|
|
Plättchen-Kälteagglutinine
Autor/en: F.-G. Hagmann
Institution/en: Karlsruhe
Serie zuletzt geändert am: 13.10.2011
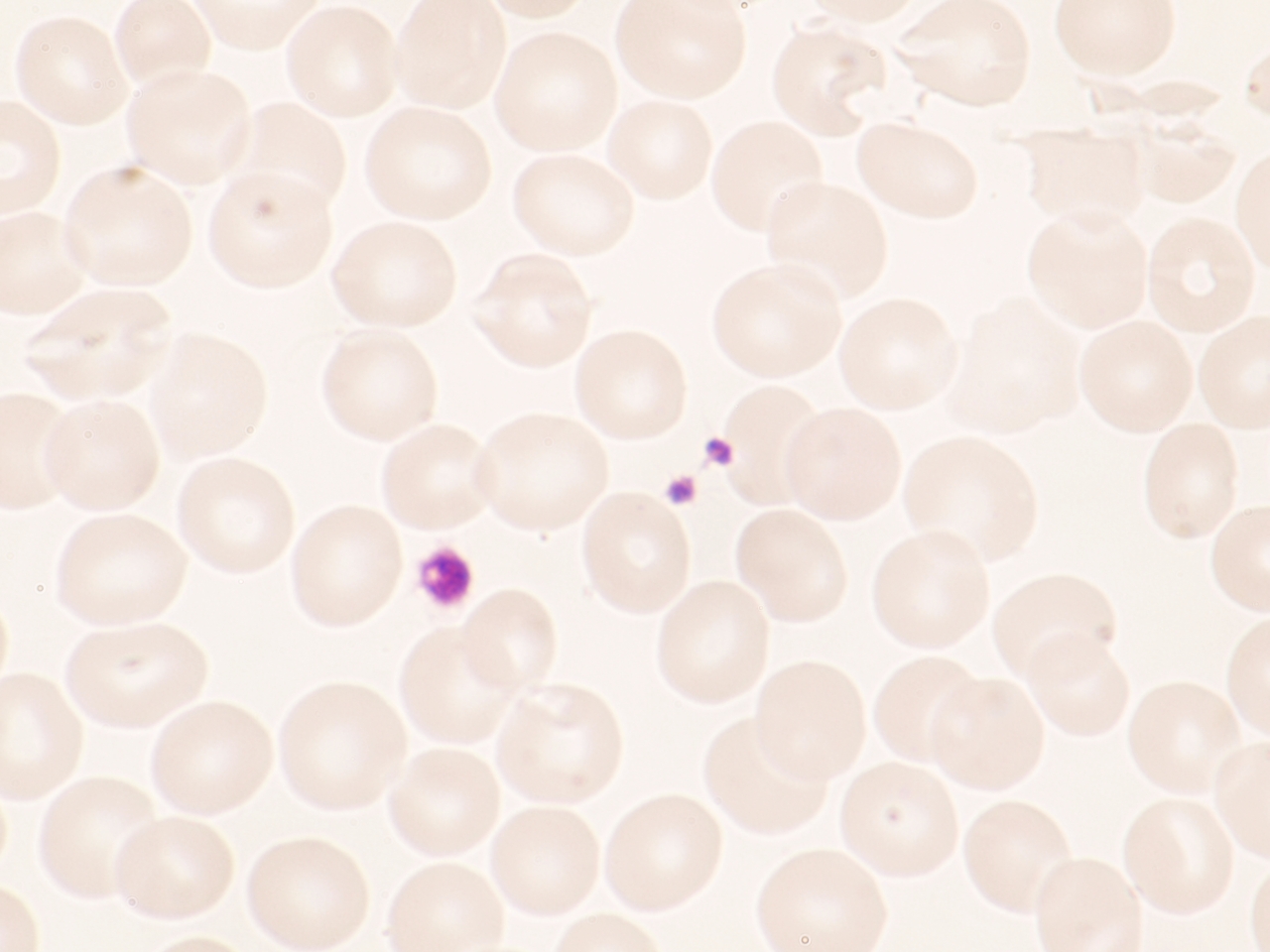
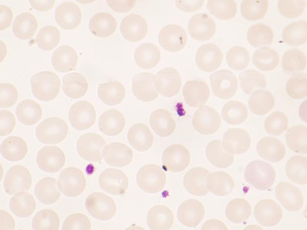
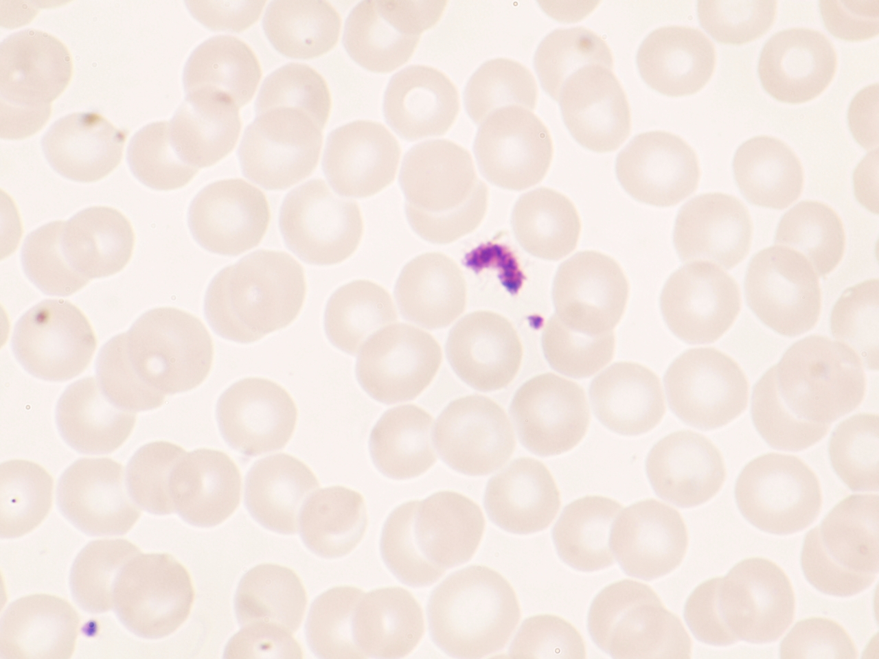
Eine sehr seltene Sonderform der Pseudothrombozytopenie wird nicht durch gerinnungshemmende Substanzen in vitro hervorgerufen, sondern durch beim Patienten vorhandene Kälteagglutinine. Bei diesem Fall war mittels maschineller Messung eine unerklärliche Trombozytopenie sowohl in EDTA- als auch in Citrat- und Heparin-Blut nachweisbar. Die mikroskopische Untersuchung zeigte dazu entsprechende Thrombozytenagglutinate. Auf der Suche nach dem zugrunde liegenden Mechanismus wurde eine sofortige Bestimmung der Thrombozyten in noch körperwarmem Material durchgeführt, die eine nahezu normale Thrombozytenzahl ergab.
Der Aspekt der Kälteagglutinin-induzierten Pseudothrombozytopenie unterscheidet sich morphologisch etwas von der EDTA-induzierten Form.
Das Vorkommen und die Pathophysiologie dieser Veränderung werden in der Literatur diskutiert, wie auch die methodisch-diagnostischen Aspekte (Blutabnahme, Antikoagulans, Spezialmonovette, Antikörper-Bestimmung, Flow-Zytometrie). Weitere Literatur zur Mikroanatomie und Physiologie der Thrombozyten siehe unten.
Literaturreferenzen:
-
Watkins SP, Shulman NR. Platelet cold agglutinins. Blood 1970;36:153-158. PMID:5464054
[Medline]
-
Hamblin TJ. Letter: Platelet cold agglutinins. Lancet 1975;2(7933):502. PMID:51313
[Medline]
-
Cunningham VL, Brandt JT. Spurious thrombocytopenia due to EDTA-independent cold-reactive agglutinins. Am J Clin Pathol 1992 ;97:359-362. PMID:1543159
[Medline]
-
Schimmer A, et al. Platelet cold agglutinins: a flow cytometric analysis.Transfus Sci 1998;19:217-224. PMID:10351132
[Medline]
-
Bizzaro N. Platelet cold agglutinins and cardiac surgery hypothermia. Am J Hematol 1999;60:80. PMID:9883813
[Medline]
-
Hayashi S, et al. [A case of pseudothrombocytopenia due to platelet cold agglutinins.] Rinsho Byori 2005;53:703-707. PMID:16190355
[Medline]
-
Kurata Y, et al. [Four cases of pseudothrombocytopenia due to platelet cold agglutinins.] Rinsho Ketsueki 2006;47:781-786. PMID:16986719
[Medline]
-
Jurk K, Kehrel BE. Die zentrale Rolle der Thrombozyten im neuen Verständnis der Hämostase. Hämostaseologie 2005;25:39-49. PMID:15711719
[Medline]
-
Kehrel BE. Blutplättchen: Biochemie und Physiologie. Hämostaseologie 2003;23:149-158.
-
Bernard J, et al. Hématologie. Flammarion Médecine-Sciences, Paris 1976.
-
Moriau M, et al. Plaqettes sanguines en hemostase, thrombose et atherosclerose - morphologie, physiologie, physiopathologie et pharmacologie. Hologramme, Neuilly-sur-Seine 1988.
-
Hoffman R, et al. Hematology - basic principles and practice. 3rd edition. Curchill Livingstone, New York 2000.
|

Zum Seitenanfang
Sitemap
|
|
|
Thrombozyten (Riesenthrom- bozyt., Anisozytose, Artefakt). Arte?-Fakt? - Artefakte mikroskopischer Präparate Sysmex Kalender 2007 [ Mehr] Siehe auch: "Sebastian-Platelet-Syndrom" [ Mehr]
|
|