zum ONKODIN-Projekt   Deutsches MDS-Forum 2010  |  Links  |  Kontakt  |  Impressum  |  English Content English Content  
Inhaltsverzeichnis (navigierbar)Sitemap  
Färbetechnik
Alkalische Leukozytenphosphatase
ALP (Grundlagen)
ALP (bei MPN)
ALP (entzündl. Granulozytose)
ALP (bei CML)
ALP (bei CNL)


Alkalische Leukozytenphosphatase bei chronischer Neutrophilen-Leukämie (CNL)


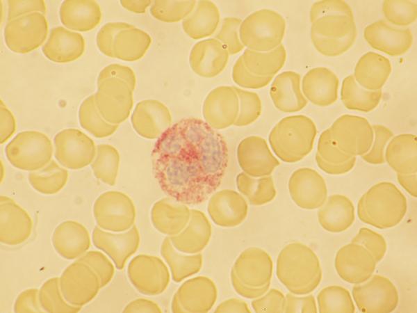
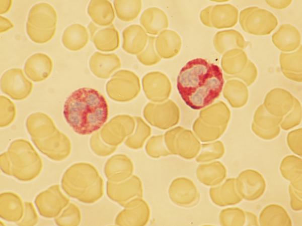
Beschreibung/Beurteilung der Bildserie: Bei der chronischen Neutrophilen-Leukämie handelt es sich um eine sehr seltene myeloproliferative Erkrankung. Im Gegensatz zur CML ist der Index der ALP nicht erniedrigt, sondern stark erhöht (in diesem Fall 268). Hier zeigt die überwiegende Anzahl der reifen Neutrophilen eine granulär und diffus relativ kräftige Anfärbung im Zytoplasma (Abb. 1). Obschon diese mit der Zeit durch Ausbleichung wenig nachgelassen hat, zeigen fast alle neutrophilen Granulozyten einen Stärkegrad 3 und 4 (Abb. 2a-h), selten 4-5 (Abb. 3). Schwächere Anfärbungen sind selten (Abb. 4a und b). Nach negativen Granulozyten muss man lange suchen, bei kleinen Exemplaren könnte es sich um Basophile handeln (Abb. 5). Einmal findet sich ein negativer Granulozyt, der sicher mechanisch beschädigt ist (Abb. 6). Selten finden sich schwächere Anfärbungen, die zumeist aber einen Großteil des Zytoplasma belegen. Die Abb. 9a-f zeigen weitere Beispiele für unterschiedliche Anfärbungen bei CNL.





Abb. 1: Übersicht ALP-Färbung bei chronischer Neutrophilen-Leukämie (Objektiv 40x).





Abb. 2a (Objektiv 100x Öl, wie auch folgende Abb. 2b-h)





Abb. 2b





Abb. 2c





Abb. 2d





Abb. 2e





Abb. 2f





Abb. 2g





Abb. 2h





Abb. 3: Der rechte Neutrophile zeigt die intensivste bei diesem Fall gefundene ALP-Anfärbung, hier kann man Grad 5 vergeben. Bei der Intensität spielt auch die Ausbreitung der Zelle eine Rolle, diese ist hier bei beiden vergleichbar.





Abb. 4a: Schwächere ALP-Anfärbung eines neutrophilen Granulozyten bei chronischer Neutrophilen-Leukämie.





Abb. 4b: Diese Zelle zeigt eine atypische schwächere Anfärbung ganz peripher, auch nach der Morphologie ist sie nicht eindeutig zuzuordnen. Ein gelappter Kern scheint vorzuliegen.




Literaturreferenzen:
  • Bucher U.
    Labormethoden in der Hämatologie.
    Verlag Hans Huber, Bern, 1988.
    [DNB]
  • Diagnostica Merck (Hrsg.).
    Hämatologische Labormethoden.
    E. Merck, GIT-Verlag, Darmstadt, 1982
  • Zittoun R.
    Chronic neutrophilic leukemia - A study of four cases.
    Ann Hematol 1994;68:55-60. PM:8148416
    [Medline]
  • Bernard J.
    Hématologie.
    Flammarion Medecine-Sciences, Paris, 1976.

    Nach oben zum Seitenanfang Zum Seitenanfang                                                                                  Inhaltsverzeichnis (navigierbar) Sitemap  |  Druckversion des Dokuments  |  E-Mail-Versand  
 
Interner Link
Arte?-Fakt? - Artefakte mikroskopischer Präparate
Sysmex Kalender 2007 [Mehr]