|
|
Döhle-Einschlusskörper
Döhlesche Schlieren, engl.: "Döhle bodies", franz.: "corps de Döhle"
Autor/en: F.-G. Hagmann
Institution/en: Karlsruhe
Serie zuletzt geändert am: 13.01.2011
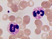
Döhle-Einschlusskörper sind kleine ovale oder längliche basophile Einschlüsse, die deutlicher oder unregelmäßig begrenzt und schlierenhaft im Zytoplasma reifer neutrophiler Granulozyten gefunden werden können. Sie können ein Hinweis sein auf eine verstärkte oder gestörte Granulozytenbildung (Infektion, Myelodysplasie u.a.) und werden als Residuen aus dem Zytoplasma basophiler Granulozytenvorstufen angesehen. Unter physiologischen Bedingungen wurden sie bei Schwangerschaft beobachtet. Außerdem gibt es morphologisch ähnliche Zytoplasmaveränderungen bei hereditären Anomalien und Syndromen (siehe z.B. Abbildung zu May-Hegglin-Anomalie).
Doehle hat 1912 diese Einschlüsse zuerst bei Scharlach gesehen.
Beschreibung/Beurteilung der Bildserie: Bei dem in dieser Bildserie dargestellten Fall handelte es sich klinisch um eine schwere Infektion. Entsprechend findet man im Blutausstrich eine neutrophile Granulozytose mit physiologischer Linksverschiebung. Die Döhle-Körper sieht man am besten in gut ausgebreiteten neutrophilen Granulozyten.
Döhle-Körper waren auch in einem Zytozentrifugenpräparat zu erkennen. Einerseits sind die neutrophilen Granulozyten durch die Bearbeitung mit der Zentrifuge optimal ausgebreitet, zum anderen ist die neutrophile Grundfarbe reduziert, so dass sich auch kleinere basophile Flecken kontraststärker abheben.
Literaturreferenzen:
-
Heckner F. Praktikum der mikroskopischen Hämatologie. 8. Auflage. Urban & Schwarzenberg, München etc., 1994
[DNB]
-
Bain BJ. Blood cells. A practical guide. Gower Medical Publishing, London 1989
-
Bernard J, et al. Hématologie. Flammarion Medecine-Sciences, Paris 1976
-
Heilmeyer L, Begemann H. Blut- und Blutkrankheiten. Handbuch der Inneren Medizin, 4. Aufl., Bd. 2. Springer-Verlag, Berlin etc. 1951
[DNB]
-
D’Onofrio G, Zini G. Morphology of the blood. Butterworth-Heinemann, Oxford etc. 1998
-
Abernathy MR. Döhle bodies associated with uncomplicated pregnancy. Blood 1966;27:380-5. PMID:5930802
[Medline]
|

Zum Seitenanfang
Sitemap
|
|
|
Granulozyten (Abbauformen, Pseudo-Pelger, nach G-CSF). Arte?-Fakt? - Artefakte mikroskopischer Präparate Sysmex Kalender 2007 [ Mehr]
|
|