zum ONKODIN-Projekt   Deutsches MDS-Forum 2010  |  Links  |  Kontakt  |  Impressum  |  English Content English Content  
Inhaltsverzeichnis (navigierbar)Sitemap  
Thrombozyten
Artefakte (Aggregate und Pseudothrombopenie)
Pseudothrombozytopenie
Plättchen-Kälteagglutinine
Thrombozytensatellitismus


Thrombozytensatellitismus

Thrombozytensatellitose

Eine besondere Form der Pseudothrombozytopenie ist der Thrombozytensatellitismus. In seltenen Fällen können die Thrombozyten in vitro an anderen Zellen und nicht nur untereinander agglutinieren. Dadurch bilden sich auch Agglutinate von mehreren Leukozyten durch Thrombozyten. Diese Agglutinate zerfallen zum Teil beim Ausstreichen.
Das Phänomen konzentriert sich im vorliegenden Ausstrich auf ein größeres Areal im Zentrum und betrifft die neutrophilen Granulozyten. Dadurch findet man im übrigen Ausstrich neutrophile Granulozyten vermindert. Basophile und eosinophile Granulozyten sowie Monozyten und Lymphozyten zeigen gelegentlich wenige angelagerte Thrombozyten, sie sind aber nicht auf das Areal konzentriert, in dem sich die Neutrophilen überwiegend finden, was gegen eine wesentliche In-vitro-Agglutination dieser Leukozytenarten spricht.





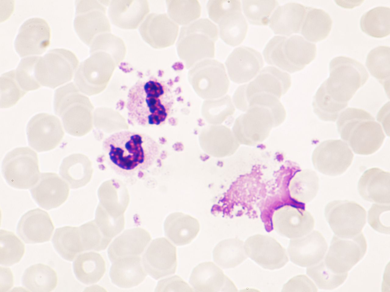
Im Zentrum des Blutausstriches findet sich ein größeres Areal, in dem vermehrt Neutrophile liegen. Diese sind von Thrombozyten umgeben. Ein Eosinophiler sowie ein Lymphozyt (am oberen rechten Bildrand) sind nicht von Lymphozyten umgeben (Objektiv 20x).





Bei mittlerer Vergrößerung ist der Thrombozytensaum um den Neutrophilen deutlich erkennbar (Objektiv 40x).





Neutrophiler mit Thrombozytensaum bei starker Vergrößerung (Objektiv 100x Öl).





Lymphozyt im gleichen Ausstrich ohne Thrombozytenaum (Objektiv 100x Öl).





Basophiler mit zwei (einer nur schemenhaft erkennbar) angelagerten Thrombozyten (Objektiv 100x Öl).





Basophiler ohne angelagerte Thrombozyten (Objektiv 100x Öl).





Eosinophiler ohne angelagerte Thrombozyten (Objektiv 100x Öl).





Monozyt ohne angelagerte Thrombozyten (Objektiv 100x Öl).





Monozyt mit drei oder vier (zwei nur schemenhaft erkennbar) angelagerten Thrombozyten (Objektiv 100x Öl).





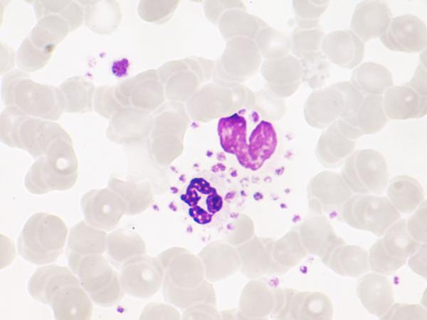
Zwei separiert liegende Neutrophile mit Thrombozytenaum (Objektiv 100x Öl).





Drei Neutrophile, die über ihre Thrombozytensäume miteinander verklebt sind (Objektiv 100x Öl).





Einzeln liegender Neutrophiler, partiell von Thrombozyten gesäumt (Objektiv 100x Öl).





Von zwei durch Thrombozytensaum miteinander verbundenen Neutrophilen hat sich der Saum beim Ausstreichen teilweise abgelöst. Ein dritter Neutrophiler hat sich ganz abgelöst und ist aufgeplatzt. Die Mehrfachagglutination von Neutrophilen über umgebende Thrombozyten erklärt, warum sich überwiegend wenig Neutrophile über den gesamten Ausstrichbereich verteilt finden, aber in einem zentralen Bereich des Ausstriches viele Neutrophile, von denen zahlreiche zerstört sind. Im Blutprobenröhrchen hat sich bereits ein Mehr- und Vielfachagglutinat von durch Thrombozyten zusammengehaltenen Neutrophilen gebildet, das der übrigen Probe Neutrophile entzogen hat. In diesem Mehrfachagglutinat sind beim Ausstreichen zahlreiche Neutrophile zerstört worden (Objektiv 100x Öl).





Drei auseinandergerissene Neutrophile mit mehr oder weniger erhaltenem Thrombozytensaum (Objektiv 100x Öl).





Drei Lymphozyten ohne Thrombozytenanlagerung (Objektiv 100x Öl).





Ein intakter Neutrophiler mit Thrombozytensaum, ein weiterer angelagerter mit partiellem Saum, dieser Neutrophile ist bereits aufgeplatzt und der Kern ist gequollen (Objektiv 100x Öl).




Literaturreferenzen:
  • Löffler H, Rastetter J. Atlas der klinischen Hämatologie. 5. Auflage. Springer-Verlag,Berlin 1999.
    [DNB]
  • Kuse K. Hämatologie für Praxis und Klinik. Gustav Fischer Verlag, Stuttgart 1995.
    [DNB]
  • Payne BA, Pierre RV. Pseudothrombocytopenia: a laboratory artifact with potentially serious consequences. Mayo Clin Proc 1984;59:123-125. PMID:6422167
    [Medline]
  • Late Neutrophil Surrounded - Platelets, Platelet Satellitism [zitiert 13.10.2011]. In: BloodLine Image Atlas [Online]. Carden Jennings Publishing Co., Ltd., 1995-2011. URL:http://image.bloodline.net/stories/storyReader$803.html
    [Online]
  • EDTA - induzierte Pseudothrombozytopenie (PTP). LaborInfo 66 [zitiert 13.10.2011]. In: Labor 28 AG - Medizinisches Versorgungszentrum (MVZ) [Online]. URL:http://www.labor28.de/laborinfo/labinfo66.html
    [Online]
  • Dauendorffer JN. Satellitisme des plaquettes aux polynucléaires neutrophiles. Ann Biol Clin 2000;58:91-93. PMID:10673619
    [Medline]
  • Morselli M et al. Anticoagulant pseudothrombocytopenia with platelet satellitism. Haematologica 1999;84:655. PMID:10406911
    [Medline]

    Nach oben zum Seitenanfang Zum Seitenanfang                                                                                  Inhaltsverzeichnis (navigierbar) Sitemap  |  Druckversion des Dokuments  |  E-Mail-Versand  
 
Interner Link
Thrombozyten (Riesenthrom- bozyt., Anisozytose, Artefakt).
Arte?-Fakt? - Artefakte mikroskopischer Präparate
Sysmex Kalender 2007 [Mehr]
Interner Link
Siehe auch: "Sebastian-Platelet-Syndrom" [Mehr]