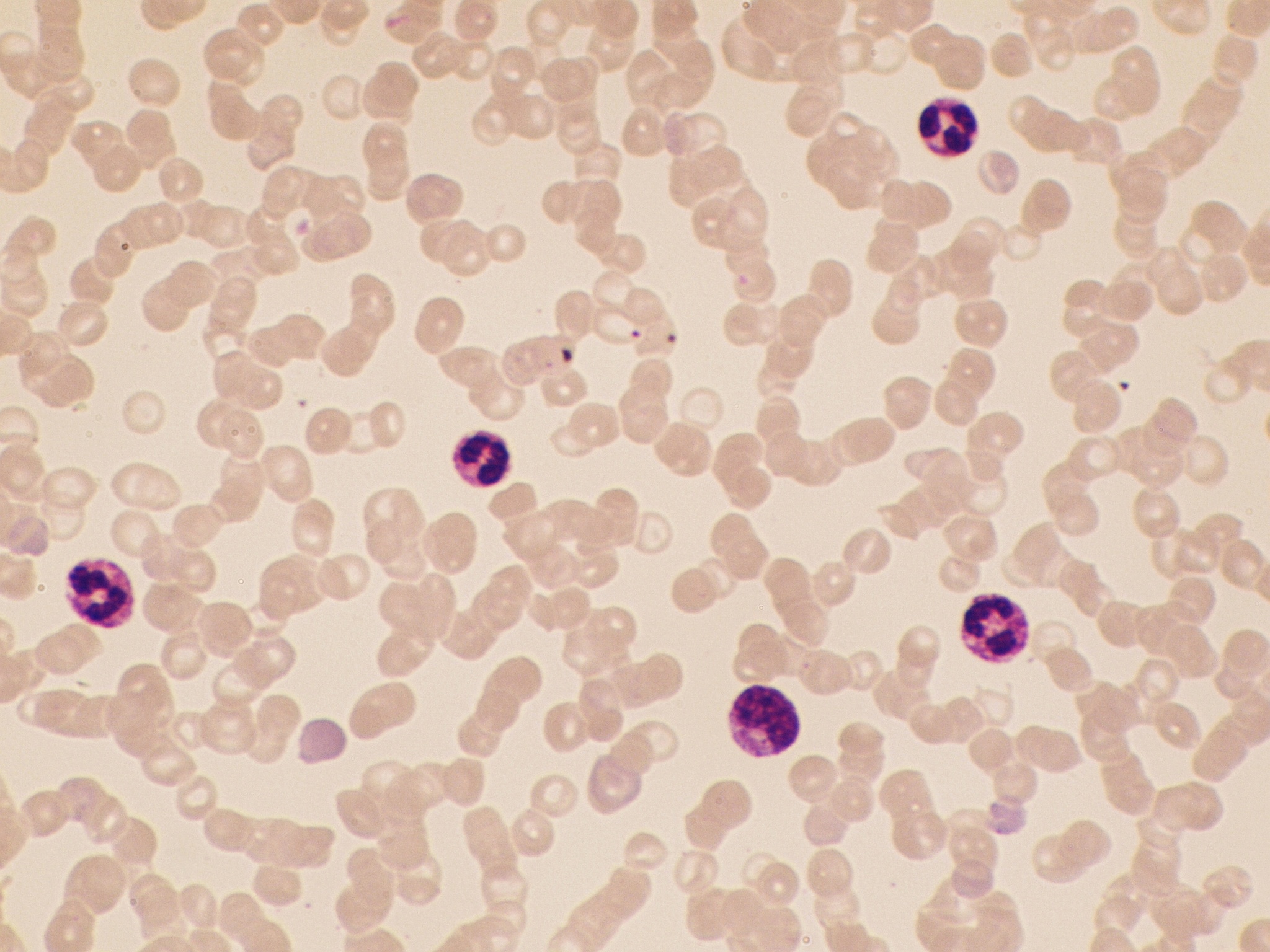
Abb. 1: Das vorliegende Präparat zeigt eine physiologische Linksverschiebung bei einem granulozytär entzündlichen Prozess. Man findet deutlich vermehrt Stabkernige, einzelne Metamyelozyten, hier ausnahmsweise auch einen Myelozyten. Die Neutrophilen zeigen eine ausgeprägte toxische Granulation (Objektiv 20x).




