 |
 |
Mononukleäre Phagozyten |
|
|
Mononukleäre Phagozyten im Blut
Autor/en: F.-G. Hagmann
Institution/en: Karlsruhe
Serie zuletzt geändert am: 28.03.2011
Das System der mononukleären Phagozyten umfasst Monoblasten, Promonozyten, Monozyten und Makrophagen. Die Reifung von Monozyten und die Aktivierung von Makrophagen durch Zytokine, Zellen sowie andere Faktoren (z.B. Endotoxine) ist komplex: GM-CSF, M-CSF, IFN-γ, Interleukin-3, Interleukin-6, Lymphozyten, Hormone, Lipopolysaccharide u.a. sind involviert. Makrophagen produzieren ihrerseits wiederum Zytokine.
Phagozytierende Monoblasten können bei AML M5a zur Beobachtung kommen (s.a. Abb. 6.18 "Erythrophagozytose bei akuter Monoblastenleukämie mit Translokation t(8;16)" in: Morphologie (Methoden, Durchführung, Qualitätsstandards). Diagnostik. Akute myeloische Leukämie. Online publiziert bei ONKODIN). Auf den Nachweis sogenannter Monomakrophagen als typisch für das Vorliegen einer Endokarditis lenta wurde hingewiesen. Pigmentiertes Material aus phagozytierten Erregern in Monozyten kann bei Malaria gefunden werden (Abb. 21-23).
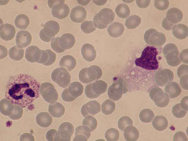
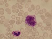
Im Blutausstrich ist die Unterscheidung von Vakuolen und phagozytierten Einschlüssen in Monozyten nicht immer sicher möglich, es sei denn, man findet in der Zelle eindeutig identifizierbare Zellen oder Zellreste vor. Das ist auch nicht von grundlegender diagnostischer Bedeutung. Bei Hämolyse können Monozyten gefunden werden, die Erythrozyten phagozytieren. Im Allgemeinen hat die morphologisch erkennbare Phagozytoseaktivität der Monozyten im Blut nicht die spezifische Bedeutung, die die Erkennung bestimmter Makrophagen im Knochenmark haben kann (z.B. bei Speichererkrankungen oder Hämophagozytosesyndrom). Dennoch sollte man beim Durchmustern eines Blutausstriches auf die Beschaffenheit der normalerweise nicht so häufigen Monozyten achten, da die Phagozytoseaktivität Hinweise auf die Aktivierung des Systems liefert (z.B. bei Infektion, Sepsis oder Autoimmunerkrankung), oder auch einen Eindruck anfallender "Abfallprodukte" vermittelt (z.B. bei Hämolyse).
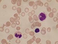
Beschreibung/Beurteilung der Bildserie: Abbildungen 1-3 zeigen zum Vergleich normale Monozyten. (Siehe auch Bildserie "Normale Monozyten".)
Abbildungen 4-20: Monozyten im Blutausstrich bei verschiedenen Krankheitsbildern: Sepsis, Hämolyse, Autoimmunerkrankung. Man sieht, dass die Veränderungen relativ ähnlich sind. Bei genauer Betrachtung kann man oft aber zwischen unspezifischer Vakuolisierung und phagozytiertem Einschluss unterscheiden. Auf mögliche Artefakte wird verwiesen.
Abbildungen 21-23: pigmentiertes Material phagozytierter Erreger bei Malaria tropica.
Literaturreferenzen:
-
Bessis M. Blood smears reinterpreted. Springer-Verlag, Berlin - Heidelberg 1977
[DNB]
-
Stobbe H, Wieland H. Untersuchungen von Blut und Knochenmark. 4. Auflage. Verlag Gesundheit, Berlin 1991
[DNB]
-
van Furth R. Cell biology of human phagocytes. In: van Furth R. Hemopoietic growth factors and mononuclear phagocytosis. Karger, Basel etc. 1993
-
Klein J. Immunologie. VCH Verlagsgesellschaft mbH, Weinheim 1991
[DNB]
-
Hagmann F-G, Kroschinsky F. Diagnostik - Morphologie (Methoden, Durchführung, Qualitätsstandards). In: Ehninger G, Link H, Berdel WE (Hrsg.). Akute myeloische Leukämie: Pathophysiologie, Diagnostik, Therapie, Prognose. In Kooperation mit der Studien-Allianz Leukämie (SAL). Deutscher Ärzte-Verlag, Köln 2008
[DNB]
|

Zum Seitenanfang
Sitemap
|
|
|
"Akute myeloische Leukämie - Pathophysiologie, Diagnostik, Therapie, Prognose" publiziert bei ONKODIN in Kooperation mit "Deutscher Ärzte-Verlag" (Publikation als Buch)
  |
| und in Kooperation mit "Studien-Allianz Leukämie" |
  |
[ Mehr]
|
|