zum ONKODIN-Projekt   Deutsches MDS-Forum 2010  |  Links  |  Kontakt  |  Impressum  |  English Content English Content  
Inhaltsverzeichnis (navigierbar)Sitemap  
Virale Erkrankungen
Infektiöse Mononukleose
Virozyt - Abbildung
Infektiöse Mononukleose, Bildserie 1
Infektiöse Mononukleose, Bildserie 2
Falldarstellung


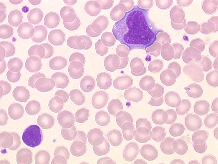
Infektiöse Mononukleose, Bildserie 2




Art: Zytologie
Material: Blut
Färbung: panoptisch

Lymphatische Reizformen




Art: Zytologie
Material: Blut
Färbung: panoptisch

Lymphatische Reizformen




    Nach oben zum Seitenanfang Zum Seitenanfang                                                                                  Inhaltsverzeichnis (navigierbar) Sitemap  |  Druckversion des Dokuments  |  E-Mail-Versand