zum ONKODIN-Projekt   Deutsches MDS-Forum 2010  |  Links  |  Kontakt  |  Impressum  |  English Content English Content  
Inhaltsverzeichnis (navigierbar)Sitemap  
Färbetechnik
Alkalische Leukozytenphosphatase
ALP (Grundlagen)
ALP (bei MPN)
ALP (entzündl. Granulozytose)
ALP (bei CML)
ALP (bei CNL)


Alkalische Leukozytenphosphatase - Grundlagen





ALP, Übersicht (Objektiv 40x). Der neutrophile Granulozyt rechts ist negativ (Grad 0), der linke schwach positiv (Grad 1).





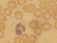
Es ist keine (Grad 0) ALP nachweisbar (Objektiv 100x Öl).





Ebenfalls negativer Granulozyt (gleiches Objektiv).





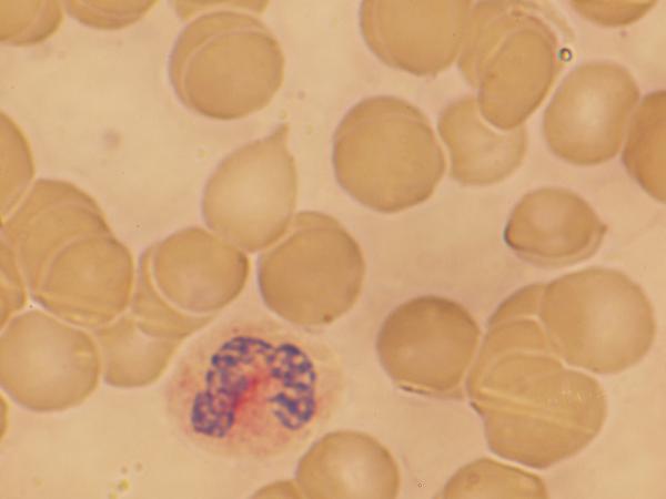
Anfärbung vor allem im Zentrum (Grad 1) (gleiches Objektiv).





Schwache Anfärbung im Zentrum, aber auch z.T. um den Kern (Grad 1) (gleiches Objektiv).





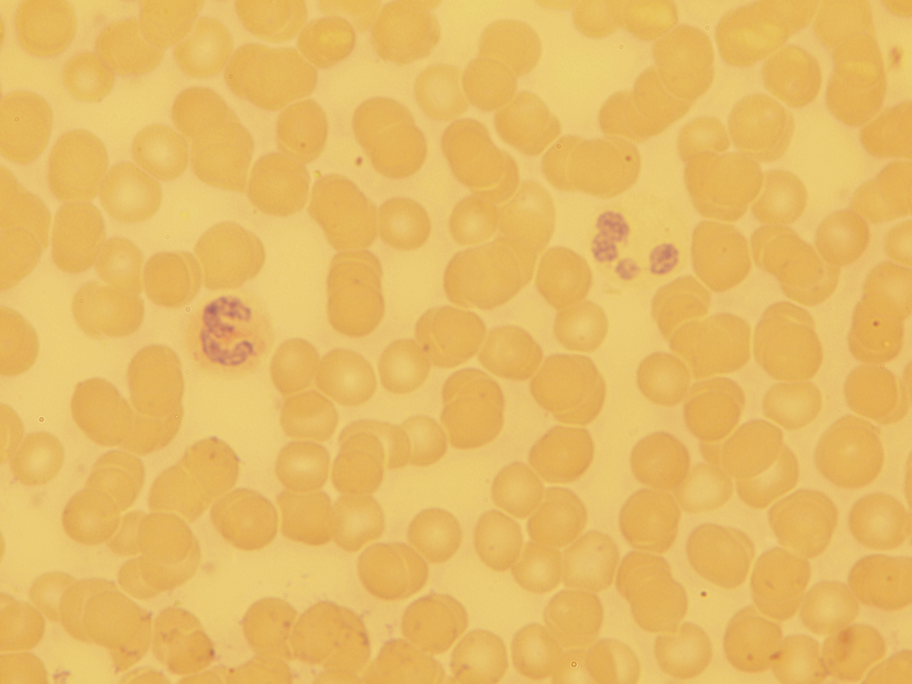
Beide Neutrophile zeigen bereits bei mittlerer Vergrößerung eine kräftige Anfärbung im Zentrum, die herausreicht und schon schwach zum Rand hin zu finden ist (etwa Grad 2-3). Zur exakten Beurteilung ist stärkere Vergrößerung notwendig (hier Objektiv 40x).





Die obere Zelle zeigt ALP noch sehr umschrieben, erreicht aber an einer Stelle schon die Peripherie (noch Grad 2). Unten greift die Aktivität nach allen Seiten auf die Peripherie über und erreicht an einer Seite den Rand (Grad 3). Die Beurteilung der Farbintensität aus Farbdichte und –fläche lässt subjektiven Spielraum zu, ist aber individuell gut reproduzierbar (Objektiv 40x).





In der oberen Hälfte der Zelle reicht die Anfärbung deutlicher nach peripher (Grad2) (Objektiv 100x Öl).





Die linke Zelle ist negativ, die rechte im Zentrum noch relativ schwach, aber insgesamt leicht diffus angefärbt. Als Grad kann man 1 oder 2 vergeben. Die strikte Negativität der linken Zelle und die Beschaffenheit des Zytoplasma lassen daran denken, dass es sich um einen Eosinophilen handeln könnte. Überwiegend ist aber die ALP-Färbung zur Beurteilung des Zytoplasmahintergrundes nicht gut (Objektiv 100x Öl).





Die kräftige über die ganze Zelle verteilte Anfärbung ergibt Grad 4 (gleiches Objektiv).





ALP Grad 3-4 (nicht gleichmäßig über die Zelle verteilt) (gleiches Objektiv).





Granulozyt mit Anfärbung Grad 3. Zusätzlich auffällige Granula (nicht einzuordnen) in der Peripherie (gleiches Objektiv).





Negativer Lymphozyt (gleiches Objektiv).





Negativer Monozyt (gleiches Objektiv).




    Nach oben zum Seitenanfang Zum Seitenanfang                                                                                  Inhaltsverzeichnis (navigierbar) Sitemap  |  Druckversion des Dokuments  |  E-Mail-Versand  
 
Interner Link
Arte?-Fakt? - Artefakte mikroskopischer Präparate
Sysmex Kalender 2007 [Mehr]