zum ONKODIN-Projekt   Deutsches MDS-Forum 2010  |  Links  |  Kontakt  |  Impressum  |  English Content English Content  
Inhaltsverzeichnis (navigierbar)Sitemap  
Blutzellen
Lymphozyten und Lymphomzellen
Artefakte
Pinocchio-Zellen unter Interleukin-2
Virozyt - Abbildung


Pinocchio-Zellen unter Interleukin-2

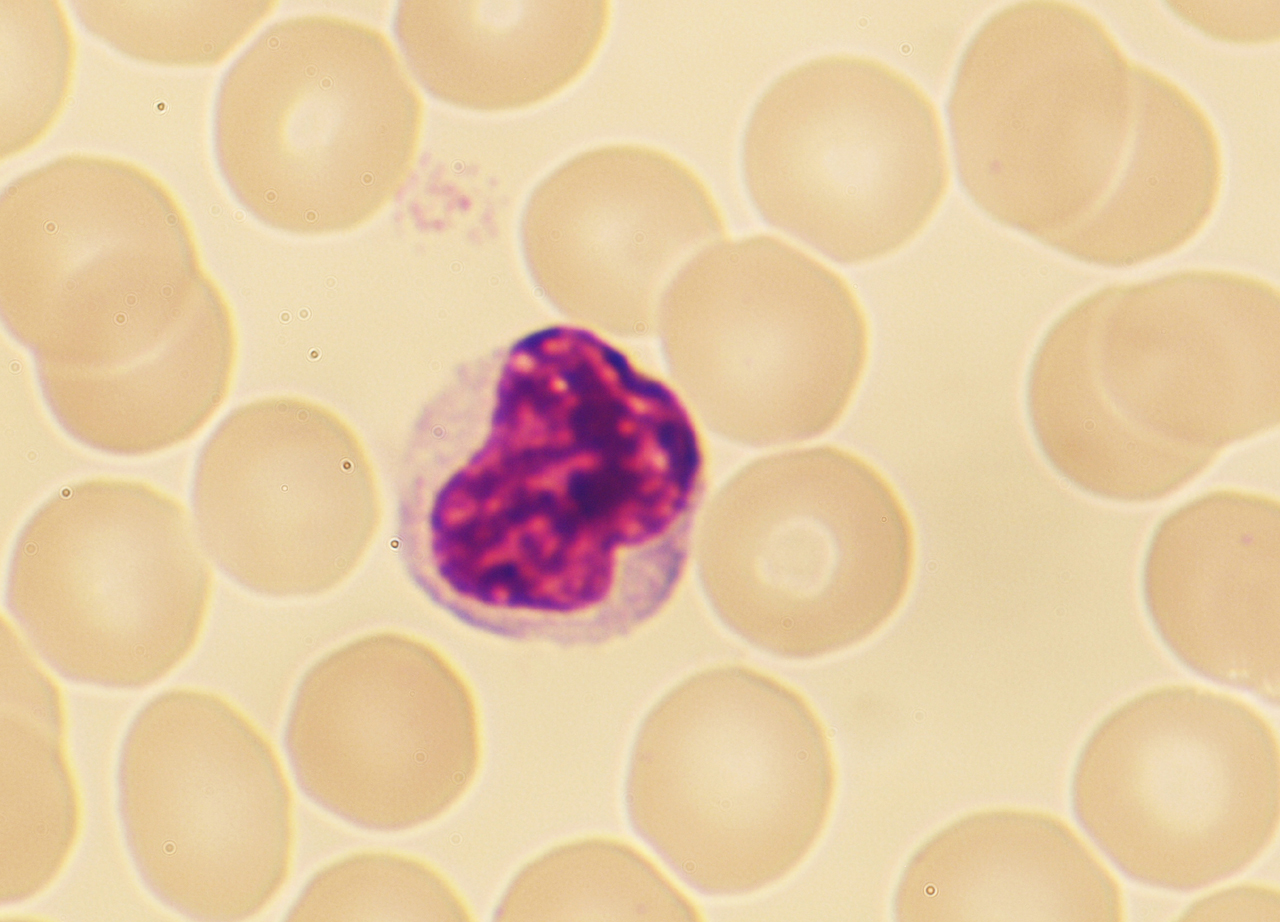
Unter hochdosierter Therapie mit Interleukin-2 in der Onkologie kommen im Blut morphologisch auffällige Lymphozyten zur Beobachtung. Diese zeigen in Zytoplasmafortsätzen (und häufig auch im übrigen Zytoplasma) eine azurophile Granulation. Daher hat man ihnen den obigen Namen gegeben. Die Fortsätze dienen der Bindung von Tumorzellen und der Vermittlung der Zelllyse. Immunphänotypisch handelt es sich um eine T-Zell-Population, CD3 positiv, CD19 gering oder nicht positiv. Die Pinocchio-Zellen sind zytochemisch positiv für saure Phosphatase und α-Naphthylesterase (s.a. "α-Naphthylesterase (ANAE) im Blutausstrich, Darstellung von Varianten"). Das Vorhandensein dieser Zellen steht in Beziehung zu der verabreichten Dosis an Interleukin-2.

Normal sind im Blut 10-20 (4-13)% der Lymphozyten B-Zellen und 80 (50-70)% T-Zellen. Außerdem existieren 0-Zellen. T4+ sind 60% der peripheren T-Lymphozyten, die sogenannte Helfer/-Inducer-Zell-Population. T8+ sind 35% der peripheren T-Lymphozyten, vorwiegend zytotoxische/Suppressor-T-Zellen. Die auch normalerweise gelegentlich unter den Lymphozyten zu findenden größeren mit azurophiler Granulation sind T-Zellen oder NK-Zellen. Auch die 0-Zellen gehören wohl überwiegend in diese Gruppe.





Lymphozyt mit kleinem nasenartigem Zytoplasmafortsatz, in dem sich Granula befinden. Außerdem mindestens zwei kräftige Granula rechts neben dem Kern (Objektiv 100x Öl).





Lymphozyt mit langem rüsselartigem Zytoplasmaausläufer. Außerdem einige unspezifische haarartige Veränderungen unten und rechts an der Zelle (gleiches Objektiv).





Im gleichen Ausstrich finden sich auch Lymphozyten, die keine zytoplasmatischen Besonderheiten zeigen (gleiches Objektiv).





Lymphozyt mit schlägerartigem Fortsatz, die Anheftung an das Zytoplasma eben fadenartig erkennbar. Mehrere Granula im Fortsatz. Es handelt sich nicht um einen adhärenten Thrombozyten (gleiches Objektiv).





Ausgezogener Lymphozyt mit nasenartigem Fortsatz. In der linken Zytoplasmahälfte gleichmäßig relativ feine Granula (gleiches Objektiv).





Sogenannte Blutplasmazelle im selben Ausstrich (gleiches Objektiv).





Kleiner Lymphozyt ohne morphologische Besonderheiten im selben Ausstrich (gleiches Objektiv). Daneben ein kleiner und ein großer Thrombozyt.





Der Lymphozyt zeigt in der "Nase" und im Zytoplasma mehrere Granula (gleiches Objektiv).





Unspezifische Veränderungen im selben Ausstrich, die man gelegentlich auch an Lymphozyten in normalen Blutausstrichen findet (gleiches Objektiv).





Schönes Beispiel einer Pinocchio-Zelle mit deutlichen Granula im Fortsatz und im übrigen Zytoplasma (gleiches Objektiv).




Literaturreferenzen:
  • Rosell R, et al. Descripcion de un nuevo tipo celular, celulas Pinocho, inducido en el curso del tratamiento de tumores solidos con interleucina-2. Med Clin 1990;95:447-50. PMID:2084412
    [Medline]
  • Paciucci PA, et al. Pinocchio cells: morphologically atypical immunologically heterogeneous lymphocytes induced by treatment with interleukin 2. Immunology Letters 1988;19:313-20. PMID:3266613
    [Medline]
  • Rosenberg SA, et al. Biological activity of recombinant human interleukin-2 produced in Escherichia coli. Science 1984;223:1412-4. PMID:6367046
    [Medline]
  • Klein J. Immunologie. VCH Verlagsgesellschaft mbH, Weinheim 1991
    [DNB]

    Nach oben zum Seitenanfang Zum Seitenanfang                                                                                  Inhaltsverzeichnis (navigierbar) Sitemap  |  Druckversion des Dokuments  |  E-Mail-Versand  
 
Interner Link
Lymphatische Zellen
Arte?-Fakt? - Artefakte mikroskopischer Präparate
Sysmex Kalender 2007 [Mehr]
Interner Link
Zytoplasmaausstülpungen
Arte?-Fakt? - Artefakte mikroskopischer Präparate
Sysmex Kalender 2007 [Mehr]