| 
 | 
        Cabot-Ringe
    
 
Autor/en: F.-G. Hagmann 
Institution/en: Karlsruhe 
Serie zuletzt geändert am: 14.10.2011
 
 
  
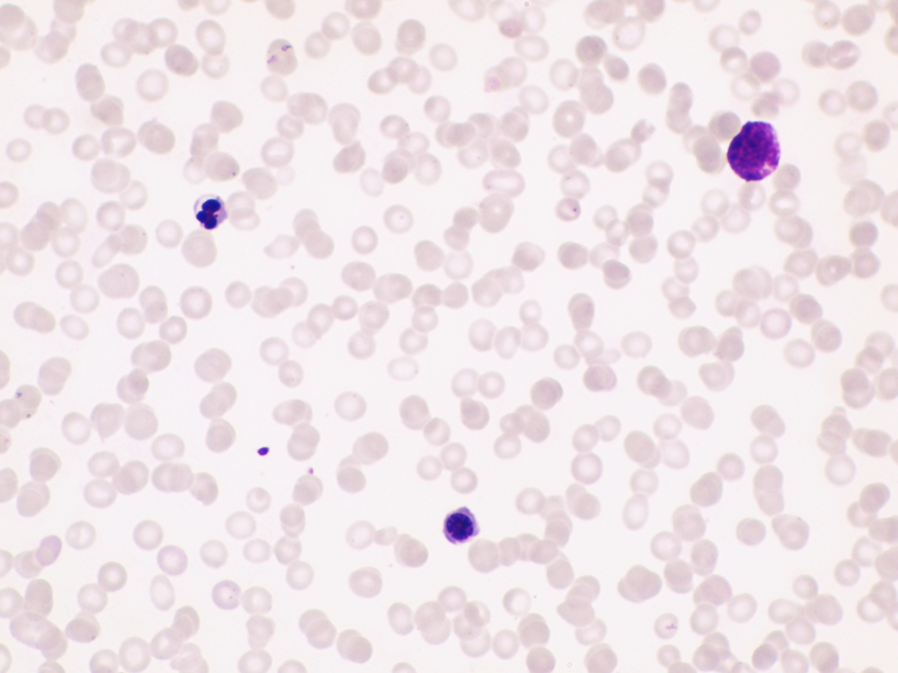
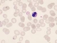
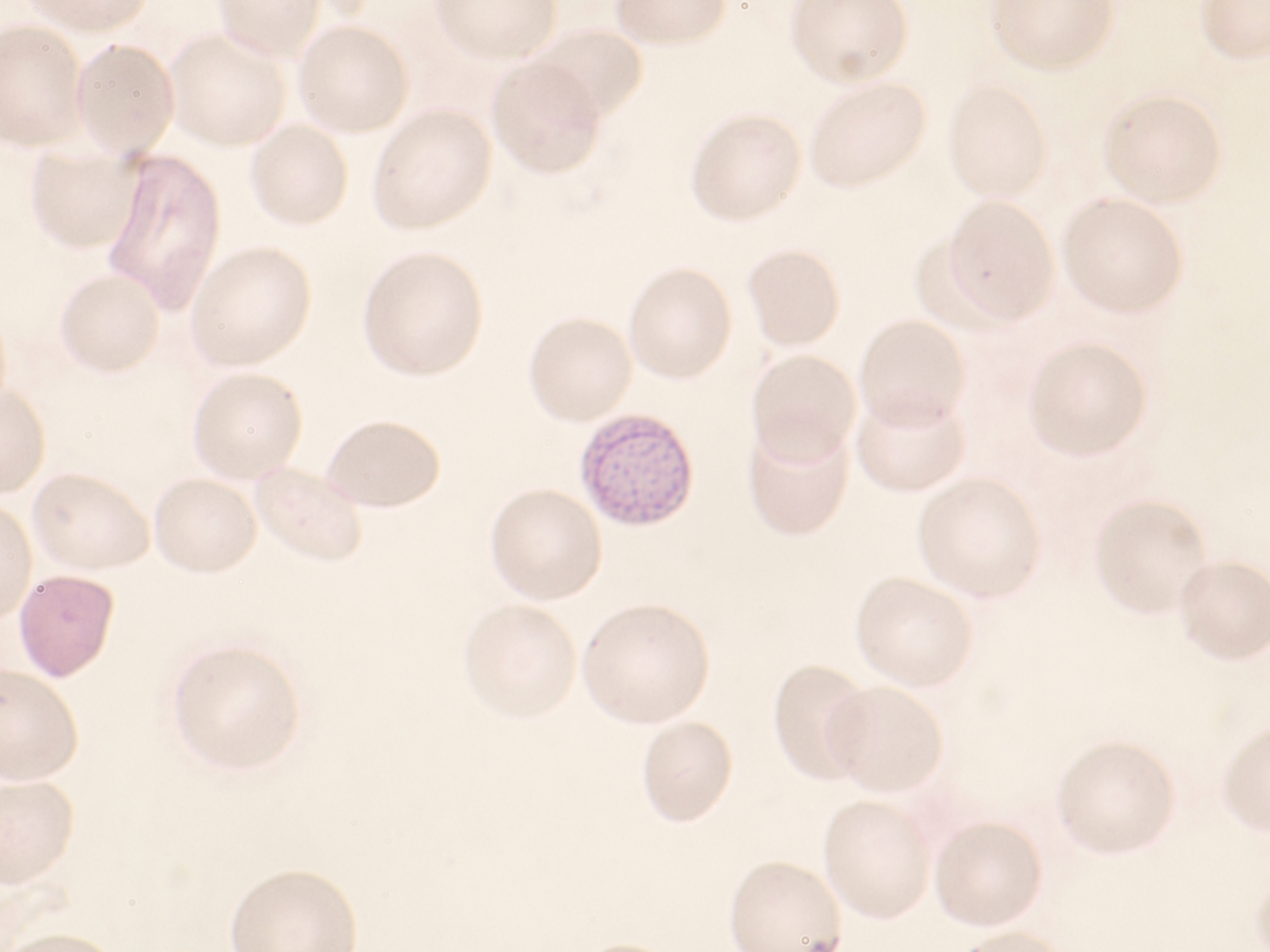
Cabot-Ringe sind Reste von Spindelfasern. Sie sind Hinweis auf eine gestörte erythrozytäre Regeneration. Beschrieben wurden sie zuerst von Cabot und Schleip. Sie kommen selten vor bei schweren Anämien, MDS und sonstigen Formen einer Dyserythropoese. 
 
In diesem Fall konnte bei einer Punctio sicca letztlich nicht abschließend geklärt werden (auswärtige Einsendung), ob eine Infiltration bei Mammakarzinom, eine Myelofibrose oder ein MDS vorlag. Das spielt für die Demonstration aber keine Rolle.
  
 
 
  
 
 
 
 
   
 
 
   
 
 
   
 
 
   
 
 
   
 
 
   
 
 
   
 
 
   
 
 
   
 
 
   
 
 
   
 
 
   
 
 
   
 
 
   
 
 
   
 
 
   
 
 
   
   
        Literaturreferenzen:
   
      - 
     Boll I, Heller S. Praktische Blutzelldiagnostik. Springer-Verlag, Berlin 1991.
                
 [DNB]
                        
   
      
      - 
     Löffler H, Rastetter J. Atlas der klinischen Hämatologie, 5. Auflage, Springer-Verlag, Berlin etc.,1999.
                
 [DNB]
                        
   
      
      - 
     Schleip K, Alder A. Atlas der Blutkrankheiten. 4. Auflage. Urban & Schwarzenberg, Berlin und München,1949
                
 [DNB]
                        
   
      
      - 
     Discombe G. L´origine des corps de Howell-Jolly et des anneaux de Cabot. Sang 1948;29:262.
                            
 
   
   
   
 
  | 
 
 
  
      Zum Seitenanfang
                                                
                               
  Sitemap
 |   
 |   
   
 | 
Blackfan-Diamond-Syndrom / kongenitale hypoplastische Anämie [ Mehr] Kongenitale dyserythro- poetische Anämien [ Mehr]  
 | 
 
 
 |