zum ONKODIN-Projekt   Deutsches MDS-Forum 2010  |  Links  |  Kontakt  |  Impressum  |  English Content English Content  
Inhaltsverzeichnis (navigierbar)Sitemap  
AML ohne weitere Kategorie (WHO)
Akute Eosinophilenleukämie
Blutausstrich
Knochenmark
Zytochemie


Akute Eosinophilenleukämie: Blutausstrich


Beschreibung/Beurteilung der Bildserie: Es findet sich eine Hyperleukozytose. Wenige neutrophile Granulozyten, die z.T. dysplastisch sind. Einige unauffällige Lymphozyten. Es dominieren atypische eosinophile Promyelozyten und Myelozyten, wenig Blasten. Leichte Anisozytose der Erythrozyten. Thrombozyten reduziert, morphologisch unauffällig.




Art: Zytologie
Material: Blut
Färbung: panoptisch

Beschreibung: Übersicht. Stark gesteigerte Leukozytendichte mit Vermehrung mittelgroßer mononukleärer Zellen.




Art: Zytologie
Material: Blut
Färbung: panoptisch

Beschreibung: Es handelt sich ganz überwiegend um Myelozyten. Die Mehrzahl der Zellen weist eine eosinophile Differenzierung auf.




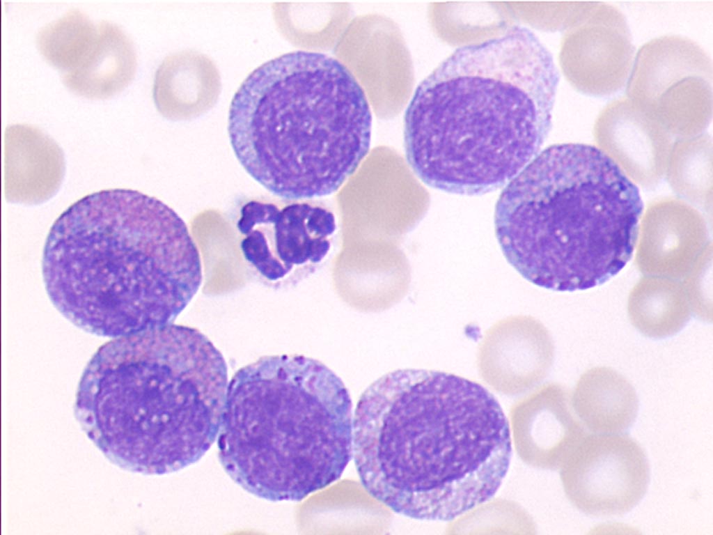
Art: Zytologie
Material: Blut
Färbung: panoptisch

Beschreibung: Drei eosinophile Myelozyten, ein Promyelozyt mit einigen atypischen, groben Granula. Bei den anderen Zellen handelt es sich um Übergangsformen vom Promyelozyten zum Myelozyten.




Art: Zytologie
Material: Blut
Färbung: panoptisch

Beschreibung: Immer wieder sind Zellen zu sehen, die pathologische basophile Granula enthalten.




Art: Zytologie
Material: Blut
Färbung: panoptisch

Beschreibung: Unten im Bild ein dysplastischer Metamyelozyt, oben zwei Promyelozyten mit pathologischer Granula.




    Nach oben zum Seitenanfang Zum Seitenanfang                                                                                  Inhaltsverzeichnis (navigierbar) Sitemap  |  Druckversion des Dokuments  |  E-Mail-Versand  
 
"Akute myeloische Leukämie - Pathophysiologie, Diagnostik, Therapie, Prognose" publiziert bei ONKODIN in Kooperation mit "Deutscher Ärzte-Verlag"
(Publikation als Buch)
Deutscher Ärzte-Verlag  Deutscher Ärzte-Verlag
und in Kooperation mit "Studien-Allianz Leukämie"
Deutscher Ärzte-Verlag  Studien-Allianz Leukämien
[Mehr]
Interner Link
Der Hämatologische Notfall. Sysmex Kalender 2008 [Mehr]