der Hämatologische Notfall. Sysmex Kalender 2008 [Mehr]