zum ONKODIN-Projekt   Deutsches MDS-Forum 2010  |  Links  |  Kontakt  |  Impressum  |  English Content English Content  
Inhaltsverzeichnis (navigierbar)Sitemap  
Maligne Lymphome
Non-Hodgkin-Lymphome
Follikuläres Lymphom
Haarzell-Leukämie
Mantelzell-Lymphom, blastoide Variante
NHL - Bildserie


Non-Hodgkin-Lymphom - Zentroblast, Zentrozyt




Zentroblastisches NHL


Material: Blut
Färbung: panoptisch

Zentroblast




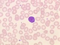
Zentrozytisches NHL


Material: Blut
Färbung: panoptisch

Zentrozyt (cleaved cell)




    Nach oben zum Seitenanfang Zum Seitenanfang                                                                                  Inhaltsverzeichnis (navigierbar) Sitemap  |  Druckversion des Dokuments  |  E-Mail-Versand  
 
Interner Link
Der Hämatologische Notfall. Sysmex Kalender 2008 [Mehr]