zum ONKODIN-Projekt   Deutsches MDS-Forum 2010  |  Links  |  Kontakt  |  Impressum  |  English Content English Content  
Inhaltsverzeichnis (navigierbar)Sitemap  
Granulozyten, neutrophile
Artefakte
Agglutination von neutrophilen Granulozyten


Agglutination von neutrophilen Granulozyten

Die EDTA-induzierte Pseudothrombozytopenie ist eine In-vitro-Veränderung, die bei der Abklärung einer Thrombozytopenie in heutiger Zeit differenzialdiagnostisch bedacht wird. Demgegenüber ist die seltene meistens durch EDTA induzierte Agglutination von Neutrophilen und anderen Leukozyten ein wenig bekanntes Phänomen. Durch Leukozytenagglutination bedingt können erniedrigte WBC- und Granulozytenzahlen gemessen werden.

Fallbeispiele über die hier gezeigte Bildserie hinaus, Hinweise auf das Vorkommen bei unterschiedlichen Messmethoden und Diskussion der möglichen pathophysiologischen Mechanismen finden sich in der angeführten Literatur.





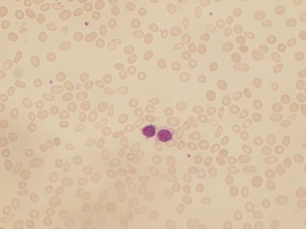
Zwei agglutinierte neutrophile Granulozyten (Objektiv 40x).





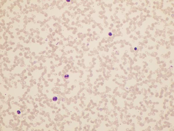
Blutausstrich bei OMS (Osteomyelosklerose). Die Leukozytendichte ist nicht sehr hoch, im vorliegenden Bildausschnitt keine agglutinierten Leukozyten. Links oberhalb der Bildmitte ein Thrombozytenagglutinat (Objektiv 20x).





Übersichtsbild an anderer Stelle. Keine Leukozytenagglutinate. Geldrollenbildung der Erythrozyten (Objektiv 20x).





Fünf agglutinierte Neutrophile (Objektiv 40x).





Agglutination eines Blasten mit einem Lymphozyten (Objektiv 40x).





Agglutination eines Monozyten mit einem Lymphozyten (Objektiv 40x).





Agglutination zweier Lymphozyten (Objektiv 40x).





Agglutination eines Lymphozyten mit einem Neutrophilen (Objektiv 40x).





Agglutination zweier Lymphozyten (Objektiv 40x).





Agglutination zweier Neutrophiler mit einem Monozyten (Objektiv 40x).





Agglutination zweier neutrophiler mit einem basophilen Granulozyten (Objektiv 40x).





Agglutination von fünf Neutrophilen (Objektiv 100x Öl).





Agglutination eines Neutrophilen mit einem Monozyten. Von der Bildmitte zum linken unteren Bildrand hin ein tränentropfenförmiger Erythrozyt (Objektiv 100x Öl).





Agglutination eines Lymphozyten mit einem Neutrophilen (Objektiv 100x Öl).




Literaturreferenzen:
  • Vinatier, I. et al.: Four cases of spuriously low WBC count due to in vitro leucocyte agglutination: contribution of the hematology analyzer Coulter STKS in detecting this clinically misleading artefact. Pathol Biol 1994;42:775-780. PMID:7724249
    [Medline]
  • Deol, I. et al.: Ethylenediamine tetraacetic acid-associated leukoagglutination. Am J Clin Pathol 1995;103:338-340. PMID:7872257
    [Medline]
  • Hillyer, C.D. et al.: EDTA dependent leukoagglutination. Am J Clin Pathol 1991;96:147-148. PMID:2121021
    [Medline]
  • Hoffmann, J.J.: EDTA-induced pseudo-neutropenia resolved with kanamycin. Clin Lab Haematol 2001;23:193-196. PMID:11553062
    [Medline]
  • Moraglio, D. et al.: Association of pseudothrombocytopenia and pseudoleukopenia: evidence for different pathogenentic mechamisms. Scand J Clin Invest 1994;54:257-265. PMID:7939367
    [Medline]
  • Galifi, M. et al.: Instrumental reports and effect of anticoagulants in a case of neutrophil agglutination in vitro. Haematologica 1993;78:364-370. PMID:7503816
    [Medline]
  • Kobayashi, S. et al.: [Studies on EDTA-dependent pseudoneutropenia]. Rinsho Ketsueki 1991;32:205-211. PMID:1904107
    [Medline]
  • Tsuda, T. et al.: [Temperature-dependent pseudoleukocytopenia and in vitro studies on the underlying mechanism]. Rinsho Ketsueki 1990;31:23-28. PMID:2107345
    [Medline]
  • Lesesve, J.F. et al.: Pseudoleucopénie par leuco-agglutination in vitro des polynucléaires neutrophiles: expérience d’un laboratoire, revue de la littérature et conduite propose. Ann Biol Clin 2000;58:417-427. PMID:10932041
    [Medline]

    Nach oben zum Seitenanfang Zum Seitenanfang                                                                                  Inhaltsverzeichnis (navigierbar) Sitemap  |  Druckversion des Dokuments  |  E-Mail-Versand  
 
Interner Link
Granulozyten (Abbauformen, Pseudo-Pelger, nach G-CSF). Arte?-Fakt? - Artefakte mikroskopischer Präparate
Sysmex Kalender 2007 [Mehr]