zum ONKODIN-Projekt   Deutsches MDS-Forum 2010  |  Links  |  Kontakt  |  Impressum  |  English Content English Content  
Inhaltsverzeichnis (navigierbar)Sitemap  
Der Sysmex Scientific Kalender
Sysmex Scientific Kalender 2007
Lymphatische Zellen
Bakterien
Hämolyse
Akanthozyten
Einschlusskörperchen
Agglutinate
Granulozyten
Malaria
Seltene Zellen
Schlieren
Thrombozyten
Zytoplasmaausstülpungen


Arte?-Fakt? - Seltene Zellen - Monatsblatt September 2007

Jeder, der täglich mikroskopiert, wird immer wieder Zellen finden, die nicht sofort zugeordnet werden können. Hier hilft die Binsenweisheit: "Seltenes ist selten, kommt aber dennoch vor". Seltene Erkrankungen dürfen also nicht sofort gedanklich ausgeschlossen werden.





In der Übersicht wird ein Speicheltropfen leicht bemerkt. Bei hoher Vergrößerung können sie Verwirrung stiften.





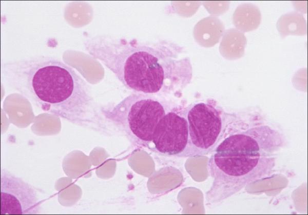
Extrem selten werden Karzinomzellen in das periphere Blut ausgeschwemmt. Hier sind Zellen eines Mammakarzinoms in der Ausstrichfahne erkennbar.





Die Endothelzellen stammen aus der Gefäßwand, die bei der Venenpunktion verletzt wurde. (Dabei wird die Blutgerinnung aktiviert: Links unten erkennt man einen Fibrinfaden.)





Ausschwemmung eines malignen Melanoms in das periphere Blut (Ausstrichfahne).




    Nach oben zum Seitenanfang Zum Seitenanfang                                                                                  Inhaltsverzeichnis (navigierbar) Sitemap  |  Druckversion des Dokuments  |  E-Mail-Versand