|
|
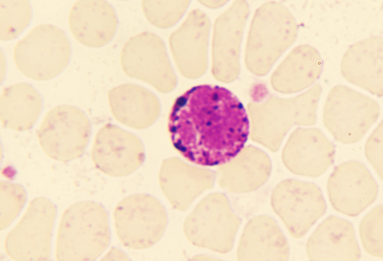
Alder-Reilly-Granulationsanomalie
Autor/en: F.-G. Hagmann
Institution/en: Karlsruhe
Serie zuletzt geändert am: 27.01.2011
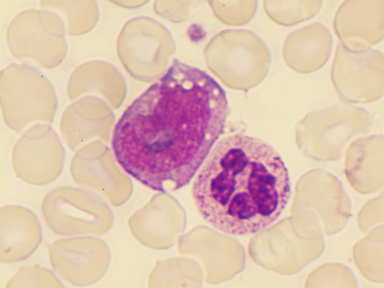
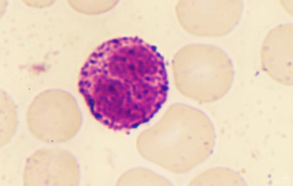
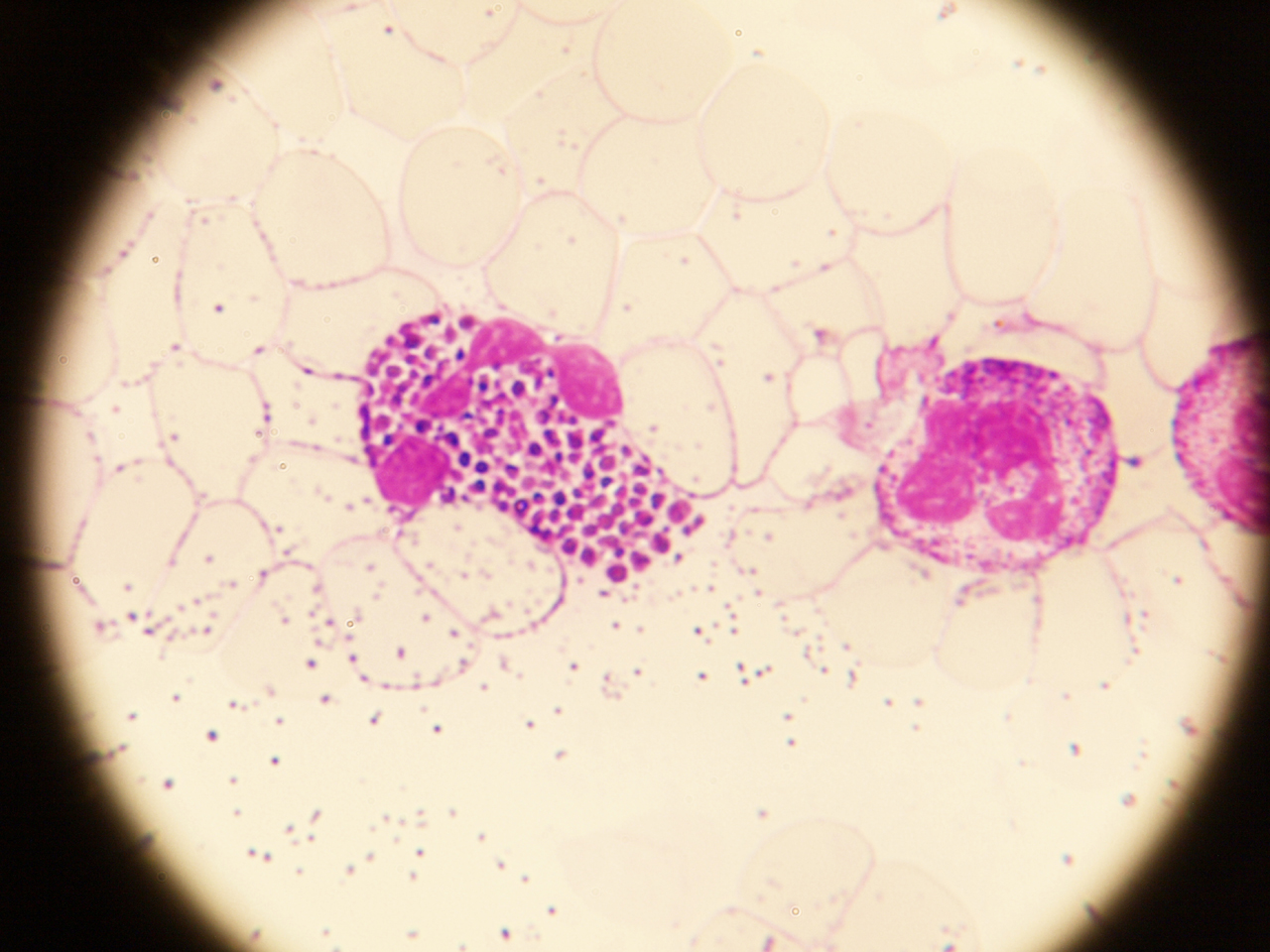
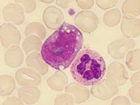
Hier handelt es sich um einen Fall von Pfaundler-Hurler-Syndrom. Diese Erkrankung ist die Mucopolysaccharidosis Typ I-H. Der Erbgang ist autosomal-rezessiv, die Manifestation liegt am Ende des ersten Lebensjahres und später. Es kommt zur Ablagerung von Dermatan- und Heparansulfat in Mesenchym- und Ganglienzellen. Der primäre Enzymdefekt betrifft die α-L-Iduronidase der Lysozymen. Klinisch imponieren Minderwuchs, großer, plumper Schädel, eingezogene Nasenwurzel und wulstige Lippen (Gargoylismus), weiter finden sich u.a. kurzer Hals, kurze Hände und Finger, Hepato-Splenomegalie, Hornhauttrübungen, geistige Retardierung, Schwerhörigkeit, und röntgenologische Knochenveränderungen. Im Blut findet sich die oben genannte Granulationsanomalie.
Die Leukozyten zeigen eine ausgeprägte teils sehr grobe azurophile Granulation. Diese kann bei den Eosinophilen auch schwarz-violett ausfallen. Eosinophile und Basophile sind ohne Spezialfärbungen schwer zu unterscheiden. Auch die Monozyten können Granula zeigen. Lymphozyten zeigen oft eine stärkere Granulation. Lymphozyten mit diesen Inklusionen werden auch als Gasser-Zellen bezeichnet. Die Funktion der Leukozyten ist nicht beeinträchtigt. Die Leukozyten können quantitativ und qualitativ unterschiedlich von der Granulationsanomalie betroffen sein (komplette und inkomplette Formen).
Alder-Reilly-Bodies können bei Patienten mit verschiedenen Arten von Knochen- und Knorpel-Abnormalitäten vorkommen. Außerdem bestehen Beziehungen zu anderen hereditären Erkrankungen.
Beschreibung/Beurteilung der Bildserie: Die Abb. 1 bis 8 zeigen neutrophile Granulozyten in panoptischer Färbung; es folgen Mikrofotografien von Monozyten und Lymphozyten; abschließend Aufnahmen zur Differenzierung von Eosinophilen und Basophilen in panoptischer Färbung.
Literaturreferenzen:
-
Alder A, Schleip K. Atlas der Blutkrankheiten und des normalen und pathologischen Knochenmarkes. 4. Auflage. Urban & Schwarzenberg, Berlin und München, 1949
[DNB]
-
Löffler H, et al. Atlas der klinischen Hämatologie. 6. Auflage. Springer, Berlin etc., 2004
[DNB]
-
Hoffmann-La Roche AG, Urban & Schwarzenberg. Roche Lexikon Medizin. 3. Auflage. Urban & Schwarzenberg, München etc., 1993
[DNB]
-
Begemann H, Rastetter J. (Hrsg.). Klinische Hämatologie. 3. Auflage. Georg Thieme Verlag, Stuttgart etc., 1986
[DNB]
-
Heckner F. Praktikum der mikroskopischen Hämatologie. 5. Auflage. Urban & Schwarzenberg, München etc., 1981
[DNB]
-
Wintrobe MM (Hrsg.). Clinical Hematology. Eight Edition. Lea & Febiger, Philadelphia, 1981
-
Undritz E. Hämatologische Tafeln Sandoz. Sandoz AG, Nürnberg, 1952
[DNB]
|

Zum Seitenanfang
Sitemap
|
|
|
|