zum ONKODIN-Projekt   Deutsches MDS-Forum 2010  |  Links  |  Kontakt  |  Impressum  |  English Content English Content  
Inhaltsverzeichnis (navigierbar)Sitemap  
Zellen des Blutes bzw. in Blutpräparaten
Granulozyten
Basophile Granulozyten
Eosinophile Granulozyten
Neutrophile Granulozyten


Normale basophile Granulozyten

Die folgenden Abbildungen zeigen normale basophile Granulozyten im Blutausstrich. Diese sind im Allgemeinen mit einem Durchmesser von 9-10 µm etwas kleiner als eosinophile und neutrophile Granulozyten. In den Basophilen sieht man den Kern überlagernde kräftige Granula von dunkelblauer bis dunkelvioletter Farbe. Diese sind durchschnittlich kleiner als beim Eosinophilen. Daneben können auch degranulierte schwach gefärbte oder nicht farbige Granula sichtbar sein.
Eine Degranulation kann physiologisch-funktionell auftreten (z.B. bei akuten Allergien oder postprandial) oder artefiziell aufgrund einer leichten Wasserlöslichkeit. Eine pathologische Hypogranulation kann ebenfalls beobachtet werden (z.B. bei Myelodysplasie). Der Kern ist unter den Granula meistens kaum erkennbar. Häufig wirkt er kompakt. Eine Segmentierung, wenn erkennbar, erscheint häufig unübersichtlich. Die Vermehrung der Basophilen wird als Basophilie bezeichnet.

Funktion: Beteiligung bei IgE-vermittelten Überempfindlichkeitsreaktionen vom Soforttyp (Typ I Reaktion nach Coombs und Gell) durch Freisetzung biologisch wirksamer Mediatoren bei Degranulation.
Kennzeichen: basophile Spezialgranulation, Unterschiedlichkeit der Granulagröße (0,5-1,5 µm), Unterschiedlichkeit der Dichte der Granulation, Wasserlöslichkeit der Granulation kann zu Auswascheffekten (s.o.) bei ungenügender Fixierung führen.





Normaler basophiler Granulozyt, Kern überlagert (Objektiv 63x Öl).





Normaler basophiler Granulozyt, Zytoplasma vollgepackt mit kräftigen basophilen Granula, Kern daher nicht erkennbar (Objektiv 63x Öl).





Normaler basophiler Granulozyt, Zytoplasma vollgepackt mit kräftigen basophilen Granula, Kern daher nicht erkennbar (Objektiv 63x Öl). Auf der rechten Seite ist das Zytoplasma am Rand an einer Stelle degranuliert, so dass hier die komplett entleerten Granula wie Vakuolen erscheinen.





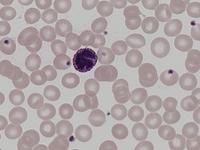
Normaler basophiler Granulozyt mit mittelstarker Granulation, vermutlich mit drei Kernsegmenten (Objektiv 63x Öl).





Normaler basophiler Granulozyt mit wenig ausgeprägter Granulation, mehr diffus degranuliert, zwei oder drei Kernsegmente (Objektiv 63x Öl).





Normaler basophiler Granulozyt mit mittelstarker Granulation, vermutlich mit zwei Kernsegmenten (Objektiv 63x Öl; digitale Darstellung in Relation etwas größer).




Ausschnittsvergrößerung



Normaler basophiler Granulozyt (links) und Monozyt. Der Basophile hat wahrscheinlich zwei Kernsegmente. Die Granula überlagern z.T. auch die Zellaußenkontur oder drücken diese heraus.




Literaturreferenzen:
  • Bain B, Huhn D. Roche Grundkurs Hämatologische Morphologie. Blackwell Wissenschafts-Verlag, Berlin - Wien 1997
    [DNB]
  • Boll I. Heller S. (Hrsg.) Praktische Blutzelldiagnostik. Springer-Verlag, Berlin, Heidelberg 1991
    [DNB]

    Nach oben zum Seitenanfang Zum Seitenanfang                                                                                  Inhaltsverzeichnis (navigierbar) Sitemap  |  Druckversion des Dokuments  |  E-Mail-Versand  
 
Interner Link
Referenz-Scattergramme des Blutbildes. Der Sysmex Kalender 2008 [Mehr]