|
|
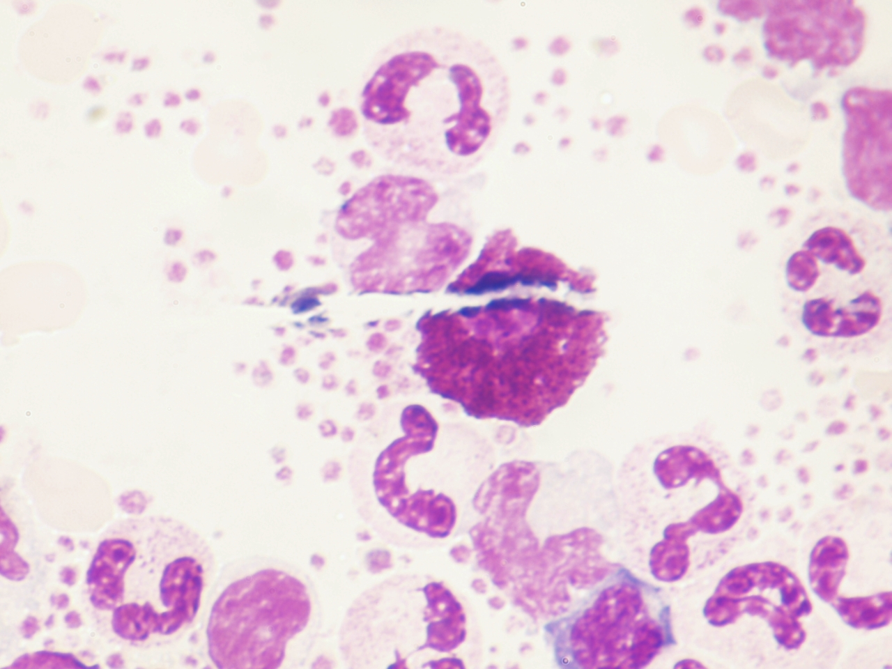
Gewebsbasophiler im Blut
Mastzelle bzw. Gewebsmastzelle
Autor/en: F.-G. Hagmann
Institution/en: Westpfalz-Klinikum, Kaiserslautern
Serie zuletzt geändert am: 19.01.2011
Das Vorkommen von Gewebsmastzellen im Blut ist offensichtlich eine extreme Rarität; in der gängigen hämatologischen Literatur (Lehrbücher, Handbücher, Atlanten) gibt es kaum Hinweise, eine Internetsuche ergab lediglich einen Treffer aus der Veterinärmedizin. Nach etwa 15-jähriger mikroskopischer Tätigkeit mit einem Aufkommen von etwa 1000 Blutausstrichen und Blutpräparaten pro Jahr wurde einmal ein Gewebsbasophiler im Blut gefunden, in einem mit der Zytozentrifuge hergestellten Leukozytenkonzentrat. Undritz hat auf diese Möglichkeit hingewiesen. Bei noch steigender Frequenz der Untersuchung von Blutpräparaten wurde in den folgenden 10 Jahren keine Gewebsmastzelle mehr gefunden.
Bei diesem Patienten handelte es sich um eine Blutbildkontrolle im Rahmen einer nicht hämatologischen Erkrankung, insbesondere bestand kein Hinweis auf eine Mastozytose. Mastzellen sollen am häufigsten in der Adventitia kleiner Gefäße vorkommen. Ob eine Verschleppung einer einzelnen Mastzelle bei der Punktion und Blutentnahme möglich ist, darüber kann man spekulieren.
Die Linie der Mastzellen und Basophilen wird als unterschiedlich angesehen. Im späten Stadium der Entwicklung werden Mastzellen beeinflusst von IL-3 und SCF ("stem cell factor"); demgegenüber werden Basophile reguliert von IL-10, IL-3 und IL-4.
Im biologischen Verhalten von Mastzellen und Basophilen gibt es deutliche Unterschiede (Lebensdauer, Proliferations- und Migrationsverhalten, Zelladhäsionsstrukturen, Immunphänotypisierung und Biochemie).
Literaturreferenzen:
-
Garrett LD et al. Evaluation of buffy coat smears for circulating mast cells in healthy cats and ill cats without mast cell tumor-related disease. J Am Vet Med Assoc 2007;231:1685-1687. PMID:18052803
[Medline]
-
Parker RI, Metcalfe DD. Basophils, mast cells and systemic mastocytosis. In: Hoffmann R et al: Hematology - basic principles and practice, 3rd Edition. Churchill Livingstone, New York 2000.
-
Galli SJ, Hammel I. Mast cell and basophil development. Curr Opin Hematol 1994;1:33-39. PMID:9371257
[Medline]
-
Bucher O. Cytologie, Histologie und mikroskopische Anatomie des Menschen, 8. Auflage. Medizinischer Verlag Hans Huber, Bern 1973.
[DNB]
-
Undritz E. Hämatologische Tafeln Sandoz, Zweite Auflage. Sandoz AG, Basel 1972.
[DNB]
|

Zum Seitenanfang
Sitemap
|
|
|
Referenz-Scattergramme des Blutbildes. Der Sysmex Kalender 2008 [ Mehr]
|
|