zum ONKODIN-Projekt   Deutsches MDS-Forum 2010  |  Links  |  Kontakt  |  Impressum  |  English Content English Content  
Inhaltsverzeichnis (navigierbar)Sitemap  
Knochenmark
Knochenmarkmetastasierung
Knochenmarkmetastasierung bei SCLC
Knochenmetastasierung bei Prostatakarzinom


Knochenmarkmetastasierung bei kleinzelligem Bronchialkarzinom (SCLC)

Zu den umschriebenen Veränderungen, die man in der Knochenmarkzytologie auffinden kann, gehören Mikrometastasen bei kleinzelligem Bronchialkarzinom (SCLC). Eine massive Aussaat dieser Neoplasie ist einfach zu diagnostizieren. Bei der zytologischen Diagnostik kleinerer Metastasen dieses Tumors im Knochenmark gilt es auf einige Besonderheiten zu achten:

  1. Zunächst sollte man diese von Artefakten differenzieren. Solche sind: Lymphfollikel, umschriebene Infiltrate bei Lymphom, Zellüberlagerungen an ausstrichbedingten dichten Zusammenballungen von Knochenmarkzellen, Megakaryozytenkerne, Zellhaufen mit Verlust der Zytoplasmata u.a.
  2. Die Zellen des SCLC zeigen eine besondere Form der Zusammenlagerung: Sie "drängeln" sich aneinander, liegen "Eck an Eck" und dellen sich manchmal gegenseitig ein (Moulding).
  3. Das Zytoplasma dieser Zellen ist bei Kohärenz häufig nicht oder kaum erkennbar, so dass sie nur aus Kernsubstanz zu bestehen scheinen.
  4. Bei frei ausgestrichener Einzellagerung können sie ein "blastenartiges" Aussehen mit deutlich erkennbarem Zytoplasma (gelegentlich mit Vakuolen), rundlichem Kern (mit dichtem unstrukturiertem Karyoplasma) zeigen.
  5. In und zwischen den Zellen können sich Zytoplasmareste und Nekrosekörperchen finden.
  6. Die Zellen des SCLC sind leicht lädierbar und liegen dann als Zell- und Kernschatten in und neben den Verbänden. Aufgrund der raschen Proliferation lassen auch scheinbar noch intakte Zellen z.T. Zerfallserscheinungen erkennen. Die Kernstruktur ist in manchen Zellen gröber ("geknäuelt") als Zeichen vermehrter Pro- und Rekonstruktionsphasen bei hoher Teilungsrate.
  7. In Metastasen des SCLC lassen sich in der Zytologie öfters neutrophile Granulozyten in den Zellverbänden nachweisen.





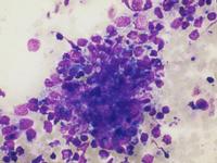
Mikrometastase eines SCLC im Knochenmark (Objektiv 20x).





Zahlreiche z.T. aneinanderliegende Tumorzellverbände im Knochenmark bei SCLC (Objektiv 20x).





Großer Tumorzellverband im Knochenmark bei SCLC mit z.T. aufeinanderliegenden Zellen. Am Rand keine hämatopoetischen Zellen erkennbar (Objektiv 20x).





Knochenmarkmetastase bei SCLC (Objektiv 40x).





Knochenmarkmetastase bei SCLC (Objektiv 63x).





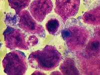
Knochenmarkmetastase bei SCLC (Objektiv 100x Öl). In dieser und der Abbildung davor schlechter Zellerhalt mit fleckiger Anfärbung von Kernen und Zytoplasma.





Knochenmarkmetastase bei SCLC (Objektiv 100x Öl). Einschlüsse und nekrotisches Material in und zwischen den Tumorzellen.





Knochenmarkmetastase bei SCLC (Objektiv 100x Öl). Nekrosekörperchen, phagozytierter Neutrophiler als Kerneinschluss in einer Tumorzelle.





Mit Abräummaterial beladener Makrophage in einem Tumorzellverband bei SCLC im Knochenmark (Objektiv 100x Öl).





Weitgehend unbeladener Makrophage in einem Tumorzellverband (Objektiv 100x).





Neutrophiler Granulozyt und Normoblast in einem Tumorzellverband (Objektiv 100x Öl).




Literaturreferenzen:
  • Erdal NB, et al. Bone marrow involvement in small cell lung cancer. Turkish Respiratory Journal 2004;5:32-5.
  • Ozkan M, et al. Bone marrow involvement in small cell lung cancer: Prognostic significance and correlation with hematological and biochemical parameters. Asia-Pacific Journal of Clinical Oncology 2006;2:32-8.
  • Giaccone G, et al. Bone marrow evaluation in small cell carcinoma of the lung. Acta Oncologica 1987;26:185-8. PMID:2820447
    [Medline]
  • Löffler H, Rastetter J. Atlas der klinischen Hämatologie. 5. Auflage. Springer-Verlag, Berlin etc., 1999.
    [DNB]
  • Hoffbrand AV, Pettit JE. Clinical haematology illustrated. Churchill Livingstone, Edinburgh etc., 1987.

    Nach oben zum Seitenanfang Zum Seitenanfang                                                                                  Inhaltsverzeichnis (navigierbar) Sitemap  |  Druckversion des Dokuments  |  E-Mail-Versand  
 
Interner Link
Blutausstrich bei ausgeprägter Knochenmetastasierung [Mehr]
Interner Link
Tumorzellen eines Mammakarzinoms im Blut- und Knochenmark-Ausstrich. Der Hämatologische Notfall. Sysmex Kalender 2008 [Mehr]