zum ONKODIN-Projekt   Deutsches MDS-Forum 2010  |  Links  |  Kontakt  |  Impressum  |  English Content English Content  
Inhaltsverzeichnis (navigierbar)Sitemap  
Granulozyten, neutrophile
Linksverschiebung der Neutrophilen
Physiologische Linksverschiebung
Hiatus leucaemicus
Extreme reaktive Linksverschiebung


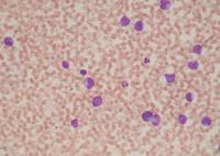
Hiatus leucaemicus





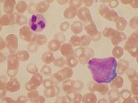
Abb. 5: Hiatus leucaemicus, AML M5a. Es überwiegen Monoblasten, in Bildmitte finden sich zwei segmentkernige Neutrophile und ein Lymphozyt (Objektiv 20x).





Abb. 6: Ein Segmentkerniger und ein Blast (Objektiv 100x Öl).





Abb. 7: Hiatus leucaemicus: Im mit der Zytozentrifuge hergestellten Leukozytenkonzentrat sieht man das Überwiegen von Blasten, daneben finden sich einige neutrophile Segmentkernige, auch eine Population von Lymphozyten ist erkennbar (Objektiv 20x).





Abb. 8: Bei stärkerer Vergrößerung (Objektiv 100x Öl) zahlreiche Blasten, wenige Segmentkernige, ein Lymphozyt.




    Nach oben zum Seitenanfang Zum Seitenanfang                                                                                  Inhaltsverzeichnis (navigierbar) Sitemap  |  Druckversion des Dokuments  |  E-Mail-Versand  
 
Interner Link
Leukozytose, extreme. Der Hämatologische Notfall. Sysmex Kalender 2008 [Mehr]
"Akute myeloische Leukämie - Pathophysiologie, Diagnostik, Therapie, Prognose" publiziert bei ONKODIN in Kooperation mit "Deutscher Ärzte-Verlag"
(Publikation als Buch)
Deutscher Ärzte-Verlag  Deutscher Ärzte-Verlag
und in Kooperation mit "Studien-Allianz Leukämie"
Deutscher Ärzte-Verlag  Studien-Allianz Leukämien
[Mehr]
Interner Link
Granulozyten (Abbauformen, Pseudo-Pelger, nach G-CSF). Arte?-Fakt? - Artefakte mikroskopischer Präparate
Sysmex Kalender 2007 [Mehr]