zum ONKODIN-Projekt   Deutsches MDS-Forum 2010  |  Links  |  Kontakt  |  Impressum  |  English Content English Content  
Inhaltsverzeichnis (navigierbar)Sitemap  
Der Sysmex Scientific Kalender
Sysmex Scientific Kalender 2007
Lymphatische Zellen
Bakterien
Hämolyse
Akanthozyten
Einschlusskörperchen
Agglutinate
Granulozyten
Malaria
Seltene Zellen
Schlieren
Thrombozyten
Zytoplasmaausstülpungen


Arte?-Fakt? - Zytoplasmaausstülpungen - Monatsblatt Dezember 2007

Veränderungen der Form des Zytoplasmas können vielfältige Ursachen haben. Sofern es sich nicht um minimale Zytoplasmaaustülpungen von Lymphozyten handelt, bedürfen sie in jedem Fall einer diagnostischen Abklärung.





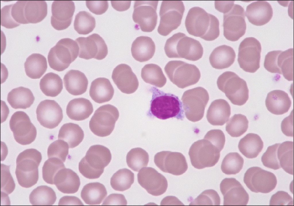
Zytoplasmaausstülpungen eines Lymphozyten im Blut einer Normalperson. (Solche Ausstülpungen findet man zwar gehäuft bei Infektionen, im Gegensatz zu echten "Reizformen" haben sie jedoch keine diagnostische Bedeutung.)





Zytoplasmaabsprengung bei einem Blasten bei einer akuten lymphatischen Leukämie (ALL). Solche Absprengungen können unter Umständen bei manchen automatischen Hämatologiemesssystemen eine falsch hohe Thrombozytenkonzentration suggerieren.





Dieser "haarige" Lymphozyt stammt von einer Person mit einem fieberhaften Infekt (ohne maligne Erkrankung). Die Granula weisen ihn als T- oder NK-Zelle aus.





Haarzelle bei einer Haarzell-Leukämie. Typisch sind der monozytoide Kern mit lockerem Chromatin und das graublaue, heterogene Zytoplasma. Die haarigen Ausstülpungen können manchmal fehlen.




    Nach oben zum Seitenanfang Zum Seitenanfang                                                                                  Inhaltsverzeichnis (navigierbar) Sitemap  |  Druckversion des Dokuments  |  E-Mail-Versand