zum ONKODIN-Projekt   Deutsches MDS-Forum 2010  |  Links  |  Kontakt  |  Impressum  |  English Content English Content  
Inhaltsverzeichnis (navigierbar)Sitemap  
Methoden
Fehler bei der Herstellung von Ausstrichen
Artefakte nach Langzeitlagerung von Knochenmarkpräparaten
Lymphozytenverunreinigung im Blutausstrich
Plattenepithel im Blutausstrich
Schlechter Knochenmarkausstrich


Plattenepithel im Blutausstrich

Plattenepithel kann als Artefakt im Blutausstrich gefunden werden, wenn der Ausstrich angehustet oder angespuckt wurde (häufigste Ursache). Das ist bei dem ersten Präparat der Fall (Abb. 1, 2, 3 a-c). Um die Epithelzellen hat das begleitende Sekret das Blut hämolysiert. Bei gleichzeitiger Färbung von organzytologischen und hämatologischen Präparaten im Färbeautomaten können selten auch blutfremde Zellen auf einen Blutausstrich verschleppt werden.

Beim zweiten Präparat (Abb. 4 a-c und 5 a, b) findet sich keine Hämolyse um die Plattenepithelien, die Herkunft bleibt unklar, sicher aber handelt es sich um einen Artefakt.





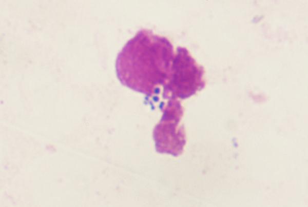
Abb. 1: In einem Blutausstrich findet sich ein rundes wie ausgestanzt wirkendes Areal, in dem die typische Struktur von Blut nicht erkennbar ist, es sind kantig begrenzte Zellen darin erkennbar sowie Kernreste (Objektiv 4x).





Abb. 2: Bei stärkerer Vergrößerung zeigt sich, dass die Erythrozyten in diesem Bereich lysiert sind, des Weiteren finden sich drei Plattenepithelzellen und Kernreste von Granulozyten (Objektiv 20x).





Abb. 3a: Typische Plattenepithelzelle, wie man sie im Sputum und in Mundabstrichen findet mit (relativ zur Zellgöße) kleinem Kern und weitem Zytoplasma. Unten aufgelagerter pyknotischer Granulozytenkern (Objektiv 100x Öl).





Abb. 3b: Typisch ist auch die Beladung mit anhaftenden Bakterien (Objektiv 100x Öl).





Abb. 3c: Das reichliche Vorkommen von Granulozytenkernen in diesem Bereich spricht gegen deren Herkunft aus dem Blutausstrich, in dem Granulozyten viel seltener sind. Typisch ist auch, dass einige von ihnen in den am Kern haftenden Zytoplasmaresten Bakterien enthalten (Obkjektiv 100x Öl, Detailvergrößerung).





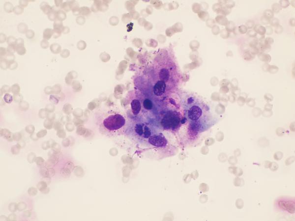
Abb. 4a: Plattenepithelzelle in einem Blutausstrich (Objektiv 40x).





Abb. 4b: Stärkere Vergrößerung (Objektiv 100x Öl). Oberhalb des Kernes eine Kernabsprengung im Zytoplasma. Links davon adhärent eine kleinere Zelle mit auffälliger Kernveränderung. Die nicht dem Blut zugehörigen Zellen müssen als Artefakte erkannt werden, diagnostische Rückschlüsse sind wegen der degenerativen Veränderungen dieser Zellen nicht zulässig. Fehldiagnosen wie "Verdacht auf Tumorzellen im Blut" sollten unterbleiben. Tatsächliche im Blut befindliche Tumorzellen bei Patienten mit malignen Tumoren werden nur äußerst selten und unter Zuhilfenahme spezieller Techniken nachgewiesen. Bezüglich gelegentlichen Vorkommens von Endothelzellen im Blut siehe dort.





Abb. 4c: Verband von Plattenepithelien mit unterschiedlicher Kerngröße im gleichen Ausstrich (Objektiv 40x).





Abb. 5a: Polygonal begrenzte durchsichtige, stellenweise "zerknittert" wirkende Plattenepithelzelle mit (relativ) kleinem kondensierten Kern (Objektiv 40x). Auch der links oben liegende nackte Kern stammt nicht von einer Zelle aus dem Blut.





Abb. 5b: Weitere Plattenepithelzelle mit aufgelagerten Lymphozyten (Objektiv 40x).




Literaturreferenzen:
  • Undritz E. Hämatologische Tafeln.2. Auflage. Sandoz AG.Basel, 1972.
    [DNB]
  • Hayhoe FGJ, Flemans RJ. A colour atlas of haematological cytology. Second Edition. Wolfe Medical Publications Ltd. London 1982. PMID:21043707
  • Leonhardt P. Atlas der praktischen klinischen Zytodiagnostik bei Erkrankungen im Thoraxbereich. Johann Ambrosius Barth. Leipzig 1977
    [DNB]
  • Henning N, Witte S. Atlas der gastroenterologischen Zytodiagnostik. 2 Auflage. Georg Thieme Verlag. Stuttgart 1968.
    [DNB]
  • Medici TC. Sputum unter dem Mikroskop. ROCOM - Diasammlungen für den Arzt. Zürich 1979.
    [DNB]

    Nach oben zum Seitenanfang Zum Seitenanfang                                                                                  Inhaltsverzeichnis (navigierbar) Sitemap  |  Druckversion des Dokuments  |  E-Mail-Versand  
 
Interner Link
Seltene Zellen
Arte?-Fakt? - Artefakte mikroskopischer Präparate
Sysmex Kalender 2007 [Mehr]
Interner Link
Agglutinate
Arte?-Fakt? - Artefakte mikroskopischer Präparate
Sysmex Kalender 2007 [Mehr]
Interner Link
Arte?-Fakt? - Artefakte mikroskopischer Präparate
Sysmex Kalender 2007 [Mehr]