zum ONKODIN-Projekt   Deutsches MDS-Forum 2010  |  Links  |  Kontakt  |  Impressum  |  English Content English Content  
Inhaltsverzeichnis (navigierbar)Sitemap  
Blutzellen
Erythrozyten
Akanthozyten
Anisozytose
Anulozyten
Basophile Tüpfelung
Codozyten
Diverse Veränderungen
Farbstoffmangel
Fragmentozyten
Geisterzellen
Geldrollenbildung
Howell-Jolly-Körperchen
Makrozyten
Poikilozyten
Sphärozyten
Tränentropfenzellen


Diverse Erythrozytenveränderungen

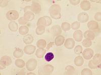
Die Veränderung von Form und Beschaffenheit der Erythrozyten lässt nur bestimmte Muster zu und ist selten spezifisch (wie z.B. bei Sichelzellen). Die Ursachen solcher Veränderungen können vielfältig sein (Hämoglobinopathien, qualitative und quantitative Veränderungen der Erythropoese, z.B. bei Myelodysplasie oder Regeneration, Änderung des nichterythrozytären Blutanteils bei Paraproteinämie oder osmotischen Schwankungen, Organstörungen wie zum Beispiel Hepato- oder Nephropathie, Ausfall von Organfunktion wie zum Beispiel nach Splenektomie). Im vorliegenden Fall handelt es sich um einen Blutausstrich bei chronisch lymphatischer Leukämie mit Hämolyse und schwerer Leberschädigung (Bilirubin 45 mg%).





Ausgeprägte Anisozytose, Anisochromasie, Poikilozytose. Vorkommen von Targetzellen, Echino-Akanthozyten und anderen unregelmäßigen Formänderungen. Häufig in Auflösung befindliche oder aufgeplatzte Erythrozyten und Geisterzellen (Objektiv 40x).





Die in Auflösung begriffenen Erythrozyten vermitteln den Eindruck, als handele es sich um eine artifizielle Störung (ausstrichtechnisch, osmotisch). Tatsächlich sind die Erythrozyten höchst fragil (Objektiv 100x Öl).





Akanthozyten, Targetzellen und aufgeplatzte Erythrozyten (gleiches Präparat und Objektiv).





Stellenweise sieht das Erythrozytenbild aus, als sei eine hypotone Flüssigkeit auf das Präparat geraten. Ein Gumprechtscher Kernschatten (gleiches Präparat und Objektiv).





Die blassen Hüllen der aufgelösten Erythrozyten liegen als Geisterzellen zwischen den noch erkennbaren (gleiches Präparat und Objektiv).




Literaturreferenzen:
  • Bain BJ. Blood cells. A practical guide. Gower Medical Publishing, London, 1989.
    [Online]

    Nach oben zum Seitenanfang Zum Seitenanfang                                                                                  Inhaltsverzeichnis (navigierbar) Sitemap  |  Druckversion des Dokuments  |  E-Mail-Versand  
 
Interner Link
Akanthozyten
Arte?-Fakt? - Artefakte mikroskopischer Präparate
Sysmex Kalender 2007 [Mehr]
Interner Link
Siehe auch: "Blutbildveränderungen nach Splenektomie" [Mehr]
Interner Link
Siehe auch: "Angeborene Asplenie (Alienie), Kind" [Mehr]
Interner Link
Akute Hämolyse.
Der Hämatologische Notfall. Sysmex Kalender 2008 [Mehr]
Interner Link
Erythrozyten - Hämolyse
Arte?-Fakt? - Artefakte mikroskopischer Präparate
Sysmex Kalender 2007 [Mehr]
Interner Link
Agglutinate
Arte?-Fakt? - Artefakte mikroskopischer Präparate
Sysmex Kalender 2007 [Mehr]