|
|
Lymphozytenverunreinigung im Blutausstrich
Autor/en: F.-G. Hagmann
Institution/en: Karlsruhe
Serie zuletzt geändert am: 11.10.2011
Bei der Befundung von hämatologischen und zytologischen Präparaten muss man immer mit der Möglichkeit von Artefakten rechnen. Diese können aus dem gewonnenen Material selbst stammen, wenn Zellen so verunstaltet oder zerstört werden, dass sie andere Zellen vortäuschen. Des Weiteren kann es sich um Färbeartefakte handeln, wobei Unter- und Überfärbung sowie partielle Färbung vorkommen können, darüberhinaus Partikelablage der Farblösung ("Färbungsschmutz"). Färbeartefakte können auch mit Fixierungsfehlern im Zusammenhang stehen. Eine weitere Möglichkeit ist die Verschleppung von Zellen in das zu befundende Präparat, wobei solche Zellen von anderen Präparaten, aber auch von den bearbeitenden Personen stammen können. Schließlich kommt es vor, dass Bakterien in Präparate eingeschleppt werden oder sich darin vermehren, auch kleine Insekten oder deren Kot können Artefakte hervorrufen.
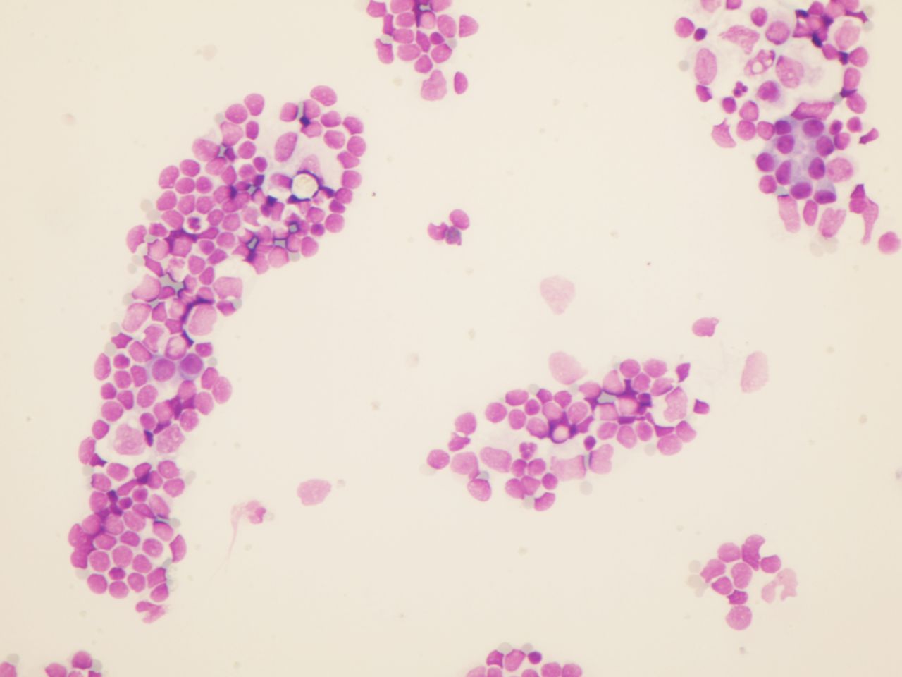
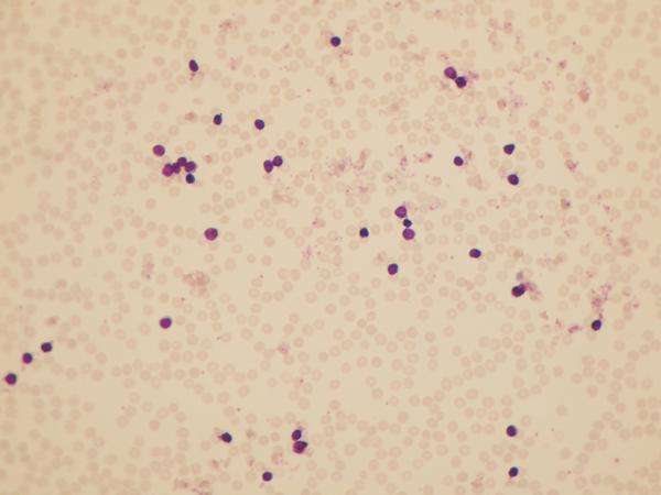
Beschreibung/Beurteilung der Bildserie: In diesem Blutausstrich (Abb. 1-7) finden sich in den blau eingekreisten Arealen an umschriebener Stelle vermehrt Lymphozyten (Abb. 3-7), die zum Teil aneinander liegen. Das steht in völligem Gegensatz zu der Leukozytenzahl, sowie der Lymphozytenhäufigkeit und -verteilung im übrigen Ausstrich. Auch von der maschinell gemessenen Leukozytenzahl mit einem sehr geringen Lymphozytenanteil war das nicht plausibel. Die Erklärung gibt das Präparat mit der nächsten fortlaufenden Nummer, das im Färbebad bei der automatischen Färbung direkt daneben gestanden hat (Abb. 8-10). Es handelt sich um das Zytozentrifugenpräparat eines lymphozytenreichen Pleuraergusses. Von diesem Präparat sind Zellen abgeschwemmt worden und haben sich auf dem Blutausstrich festgesetzt. Der Blutausstrich ist sehr arm an Leukozyten und man findet nur wenige Lymphozyten. Diese liegen zwischen den Erythrozyten. Im Gegensatz dazu überlagern die verschleppten Lymphozyten häufig die Erythrozyten und sie weisen auch Formveränderungen auf, die durch die Zytozentrifuge verursacht sind.
Literaturreferenzen:
-
Hayhoe FGJ, Flemans RJ. A colour atlas of haematological cytology. Second edition. Wolfe Medical Publications Ltd. London 1982
-
Diagnostica Merck (Hrsg.). Hämatologische Labormethoden. GIT Verlag Ernst Giebeler, E. Merck, Darmstadt 1982
-
Kapff CT, Jandl JH. Le sang - atlas commenté d’hématologie. Médicine et Sciences Internationales, Paris 1982
-
McDonald GA, et al. Atlas der Hämatologie. 3. Auflage. Georg Thieme Verlag, Stuttgart, 1979
[DNB]
-
Bain BJ. Interactive haematology imagebank with self assessment. CD-ROM. Blackwell Sciences, Oxford 1999
-
Undritz E. Hämatologische Tafeln Sandoz. Zweite Auflage. Sandoz AG.Basel 1972.
[DNB]
-
Woermann U, Montadon M, Tobler A. HemoSurf - ein interaktiver Hämatologie-Atlas. Abteilung für Unterrichtsmedien der Universität. Bern 2004. [Demo-Version: http://e-learning.studmed.unibe.ch/hemosurf_demo/deutsch.htm]
|

Zum Seitenanfang
Sitemap
|
|
|
AgglutinateArte?-Fakt? - Artefakte mikroskopischer Präparate Sysmex Kalender 2007 [ Mehr] Arte?-Fakt? - Artefakte mikroskopischer Präparate Sysmex Kalender 2007 [ Mehr]
|
|