zum ONKODIN-Projekt   Deutsches MDS-Forum 2010  |  Links  |  Kontakt  |  Impressum  |  English Content English Content  
Inhaltsverzeichnis (navigierbar)Sitemap  
AML ohne weitere Kategorie (WHO)
Akute Eosinophilenleukämie
Blutausstrich
Knochenmark
Zytochemie


Akute Eosinophilenleukämie: Knochenmark


Beschreibung/Beurteilung der Bildserie: Im Knochenmark fehlt die normale neutrophile Granulozytopoese vollständig. Die Erythropoese ist reduziert, die Ausreifung erfolgt normal. Viel Speichereisen, keine pathologischen Sideroblasten. Einige unauffällige Megakaryozyten. Einige Plasmazellen, etwas vermehrt kleine Lymphozyten. In sämtlichen Präparateabschnitten dominieren atypische eosinophile Vorstufen wie im peripheren Blut.




Art: Zytologie
Material: Knochenmark
Färbung: panoptisch

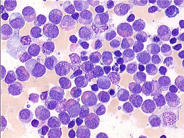
Beschreibung: Übersicht. Die Zelldichte ist stark gesteigert (CALGB 4+). Das Zellbild ist monomorph, wobei mittelgroße mononukleäre Zellen dominieren. Zwei Megakaryozyten.




Art: Zytologie
Material: Knochenmark
Färbung: panoptisch

Beschreibung: Starke Vermehrung Eosinophiler, die nur bis zum Myelozyten ausreifen. Kleine Lymphozyten sind ebenfalls vermehrt. Die Erythropoese ist deutlich vermindert.




Art: Zytologie
Material: Knochenmark
Färbung: panoptisch

Beschreibung: Auch die neutrophile Reihe reift nicht normal aus. In diesem Ausschnitt sind nur wenige Stabkernige oder Segmentkernige zu erkennen.




Art: Zytologie
Material: Knochenmark
Färbung: panoptisch

Beschreibung: Die Erythropoese ist stark hypoplastisch. Ausreifende Zellen der Granulopoese sind ebenfalls vorhanden. Auch hier sind Lymphozyten vermehrt.




Art: Zytologie
Material: Knochenmark
Färbung: panoptisch

Beschreibung: Das Kernchromatin dieser Zellen ist nicht blastentypisch fein, Nukleolen sind nicht zu sehen. Ein Teil der Zellen enthält neben eosinophilen auch grobe azurophile und einzelne basophile Granula.




    Nach oben zum Seitenanfang Zum Seitenanfang                                                                                  Inhaltsverzeichnis (navigierbar) Sitemap  |  Druckversion des Dokuments  |  E-Mail-Versand  
 
"Akute myeloische Leukämie - Pathophysiologie, Diagnostik, Therapie, Prognose" publiziert bei ONKODIN in Kooperation mit "Deutscher Ärzte-Verlag"
(Publikation als Buch)
Deutscher Ärzte-Verlag  Deutscher Ärzte-Verlag
und in Kooperation mit "Studien-Allianz Leukämie"
Deutscher Ärzte-Verlag  Studien-Allianz Leukämien
[Mehr]
Interner Link
Der Hämatologische Notfall. Sysmex Kalender 2008 [Mehr]