zum ONKODIN-Projekt   Deutsches MDS-Forum 2010  |  Links  |  Kontakt  |  Impressum  |  English Content English Content  
Inhaltsverzeichnis (navigierbar)Sitemap  
Maligne Lymphome
DLBCL
83-jährige Frau
64-jährige Frau
77-jährige Frau
66-jährige Frau
64-jähriger Mann


66-jährige Frau mit immunoblastischem Lymphom


Vorkommen: 66jährige Patientin mit ausgedehnten Lymphknotenschwellungen zervikal, mediastinal und inguinal, die notfallmäßig mit einer oberen Einflußstauung aufgenommen wurde. Anhand der Feinnadelpunktionsausstriche eines supraclavikulären Lymphknotens wurde die Diagnose gestellt. Wenige Stunden nach Gabe von Prednisolon i.v. waren die tastbaren Lymphknoten weitgehend eingeschmolzen. Eine histologische Sicherung der Diangose konnte daher nicht erfolgen. Der beschriebene Befund ist typisch für ein immunoblastisches Lymphom nach Kiel-Klassifikation. - Nach mehreren Kursen CHOP komplette Remission, die jedoch nur wenige Monate anhielt, dann Rezidiv, das therapierefraktär war.

Beschreibung/Beurteilung der Bildserie: Zellreiche Punktionsausstriche, einförmiges Bild mit vielen großen Blasten. Die Blasten weisen einen großen Kern mit mittelständigem Nukleolus und basophiles Zytoplasma auf. Zerstrichenes Zytoplasma im Hintergrund.




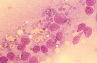
Immunoblastisches Lymphom


Erstelldatum: 21.12.2006
Art: Zytologie
Material: Lymphknoten
Färbung: panoptisch

Zahlreiche große Blasten mit prominentem, mittelständigen Nukleolus. Im Hintergrund sehr viel zerstrichenes, basophiles Zytoplasma.

(Mikroskopische Objektivvergrößerung X40)




Immunoblastisches Lymphom - Detail


Erstelldatum: 21.12.2006
Art: Zytologie
Material: Lymphknoten
Färbung: panoptisch

In Bildmitte sehr großer Blast mit betontem Nukleolus. Relativ weites, basophil angefärbtes Zytoplasma. Darüber eine Mitosefigur. Einige untergehende Kerne. Sehr viel bläuliches Zytoplasma zerstrichener Zellen im Hintergrund.

(Mikroskopische Objektivvergrößerung X100)




Atypische Immunoblasten


Erstelldatum: 21.12.2006
Art: Zytologie
Material: Lymphknoten
Färbung: panoptisch

Große Blasten mit großen Nukleolen und basophilem Zytoplasma.

(Mikroskopische Objektivvergrößerung X100)




Blasten und Zytoplasmafragmente


Erstelldatum: 21.12.2006
Art: Zytologie
Material: Lymphknoten
Färbung: panoptisch

Blasten mit großen Nukleolen. Im Hintergrund bläulich angefärbte Zytoplasmafragmente.

(Mikroskopische Objektivvergrößerung X100)




    Nach oben zum Seitenanfang Zum Seitenanfang                                                                                  Inhaltsverzeichnis (navigierbar) Sitemap  |  Druckversion des Dokuments  |  E-Mail-Versand