zum ONKODIN-Projekt   Deutsches MDS-Forum 2010  |  Links  |  Kontakt  |  Impressum  |  English Content English Content  
Inhaltsverzeichnis (navigierbar)Sitemap  
Lymphozyten und Lymphomzellen
Artefakte
Agglutination von Lymphomzellen


Agglutination von Lymphomzellen

Außer Erythrozyten, Thrombozyten und Neutrophilen können selten auch andere Zellen im Blut Agglutinate bilden.
Beim ersten Präparat handelt es sich um ein leukämisch verlaufendes indolentes Lymphom (Abb. 1-6). Die Lymphomzellen liegen z.T. zusammengelagert (bis zu 5 Zellen). Diese Form der Spontanagglutination (wenngleich man nach Antikoagulation und Ausstreichen eigentlich nicht mehr von einem spontanen Phänomen sprechen darf) ist äußerst selten. Über die Agglutination von Lymphomzellen in vitro gibt es Untersuchungen, wobei CLL-Zellen in verschiedenen Modellen eine stärkere Agglutinationsneigung als normale Lymphozyten aufwiesen. Auch über EDTA-induzierte Agglutination von Zellen maligner Lymphome und bei chronisch lymphatischer Leukämie wurde berichtet.

Der zweite Blutausstrich stammt von einer zu diesem Zeitpunkt 75-jährigen Patientin mit einem leukämisch verlaufenden Lymphom (Abb. 7-16). Der Ausstrich (1982) fand sich beim Aufarbeiten von archivierten Präparaten. Kernschatten kommen nicht vor, was eher gegen eine CLL spricht. Der damalige hiesige zytologische Knochenmarks-Befund spricht nur von einem Lymphom ohne nähere Spezifizierung. Bei einem besonders auf Lymphome spezialisierten Hämatomorphologen wurde das zugehörige Knochenmarkpräparat damals konsiliarisch befundet: "Knochenmark mit auffälliger lymphoider Zellinfiltration. Hiernach ist am Vorliegen eines beginnenden kleinzelligen Lymphoms kaum ein Zweifel möglich; es handelt sich dabei morphologisch weniger um die typische chronische Lymphadenose als um ein lymphoplasmozytoides Immunozytom (obwohl hier die morphologische Differentialdiagnose keine volle Stringenz besitzt)." Im Blutausstrich wiederum das seltene Phänomen der Agglutination von Lymphomzellen.

Wenn eine nennenswerte, also überschlagsmäßig die Lymphomzellzahl im Blut beeinflussende Agglutination nachgewiesen werden kann, sollte das im morphologischen Befund angesprochen werden. Dann kann versucht werden, das durch Anwendung anderer Antikoagulanzien bei der Abnahme zu vermeiden. Auf jeden Fall sollte dann auch bei Verlaufskontrollen eine Beurteilung im Blutausstrich mitgeführt werden, um eine Korrelation zwischen Lymphomzellzahl und Agglutinationsgrad herzustellen.





Abb. 1: Agglutination von zwei Lymphomzellen im Blutausstrich. Keine weiteren sonst im Blickfeld. Die Zellen sind mit einer relativ gerade verlaufende Seite aneinander gefügt (Objektiv 40x).





Abb. 2: Zwei in ähnlicher Weise agglutinierte Zellen, ein Kernschatten und eine einzeln liegende lymphatische Zelle (Objektiv 40x).





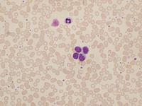
Abb. 3: Agglutination von vier Lymphomzellen (Objektiv 40x).





Abb. 4: Agglutination von fünf Lymphomzellen (Objektiv 40x).





Abb. 5: Agglutination von vier Lymphomzellen (Objektiv 100x Öl).





Abb. 6: Agglutination von drei Lymphomzellen. Diese "kleben" aneinander und verformen sich an den Kanten (Objektiv 100x Öl).





Abb. 7: Übersichtsbild des Blutausstriches eines weiteren Falles von Agglutination von Lymphomzellen im Blut. Die Leukozytendichte ist nicht erheblich. Man sieht Agglutinate von drei und fünf Zellen. Geldrollenbildung der Erythrozyten. Über das Serumeiweißbild dieses historischen Falles (siehe Text) ist nichts bekannt (Objektiv 20x).





Abb. 8: Drei aneinander "klebende" Lymphomzellen mit einem adhärenten Thrombozytenagglutinat. Die frei liegenden Zellen zeigen zum Teil kleinere und größere Zytoplasmaprotuberanzen (Objektiv 40x).





Abb. 9: Agglutinat von zwei Zellen mit kaum erkennbaren Zellgrenzen (Objektiv 100x Öl).





Abb. 10: Zwei Agglutinate zu je zwei Zellen. Das linke zeigt die geradlinige Kontaktstelle (Objektiv 100x Öl).





Abb. 11: Bei diesem Agglutinat ist das Zytoplasma (und auch der Kern) in Richtung der unteren unverformten Zelle ausgezogen (Objektiv 100x Öl).





Abb. 12: Bei diesem Agglutinat sind zum Teil fadenartige Verbindungen erkennbar, andere Kontaktstellen sind größer oder auch undeutlich (Objektiv 100x Öl).





Abb. 13: Lymphomzellen mit Protuberanzen des Zytoplasmas, die Zellgrenzen sind nicht abgrenzbar (Objektiv 100x Öl).





Abb. 14: Deutliche sternförmige Zellgrenzlinien zwischen drei agglutinierten Zellen. Die Darstellung wird durch Retraktion bei Trocknung und Fixierung beeinflusst (Objektiv 100x Öl).





Abb. 15: Agglutinat von drei Zellen. Die Zellgrenzen zwischen zweien sind nicht erkennbar, zur dritten besteht eine Spaltlinie (Objektiv 100x Öl).





Abb. 16: Zwei "zufällig" beieinander liegende Lymphomzellen mit Protuberanzen. Keine Zeichen einer Agglutination (Objektiv 100x Öl).




Literaturreferenzen:
  • Thomson AE, Mehrishi JN. Surface properties of normal human circulating small lymphocytes and lymphocytes in chronic lymphocytic leukaemia: separation, adhesiveness and electrokinetic properties. Eur J Cancer 1969;5:195-206. PMID:5770297
    [Medline]
  • Glimelius B, et al. Lectin agglutinability of non-neoplastic and neoplastic human lymphoid cells in vitro. Int J Cancer 1975;15:888-896. PMID:1150344
    [Medline]
  • Maca RD. Concanavalin A-induced agglutination of human leukemic and lymphoma cells. Cancer Res 1976;36:1218-1221. PMID:1063062
    [Medline]
  • Marikovsky Y, et al. Surface charge characteristics of peripheral blood lymphocytes in chronic lymphatic leukemia and malignant lymphoma. J Natl Cancer Inst 1978;60:741-748. PMID:633385
    [Medline]
  • Lesesve JF, Troussard X. EDTA-dependent lymphoagglutination. Br J Haematol 2001;115:237. PMID:11703315
    [Medline]
  • Lesesve JF, et al. EDTA-dependent lymphoagglutination in a patient with non-Hodgkin lymphoma. Int J Lab Hematol 2007;29:221-224. PMID:17474901
    [Medline]
  • Debourgogne A, et al. Satellitisme plaquettaire et lympho-agglutination exclusivement aux lymphocytes atypiques relevant un lymphome B de la zone marginale. Ann Biol Clin 2007;65:287-290. PMID:17502302
    [Medline]
  • Shelton JB, Frank IN. Splenic B cell lymphoma with lymphocyte clusters in peripheral blood smears. J Clin Pathol 2000;53:228-230. PMID:10823144
    [Medline]
  • Wenburg JJ, Go, R.S. EDTA dependent lymphocyte clumping. Haematologica 2003;88:EIM09. PMID:12935989
    [Medline]

    Nach oben zum Seitenanfang Zum Seitenanfang                                                                                  Inhaltsverzeichnis (navigierbar) Sitemap  |  Druckversion des Dokuments  |  E-Mail-Versand  
 
Interner Link
Lymphatische Zellen
Arte?-Fakt? - Artefakte mikroskopischer Präparate
Sysmex Kalender 2007 [Mehr]
Interner Link
Zytoplasmaausstülpungen
Arte?-Fakt? - Artefakte mikroskopischer Präparate
Sysmex Kalender 2007 [Mehr]