zum ONKODIN-Projekt   Deutsches MDS-Forum 2010  |  Links  |  Kontakt  |  Impressum  |  English Content English Content  
Inhaltsverzeichnis (navigierbar)Sitemap  
Thrombozyten
Artefakte (Aggregate und Pseudothrombopenie)
Pseudothrombozytopenie
Plättchen-Kälteagglutinine
Thrombozytensatellitismus


Pseudothrombozytopenie

Bei der Pseudothrombopenie werden falsch niedrige Thrombozytenwerte im Blut durch die Zählautomaten gemessen. Ursache ist am häufigsten eine EDTA-induzierte Form. Es sind Autoagglutinine vom IgG-Typ vorhanden, die bei Vorhandensein des Antikoagulans EDTA zur Agglutination der Thrombozyten in vitro führen.

Bei jeder Thrombozytopenie als Zufallsbefund sollte eine Pseudothrombopenie ausgeschlossen werden. Hinweis kann eine von Messung zu Messung deutlich schwankende erniedrigte Thrombozytenzahl sein. Auch das Fehlen einer Blutungsneigung bei sehr niedriger Thrombozytenzahl muss stutzig machen.
Zum Beweis soll die Plättchenbestimmung im EDTA-Blut sofort nach Abnahme und nach 2 und 4 Stunden aus derselben Probe erfolgen, vergleichend auch aus Citrat-Blut und Heparin-Blut. Man findet dann zumeist eine progrediente Abnahme der Plättchen über die Zeit. Es soll auch selten Pseudothrombopenie in Citrat-Blut (bis zu 20% der unter EDTA auftretenden, persönliche Mitteilung von Dr. Binder) geben. Außerdem sollte man das Phänomen visuell-mikroskopisch sichern durch die Betrachtung von Blutausstrichen, die mit EDTA (und zum Vergleich mit Citrat) antikoaguliert sind. Man findet dann mehr oder weniger große Agglutinate von Thrombozyten (Abb. 1-8).

Die EDTA-induzierte Form hat eine Häufigkeit von 0,1-2% aller Blutproben. Das sicherste Antikoagulans zum Ausschluss einer Pseudothrombopenie ist ACD. Die sicherste Methode der Plättchenzählung zum Ausschluss ist die Entnahme aus der Fingerbeere.

Im zweiten dargestellten Fall (Abb. 9-16) betrug die maschinell gemessene Thrombozytenzahl 6.000/µl! Diese Zahl erscheint bei mikroskopischer Betrachtung zunächst plausibel, da man im typischen Bereich des Ausstriches keine (fast keine) Thrombozyten findet. Auffällig ist jedoch, dass man nicht wenigstens einzelne in etwa gleichmäßiger Verteilung findet, wie man das bei rund 10.000/µl erwarten kann. Die Lösung ergibt sich bei Betrachtung der Fahne (ganz am Ende), wo sich große Haufen von agglutinierten Thrombozyten finden (einige Haufen auch am Ausstrichbeginn). Es handelte sich um eine extrem ausgeprägte EDTA-induzierte Agglutination.





Abb. 1: Blutausstrich bei EDTA-induzierter Pseudothrombozytopenie (Objektiv 40x). Man findet fast keine separat liegenden Thrombozyten, sondern Agglutinate von (hier im Bild) zwei bis vierzehn Zellen.





Abb. 2: Hier ein Blickfeld (Objektiv 40x) ohne einen einzigen Thrombozyten.





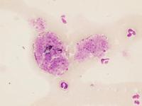
Abb. 3: Neben einem neutrophilen Granulozyten und Erythrozyten findet sich ein Thrombozytenagglutinat von acht bis neun Plättchen. Weitere Thrombozyten sind nicht zu sehen (Objektiv 40x).





Abb. 4: Drei einzeln liegende Thrombozyten, ansonsten Agglutinate von zwei bis etwa neunzehn Plättchen (Objektiv 40x).





Abb. 5: Rechts von dem Neutrophilen ein einzeln liegender Thrombozyt, links ein Agglutinat von fünf Plättchen (Objektiv 100x Öl).





Abb. 6: Ein einzeln liegender Thrombozyt auf einem Erythrozyten sowie ein Agglutinat von fünzehn Plättchen (Objektiv 100x Öl).





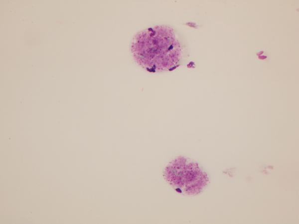
Abb. 7: Ein einzelner Thrombozyt, zwei Agglutinate. In dem linken Agglutinat sind drei degranulierte Plättchen zu sehen (Objektiv 100x Öl).





Abb. 8: Unterschiedlich ausgeprägte Agglutinate. Plättchengroße "Schmutz"-Artefakte können manchmal schwer von degranulierten Thrombozyten zu differenzieren sein (Objektiv 100x Öl).





Abb. 9: Blutausstrich, großer Bildausschnitt (Objektiv 40x). Es findet sich kein einziger Thrombozyt. Gemessene Thrombozytenzahl 6.000/µl.





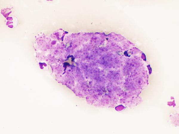
Abb. 10: In der Fahne des Ausstriches finden sich große Konglomerate von Thrombozyten (Objektiv 20x).





Abb. 11: In, um und an den Plättchenkonglomeraten finden sich die Kernreste der in der Fahne konzentrierten Leukozyten (Objektiv 20x).





Abb. 12: In der Agglutinaten sind die unterschiedlich großen Plättchen noch gut erkennbar, wenn sie granuliert sind (Objektiv 40x).





Abb. 13: Agglutinat mit ein- und angelagerten Leukozyten und deren Kernresten (Objektiv 40x).





Abb. 14: Kleineres Agglutinat bei stärkerer Vergrößerung (Objektiv 100x Öl).





Abb. 15: Agglutinat mit angelagertem, beschädigten neutrophilen Granulozyten (Objektiv 100x Öl).





Abb. 16: Beim Vergleich der Fahne eines Blutausstriches einer Mononukleose (rechts) mit etwa 20.000 Leukozyten/µl und dem Päparat (links) der ausgeprägten Pseudothrombozytopenie (6.000/µl) mit Sammlung fast aller Plättchen in der Fahne zeigt sich keine unterschiedliche Intensität der Anfärbung am Ausstrichende. Man muss gezielt nach den Thrombozyten im Ausstrich suchen!




Literaturreferenzen:
  • Reuter HD, et al. Das Phänomen der EDTA-induzierten Pseudo-Thrombopenie. Dt Ärztebl 1985;82:2992-2996(B).
  • Späth-Schwalbe E, Heimpel H. Pseudothrombozytopenie - Pseudothrombozytose. Lab med 1993;17:152-157.

    Nach oben zum Seitenanfang Zum Seitenanfang                                                                                  Inhaltsverzeichnis (navigierbar) Sitemap  |  Druckversion des Dokuments  |  E-Mail-Versand  
 
Interner Link
Thrombozyten (Riesenthrom- bozyt., Anisozytose, Artefakt).
Arte?-Fakt? - Artefakte mikroskopischer Präparate
Sysmex Kalender 2007 [Mehr]
Interner Link
Siehe auch: "Sebastian-Platelet-Syndrom" [Mehr]