|
|
Normale Monozyten
Autor/en: F.-G. Hagmann, C. Kunz, S. Wong
Institution/en: Westpfalz-Klinikum, Kaiserslautern
Serie zuletzt geändert am: 28.03.2011
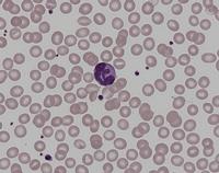
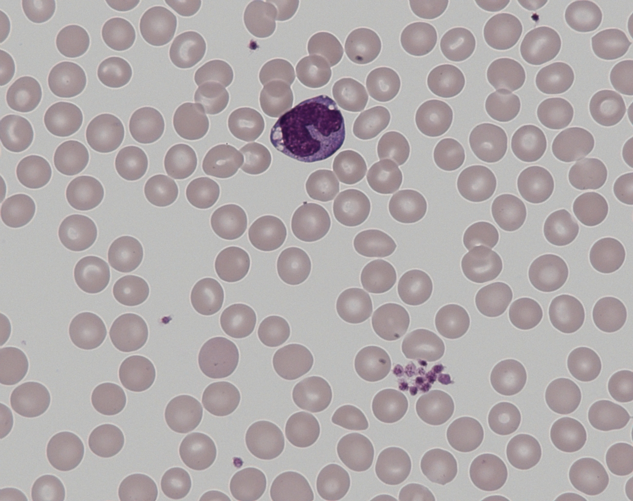
Monozyten sind zu den Leukozyten gehörende 12-20 µm große Zellen und somit die größten Zellen des peripheren Blutes. Sie weisen einen mehr oder minder gelappten manchmal auch nur nierenförmigen Kern auf mit einem lockeren unterschiedlich dichten Chromatingerüst, welches maschenartig wirkt, durchsetzt von Chromatinklümpchen. Der Kern nimmt etwa die Hälfte der Zelle ein. Das Zytoplasma ist grau bis blaugrau, oft vakuolisiert, häufig finden sich feine azurophile Granula, um die z.T. ein Hof erkennbar ist. Im Zytoplasma finden sich Lysosomen, welche Peroxidase sowie saure Hydrolasen enthalten und eine wichtige Rolle bei der Phagozytose spielen.
Auf der Zellmembran finden sich unter anderem Rezeptoren für Komplementfaktoren und Fc-Rezeptoren für IgG; diese sind bei der Anlagerung von zu phagozytierenden Substanzen von Bedeutung. Durch ihre Tätigkeit als Phagozyten lassen sich oft andere Zellen, zum Beispiel Erythrozyten oder Mikroorganismen in ihnen finden. (Siehe auch "Makrophagen im Blut" und "Bakterielle Endokarditis".)
Nach 1-2 Tagen der Zirkulation im peripheren Blut findet eine Ausdifferenzierung zu Gewebemakrophagen statt. Beim Gesunden finden sich bis ca. 8% Monozyten im peripheren Blut.
Monozyten können zytochemisch kenntlich gemacht werden (siehe "α-Naphthylacetatesterase im Blutausstrich").
Die Vorläuferzellen des Monoblasten, der die erste im Knochenmark erkennbare Zelle des Systems der Monozyten-Makrophagen ist, können in vitro durch Zellkultur erfasst werden (CFU-GM und CFU-M).
Bestimmte Blutbildanalysensysteme (Siemens) erfassen und zählen Monozyten über ein Streulichtsignal (proportional zur Größe der Zelle) und ein Absorptionssignal (proportional zur Enzymaktivität der Peroxidase). (Siehe auch "Peroxidasefärbung, Blutausstrich", Hinweis und Abbildung zu Monozyten.) Eine Monozytose wird durch ein vergrößertes Monozytencluster in einem diesen Zellen zugeordneten Feld des Leukogrammes sichtbar.
Monozyten kommen im Blut sämtlicher Säugetiere und Vögel vor. In Elefantenblut sind Zellen mit den zytochemischen Eigenschaften von Monozyten häufig.
Beschreibung/Beurteilung der Bildserie: Die Abbildungen zeigen verschiedene Erscheinungsformen normaler Monozyten im panoptisch gefärbten Blutausstrich (Objektiv 63x; Fotografien S. Siegrist, K. Glöckler, F.-G. Hagmann; Kaiserslautern)
Literaturreferenzen:
-
Bucher U. Labormethoden in der Hämatologie. Verlag Hans Huber, Bern etc. 1988
[DNB]
-
Schmid L. Reaktive Veränderungen und Anomalien (Weiterbildung Labmed 29.11.2007). http://www.ikch.ch/manuskripte/Reaktive%20Veraenderungen-Folien.pdf
[Online]
-
Oertel J, Oertel B. Hämatologische Diagnostik im Blutausstrich. Georg Thieme Verlag, Stuttgart – New York 2005
[DNB]
-
Kuse R (Hrsg.). Hämatologie für Praxis und Klinik. Gustav Fischer Verlag, Stuttgart etc. 1995
[DNB]
-
Ostendorf PC (Hrsg.). Hämatologie (Innere Medizin der Gegenwart, Band 8). Urban & Schwarzenberg, München etc. 1991
[DNB]
-
Theml H, et al. Taschenatlas der Hämatologie. 5. Auflage. Georg Thieme Verlag, Stuttgart – New York 2002
[DNB]
-
Nissen-Druey C, et al. Human hematopoietic colonies in health and disease. Karger, Basel etc. 2005
-
van Furth R. Cell biology of human phagocytes. In: van Furth R: Hemopoietic growth factors and mononuclear phagocytosis. Karger, Basel etc. 1993
-
Kapf CT, Jandl JH. Le sang - Atlas commenté d'hématologie. Médecine et Sciences Internationales, Paris 1982
|

Zum Seitenanfang
Sitemap
|
|
|
Referenz-Scattergramme des Blutbildes. Der Sysmex Kalender 2008 [ Mehr]
|
|