zum ONKODIN-Projekt   Deutsches MDS-Forum 2010  |  Links  |  Kontakt  |  Impressum  |  English Content English Content  
Inhaltsverzeichnis (navigierbar)Sitemap  
Virale Erkrankungen
Infektiöse Mononukleose
Virozyt - Abbildung
Infektiöse Mononukleose, Bildserie 1
Infektiöse Mononukleose, Bildserie 2
Falldarstellung


Infektiöse Mononukleose, Bildserie 1




Erstelldatum: 01.10.2004
Art: Zytologie
Material: Blut
Färbung: panoptisch

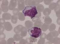
Das Bild zeigt zwei typische "Mononukleosezellen".

(Mikroskopische Objektivvergrößerung X100)




Erstelldatum: 01.10.2004
Art: Zytologie
Material: Blut
Färbung: panoptisch

Auch dieses Bild zeigt zwei typische "Mononukleosezelle" mit teils gelappten Kernen, das Zytoplasma "fließt" zwischen die Erythrozyten.

(Mikroskopische Objektivvergrößerung X100)




Erstelldatum: 01.10.2004
Art: Zytologie
Färbung: panoptisch

Hier ist eine typische "Mononukleoszelle" mit vakuolisiertem Zytoplasma zu erkennen.




Erstelldatum: 01.10.2004
Art: Zytologie
Material: Blut
Färbung: panoptisch

Bizarr geformte "Mononukleosezelle" mit vakuolisiertem Zytoplasma.

(Mikroskopische Objektivvergrößerung X100)




Erstelldatum: 01.10.2004
Art: Zytologie
Material: Blut
Färbung: panoptisch

Eine typische große "Mononukleosezelle" mit eingebuchtetem Kern.

(Mikroskopische Objektivvergrößerung X100)




Erstelldatum: 01.10.2004
Art: Zytologie
Material: Lymphknoten
Färbung: panoptisch

Bei diesem Präparat handelt es sich um eine Feinnadelbiopsie eines Lymphknotens. Der Patient war unter dem Verdacht eines Lymphoms punktiert worden, es zeigte sich aber der typische Befund einer floriden Mononukleose. Man erkennt hier sehr schön die Größenrelation von Lymphozyten und "Mononukleosezellen" bei der hier gezeigten Übersichtsvergrößerung.

(Mikroskopische Objektivvergrößerung X20)




Erstelldatum: 01.10.2004
Art: Zytologie
Material: Lymphknoten
Färbung: panoptisch

Ausschnitt des zuvor gezeigten Übersichtsbildes der Feinnadelpunktion eines Lymphknotens bei Mononukleose. Typische, wie auch im peripheren Blut vorhanden, "Mononukleosezellen". In diesem Präparat sind ausgesprochen viele Immunoblasten zu sehen. Im Hintergrund normale Lymphknotenstruktur.

(Mikroskopische Objektivvergrößerung X100)




    Nach oben zum Seitenanfang Zum Seitenanfang                                                                                  Inhaltsverzeichnis (navigierbar) Sitemap  |  Druckversion des Dokuments  |  E-Mail-Versand