zum ONKODIN-Projekt   Deutsches MDS-Forum 2010  |  Links  |  Kontakt  |  Impressum  |  English Content English Content  
Inhaltsverzeichnis (navigierbar)Sitemap  
Maligne Lymphome
DLBCL
83-jährige Frau
64-jährige Frau
77-jährige Frau
66-jährige Frau
64-jähriger Mann


77-jährige Frau mit DLBCL, zytologisch zentroblastisches Lymphom


Vorkommen: 77-jährige Patientin mit Lymhknotenschwellungen. Zytologisch im Feinnadelpunktat Diagnose eines hochmalignen, wohl zentroblastischen Lymphoms, histologisch DLBCL.

Beschreibung/Beurteilung der Bildserie: Einförmiges Bild mit sehr vielen mittelgroßen Blasten mit spärlichem Zytoplasma. Einige Kerntrümmermakrophagen, sehr viele Zytoplasmafragmente im Hintergrund.




Hochmalignes Lymphom, wohl zentroblastisch


Erstelldatum: 19.12.2006
Art: Zytologie
Material: Lymphknoten
Färbung: panoptisch

Zellreiches, einförmiges Bild mit sehr vielen mittelgroßen Blasten. Etwas Blut und sehr viele Zytoplasmafragmente im Hintergrund.

(Mikroskopische Objektivvergrößerung X40)




Blasten eines zentroblastischen Lymphoms


Erstelldatum: 19.12.2006
Art: Zytologie
Material: Lymphknoten
Färbung: panoptisch

Blasten mit schmalem Zytoplasma. Rechts zwei kleine, unauffällige Lymphozyten. Zytoplasmafragmente im Hintergrund. Einige freiliegende Kerne untergegangener Zellen.

(Mikroskopische Objektivvergrößerung X100)




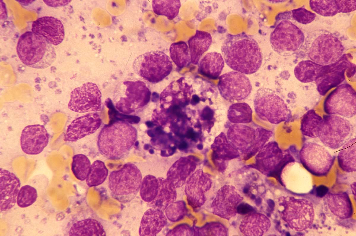
Kerntrümmermakrophage bei Lymphom


Erstelldatum: 19.12.2006
Art: Zytologie
Material: Lymphknoten
Färbung: panoptisch

In der Mitte großer Kerntrümmermakrophage. In der Umgebung mehrere Blasten mit feinem Chromatin und spärlichem Zytoplasma.

(Mikroskopische Objektivvergrößerung X100)




Mitosefigur bei Lymphom


Erstelldatum: 19.12.2006
Art: Zytologie
Material: Lymphknoten
Färbung: panoptisch

In der Mitte Mitosefigur. In der Umgebung Blasten mit feinem, hellen Chromatin und schmalem Zytoplasma.

(Mikroskopische Objektivvergrößerung X100)




    Nach oben zum Seitenanfang Zum Seitenanfang                                                                                  Inhaltsverzeichnis (navigierbar) Sitemap  |  Druckversion des Dokuments  |  E-Mail-Versand