zum ONKODIN-Projekt   Deutsches MDS-Forum 2010  |  Links  |  Kontakt  |  Impressum  |  English Content English Content  
Inhaltsverzeichnis (navigierbar)Sitemap  
Myeloproliferative Neoplasien
Essentielle Thrombozythämie
Essentielle Thrombozythämie - Abb.


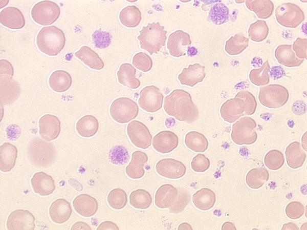
Essentielle Thrombozythämie (ET) - Abbildung




Art: Zytologie
Material: Blut
Färbung: panoptisch

Erhöhte Thrombozytenzahl bei auffälligster Morphologie




    Nach oben zum Seitenanfang Zum Seitenanfang                                                                                  Inhaltsverzeichnis (navigierbar) Sitemap  |  Druckversion des Dokuments  |  E-Mail-Versand  
 
Interner Link
Thrombozyten (Riesenthrom- bozyt., Anisozytose, Artefakt).
Arte?-Fakt? - Artefakte mikroskopischer Präparate
Sysmex Kalender 2007 [Mehr]
Interner Link
Der Hämatologische Notfall. Sysmex Kalender 2008 [Mehr]