zum ONKODIN-Projekt   Deutsches MDS-Forum 2010  |  Links  |  Kontakt  |  Impressum  |  English Content English Content  
Inhaltsverzeichnis (navigierbar)Sitemap  
Der Sysmex Scientific Kalender
Sysmex Scientific Kalender 2007
Lymphatische Zellen
Bakterien
Hämolyse
Akanthozyten
Einschlusskörperchen
Agglutinate
Granulozyten
Malaria
Seltene Zellen
Schlieren
Thrombozyten
Zytoplasmaausstülpungen


Arte?-Fakt? - Einschlusskörperchen - Monatsblatt Mai 2007

Bei der Differenzierung des Ausstrichs und speziell bei der Musterung der Erythrozyten ist die Erkennung von Erythrozyteneinschlüssen ein wichtiger Punkt. Artefakte müssen sicher davon unterschieden werden.





Scheinbares Howell-Jolly-Körperchen durch verunreinigtes Mikroskopieröl, als Artefakt erkennbar durch sein Wegdriften (siehe nächstes Bild).





Das Artefakt im Mikroskopieröl hat sich weiterbewegt.





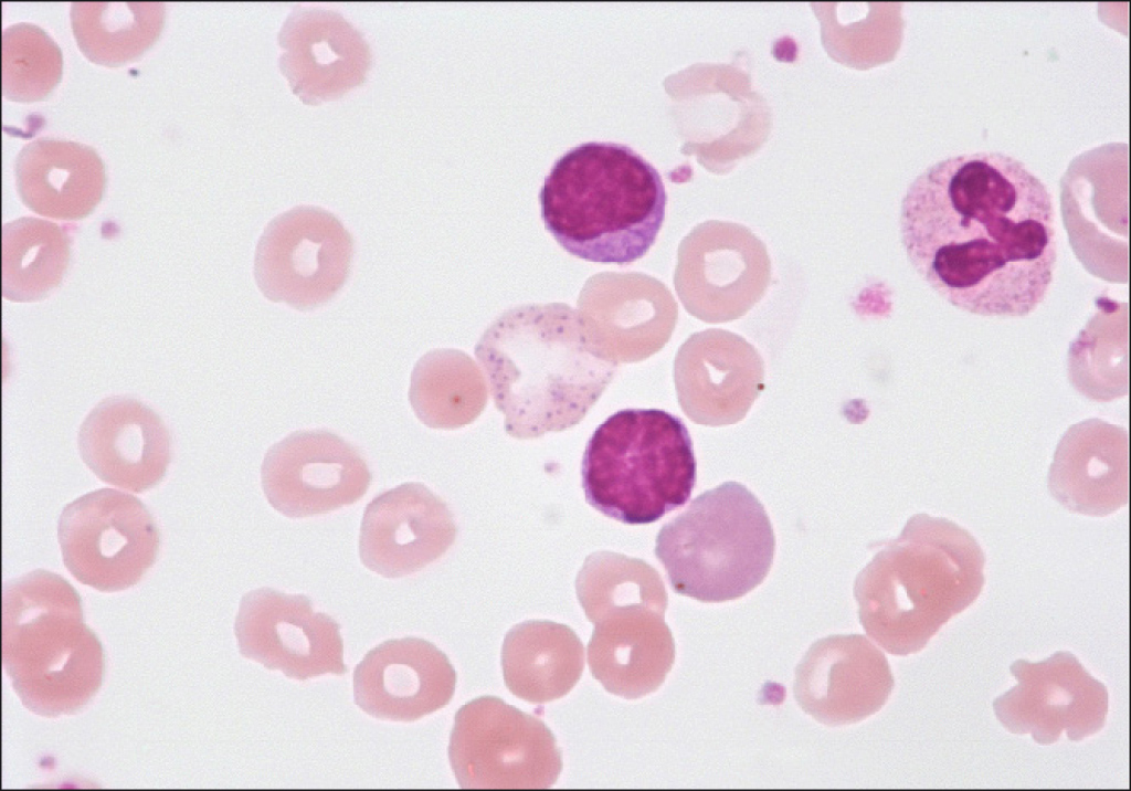
Großer Erythrozyt mit basophiler Tüpfelung (zwischen den beiden Lymphozyten) bei einer "Autoimmunhämolytischen Anämie" (AIHA). Rechts neben dem unteren Lymphozyten liegt ein polychromatischer Erythrozyt.





Retikulozytenfärbung. Charakteristische HbH-Zelle bei α-Thalassämie. Heutzutage sucht man nicht mehr nach HbH-Zellen. Statt dessen werden α-Thalassämien molekulargenetisch diagnostiziert.




    Nach oben zum Seitenanfang Zum Seitenanfang                                                                                  Inhaltsverzeichnis (navigierbar) Sitemap  |  Druckversion des Dokuments  |  E-Mail-Versand